PRADER-WILLI
Chromosomal Abnormality
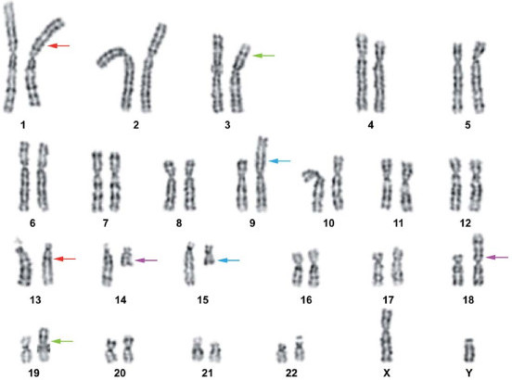
People normally inherit one copy of chromosome 15 from each parent.
Prader- Willi syndrome occurs when the region of the parental chromosome 15 containing certain genes are missing.
HOW DOES A PERSON INHERIT IT?
Prader Willi is caused by a deletion in the paternal chromosome 15 or by maternal uniparental disomy.

HOW IS IT DIAGNOSED?
A diagnosis of Prader-Willi syndrome (PWS) is usually made by a physician based on symptoms. PWS is shown in infant born with hypotonia (muscle weakness or “floppiness”). The diagnosis is confirmed by a blood test.

ADULT SYMPTOMS
- Almond-shaped eyes
- Delayed motor development
- Narrow bi-frontal skull
- Rapid weight gain
- Short stature
- Slow mental development
- Very small hands and feet in comparison to the body

physical features of PWS
Infants With Prader-Willi Syndrome
Poor muscle tone
Distinct facial features -almond shape eyes
failure to thrive-infants have poor sucking reflex due to poor muscle tone
Lack of eye coordination- eyes may not move together they may start to cross or wander to the side.
Generally poor responsiveness- usually tired, having a hard time to wake up or have a weak cry
Child with PWS physical features

Chances of disease passing down to an offsping?
a father with PWS who has a deletion in chromosome 15 has a 50% chance that he will pass on the affected chromosome to his child which will have Prader-Willi. This is because a mother's genes that has Prader-Willi are normally inactivated so the child will have no active copies of these genes.
Can PWS Be Passed Down To An Offspring?
Rarely, a genetic change responsible for Prader-Willi syndrome can be inherited. For example, it is possible for a genetic defect that abnormally inactivates genes on the paternal chromosome 15 to be passed from one generation to the next.

OFFSPRING WITH PWS
Life Expectancy
If obesity and other symptoms is regulated, victim may have a normal life expectancy. If it isn't regulated then t is shortened
Is Prader-Willi Syndrome Curable?
There is no cure for Prader-Willi Syndrome currently.
Can PWS Be Treated?
Subtitle
The treatment of Prader-willi is basically treating the symptoms of the disorder as they arise.
FREQUENCY
Prader-Willi Syndrome affects an estimated in 1 in 10,000 to 30,000 people worldwide.
affects of PWS (pictures)...

...

...

...

websites used
http://www.medicinenet.com/prader-willi_syndrome/page3.htm
http://www.nichd.nih.gov/health/topics/prader-willi/conditioninfo/Pages/faqs.aspx
http://ghr.nlm.nih.gov/condition/prader-willi-syndrome
http://www.med.umich.edu/yourchild/topics/praders.htm
Copy of deck
By lindybeauvais
Copy of deck
- 1,962