Assignment 3

Due 4/4!

High-Level!

Important facts!

Your job:

Make the paper understandable.

Ask Questions!

Audience's job:

Lead the discussion.

Be ready to summarize any of the discussed papers.

Bella Baidak

Akshata Tiwari

published CS410 project

went to Cornell

Jay Burkhardt

published CS410/C460 project

works at Draper

Tung Duong

worked hard in CS460/CS410

works at University of Miami

submitted CVPR paper

got into Princeton+MIT

and Top 300 in the US

Sai Srivatsa Ravindranath

worked hard during internship

got into Harvard

And many more landed jobs and received opportunities through my recommendations...

CT

X-Ray

Computed tomography

CT

CAT

Image Volumes

Axial

Sagittal

Coronal

Voxel size for CT: 0.625-1.25 mm^3

similar to MRI

0

255

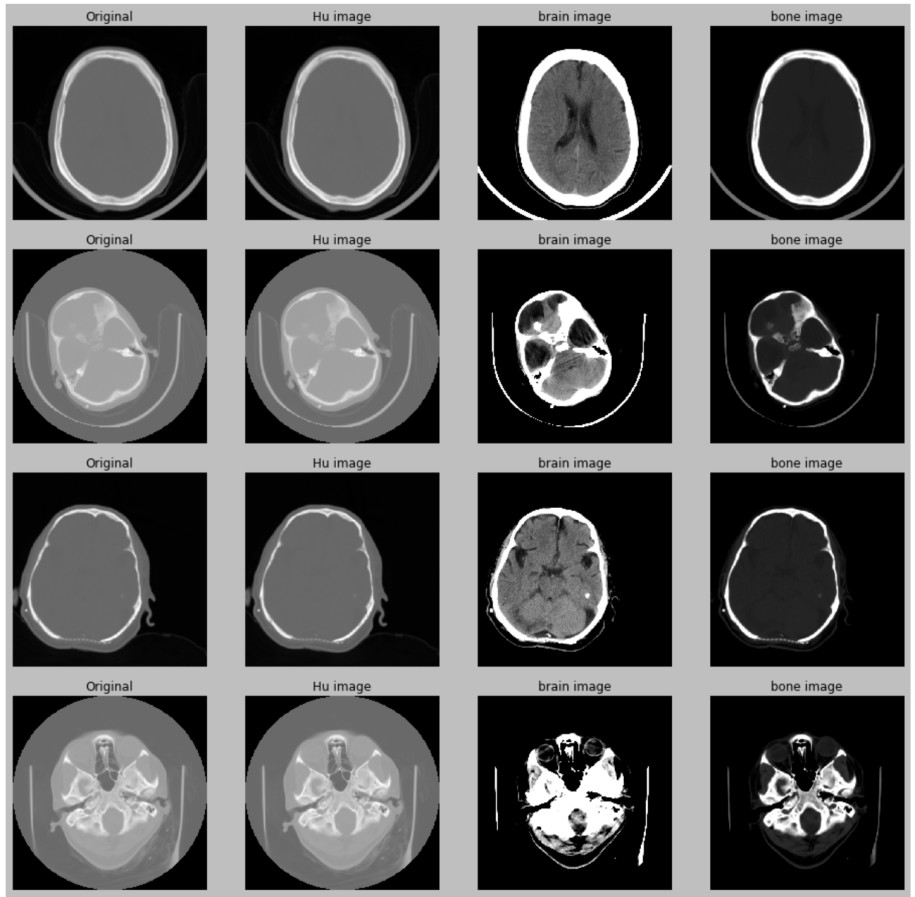
Hounsfield Units

Different Tissues, Different Intensities

measure of the reduction intensity of a ray of light by the tissue through it passes

