Title Text

Diffusion Weighted Imaging
Measure of the random Brownian motion of water molecules within a voxel of tissue
Diffusion weighted Imaging
Publications
Multiple softwares
Mission

DTI and HARDI reconstruction
and metrics extraction




Streamlines reconstruction


Publications
Diffusion weighted Imaging
Multiple softwares
Mission

Publications
Soares et al (2013) Frontiers in neuroscience
DTIStudio
CAMINO
DTIQuery
TrackVis
Tracula
MRDiffusion
JIST
SATURN
TORTOISE
Multiple softwares
Multiple formats
MISSION
- Parallel analyses
- Easy for novices and experts
- Not a black box
- Creation of a convergent and unified platform
- Tutorials
- Support
- Allow knowledge transfer
- Promoting good practice
Offer an
automated pipeline to process diffusion neuroimaging data
Diffusion weighted Imaging
Multiple softwares
Mission
Publications
TOAD
http://unf-montreal.ca/toad/



- Tutorial
- Documentation
- References
- Associated documentation for formation
Novice
Expert
- Documentation
- Config parameter file
- Open source code (github)
TOAD




Development
Contribution





S.Brambati
J.Doyon





J-S.Provost
C.Vien
G.Chedid
A.Hanganu
J.Jarret
J.Chen
C.Bedetti
G.Vallet
A.Boré
B.Pinsard
M.Desrosiers










C.Hurst
A.Cyr
Thanks to


M.Descoteaux
J-C.Houde
E.Garyfallidis
G.Girard
M-A.Côté
B.De Leener
T.Duval
J.Cohen-Adad
JD.Tournier
S.St-Jean
Technical support

R.Paquin

A framework
based on

Freesurfer




4 steps
- Conversion
- Analyses
- Quality Assessment
- Visualization

Conversion
Analyses
Quality Assessment
Visualization
Conversion
- Single command line -
dcm2toad unf-data.tar.gzConversion
Analyses
Quality Assessment
Visualization
Conversion
dcm2toad unf-data.tar.gz---------------------------------------
Please choose a subject to convert
0. None or exit
1. suj01
2. suj02
Enter your choice [0-2]: Default None [0] :
---------------------------------------
Please select the Diffusion weighted image (DWI - DTI) image
0. None or exit
1. 01-anat
2. 02-dwi
3. 03-b0_pa
Enter your choice [0-2]: Default None [0] :2
Warning: thoses subjects seem's to share exactly the same layout?
suj01,
suj02
Convert them all at the same time (y or n)? Default y :Conversion
Analysis
Quality Assessment
Visualization
Parse archive
Conversion of each modality
Multiple subjects conversion
- Parse archive
- Conversion of each modality
- Multiple subjects conversion
- Extraction of parameters
config.cfg
[prefix]
anat = anat
dwi = dwi
grad = dwi
b0_pa = b0_pa
[denoising]
number_array_coil = 32
[correction]
#the phase encoding is from anterior to posterior
phase_enc_dir = 1
epi_factor = 120
echo_spacing = 0.689988270199
echo_time_dwi = 94
Conversion
Analysis
Quality Assessment
Visualization

Conversion
Analyses
Quality Assessment
Visualization
Analyses
- Single command line -
toad .Conversion
Quality Assessment
Visualization
Analyses
Analyses
4 steps
- Preparation
- Preprocessing
- Reconstruction
- Outputs
Conversion
Analyses
Quality Assessment
Visualization
Analyses - Preparation
00 Backup
- Copy of the working folder
01 Preparation
-
Create "missing" files
-
Check orientations
Conversion
Analyses
Quality Assessment
Visualization
Preparation
Preprocessing
Reconstruction
Outputs
Analyses - Preprocessing
02 Parcellation
02 Parcellation
04 Correction
03 Denoising
05 Upsampling
06 Registration
04 Correction
03 Denoising
05 Upsampling
Conversion
Analyses
Quality Assessment
Visualization
Preparation
Preprocessing
Reconstruction
Outputs
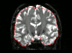
07 Masking
06 Registration
Future enhancement
Automatic creation of ROIs for tractographies
Analysis - Reconstruction
08-10 Tensor reconstruction
11-12 fODF reconstruction
08-10 Tensor reconstruction
11-12 fODF reconstruction
13-14 Tractographies
FA
AD
RD...
CSD PEAKS
NUFO
Conversion
Analyses
Quality Assessment
Visualization


Preparation
Preprocessing
Reconstruction
Outputs
Analysis - Outputs
Conversion
Analyses
Quality Assessment
Visualization
16 Outputs
dwi.nii.gz
suj01_lpca.b
suj01.bvals
suj01.bvecs
anat.nii.gz
atlas.nii.gz
dipy_ad.nii.gz
dipy_csd.nii.gz
dipy_fa.nii.gz
dipy_gfa.nii.gz
dipy_md.nii.gz
dipy_nufo.nii.gz
dipy_rd.nii.gz
mask.nii.gz
fsl_ad.nii.gz
fsl_fa.nii.gz
fsl_md.nii.gz
fsl_rd.nii.gz
mrtrix_ad.nii.gz
mrtrix_csd.nii.gz
mrtrix_fa.nii.gz
mrtrix_md.nii.gz
mrtrix_nufo.nii.gz
mrtrix_rd.nii.gz
Preparation
Preprocessing
Reconstruction
Outputs

Conversion
Quality Assessment
Visualization
Analyses
Quality Assessment
You should not trust any final outputs
WHY ?
Conversion
Quality Assessment
Visualization
Analyses
Quality Assessment



DWI
FA
SSE
Conversion
Quality Assessment
Visualization
Analyses
Quality Assessment
- One task - one QA
- General summary
- Global information
- Visual output
- Easy interface web-based
Conversion
Quality Assessment
Visualization
Analyses
Quality Assessment
Conversion
Quality Assessment
Visualization
Analyses

Conversion
Quality Assessment
Visualization
Analyses
Visualization
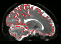
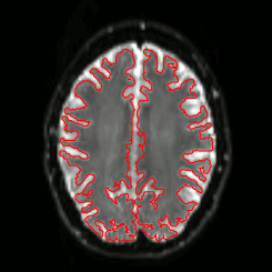
- Images, masks
- Itksnap
- FSLview
- Freeview
- Tractography, fODF, tensors
- Fibernavigator
- MRview
Conversion
Quality Assessment
Visualization
Analyses
ISMRM 2015
Tractography challenge
-
20 teams, 96 soumissions
-
1 team got 25/25 VB
-
3 teams got 24/25 VB


http://www.tractometer.org/
FAQ
- How much does it cost ?
- Nothing
- Can I install TOAD on my laptop/desktop ?
- Yes, but...
- Can I run TOAD on brains with lesions ?
- It depends...
- What kind of analyses can I run using TOAD outputs ?
- Subject based analyses
- Group analyses based on diffusion metrics
- Group analyses on structural connectivity
Future developments
- Dipy tractography
- Add personal atlases
- Artefact detection
- Tractography post-processing
- Metrics on tractography
- ...
How to contribute:
developers
- Suggest new tasks
- Get involved in the development
- Help us improving TOAD
- Suggest new tasks
- Help us improving TOAD
non-developers
http://unf-montreal.ca/toad/
toadunf.criugm@gmail.com


Thank you

TOAD presentation-personal version
By Arnaud Boré
TOAD presentation-personal version
29 Octobre 2015
- 771