Can Structural Joint Damage Measured with MR Imaging Be Used to Predict Knee Replacement in the Following Year?

Jason Hostetter

F Roemer, C Kwoh, et. al.

Background:

Preoperative decision making for knee replacement complex process

Radiography: only osseous structures, only advanced disease

MRI: bone marrow, synovitis, effusion, periarticular cystic lesions, meniscal tears

Does presence/severity of MR abnormalities differ between operative/non-operative joints?

Materials and Methods

Osteoarthritis Initiative

4796 participants studied with Xray and MRI for 5 years

Case Knees

  • Knee replacement reported
  • MRI available before replacement

Control Knees

  • No knee replacement
  • Matched 1:1 for sex, age, disease stage at enrollment (Kellgren-Lawrence)

Interpretation

  • 2 MSK radiologists, 10 and 13 years experience

Assessed

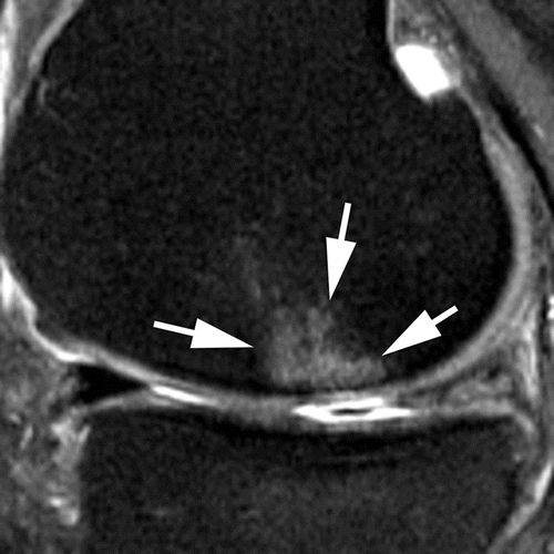
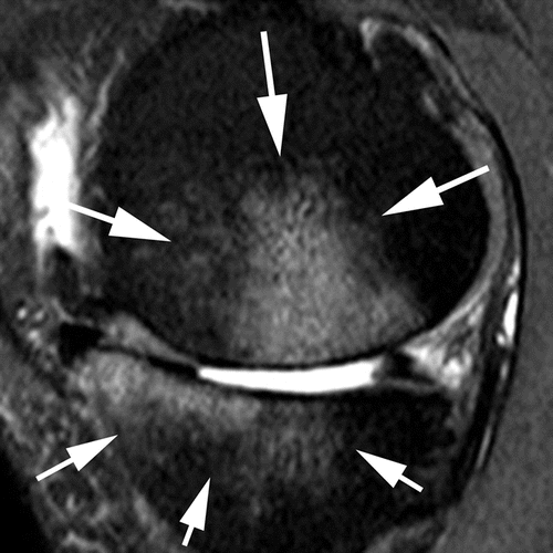
  • cartilage morphology and subchondral bone marrow lesions (BMLs) in ​​14 subregions
  • meniscal status
  • meniscal extrusion
  • synovitis (Hoffa fat pad or effusion)

Subregional joint division using MRI Osteoarthritis Knee Score (MOAKS)

BML assessment according to size

Grade 1

Grade 2

Grade 3

Intra/inter-reader reliability

  • 20 randomly chosen MRs rescored after 4 weeks by same reader
  • Same 20 studies compared between two readers

Statistical Analysis

Analyzed on whole knee and compartmental level

Assessed risk of knee replacement related to:

  • cartilage damage grade and number of subregions
  • BML grade and number of subregions
  • Meniscal damage grade, subregions, and extrusion
  • Hoffa synovitis and effusion synovitis

Statistics performed...

Results

Cartilage Damage

Increased risk of replacement:

 

  • grade 3 damage (OR 4.0)
  • 2 or more subregions affected (OR 16.5)

Bone Marrow Lesions

Increased risk of replacement:

 

  • 2 or more subregions affected (OR 4.0)
  • grade 3 BML in any subregion (OR 5.5)

Meniscus

Increased risk of replacement:

 

  • Maceration in the medial compartment (OR 1.8)
  • At least one subregion in medial compartment with any meniscal damage (OR 1.6)
  • Extrusion and lateral compartment damage not correlated

Synovium

Increased risk of replacement:

 

 

Any Hoffa or effusion synovitis (OR 2.2, 4.8)

Discussion

Summary

MR findings of degenerative change correlate with risk for replacement

Utility

Presence of MR risk factors in symptomatic patients may help decide whether to replace knee

Identify structure-modifying drugs to prevent or heal underlying abnormalities causing pain

Attempt to find earlier markers of disease to make structure modifying drugs effective

Limitations

Selection bias

  • Pool of patients (Osteoarthritis Initiative) have known OA

Knees vs Patients

  • 398 knees included, were any from the same patient?

Unclear question

  • Not really predicting knee replacement
  • Correlating structural damage with pain and knee replacement

Doesn't change pain as primary driver of replacement

Questions

Made with Slides.com