Hounsfield Units

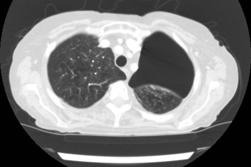
Window/Level

optimized for soft tissue

Window/Level

optimized for lung

Window/Level

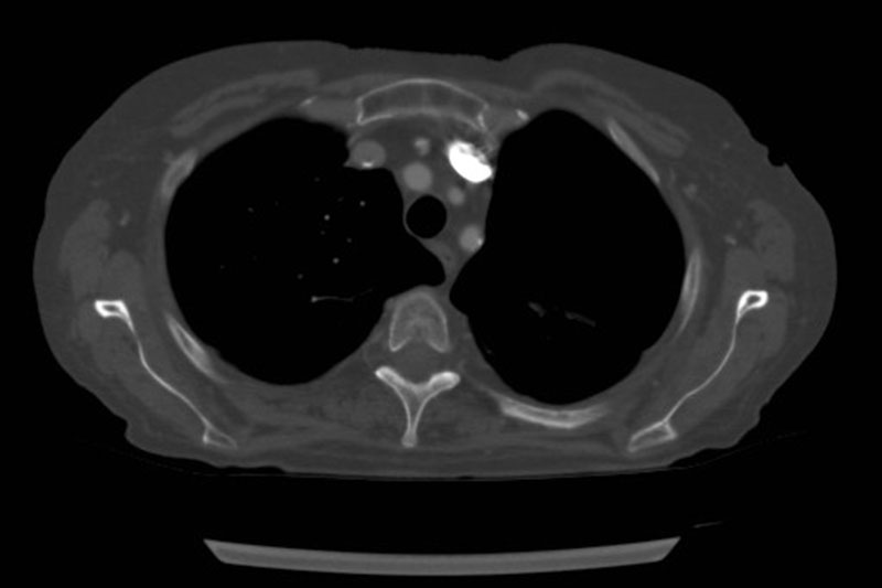
optimized for bones

All viewers support this!

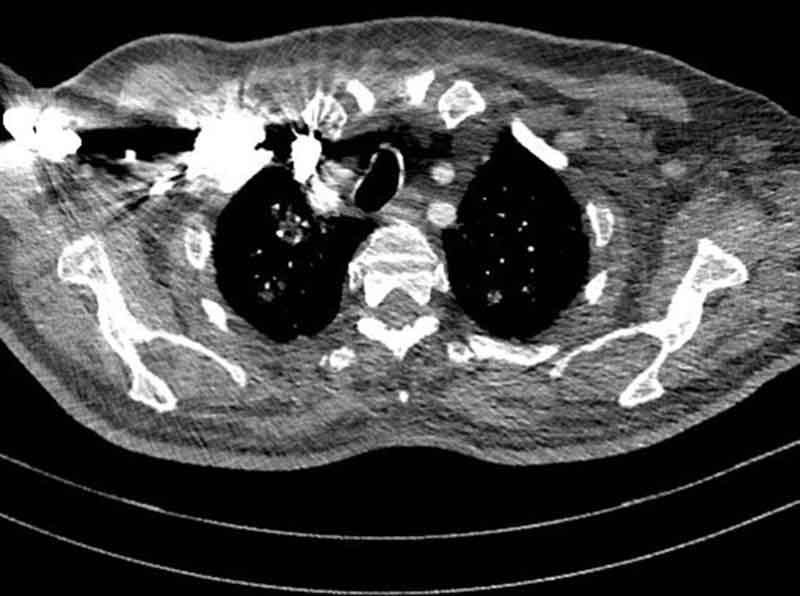
Contrast agent can help highlight certain features

injection or oral

ROI appears brighter

Risk for cancer from CT: 1 out of 2000

higher risk of allergy against contrast agent

COVID-19 CT Scans

37 yrs

52 yrs

73 yrs

ground-glass opacity (GGO)

Dental Artifact

Contrast Artifact

Portable CT

The AMIGO Suite

Jayender Jagadeesan, PhD

Harvard Medical School

Assignment 5

PyDicom

load CT volume, slice it, adjust window/level

Coming soon!

1. Explain the Story

2. Discuss the Paper

Students take the lead!

Roshan       Peng-Lin Chen

Neha

Gopi Krishna    Sai Harshith Chinta    Sai Bharadwaj