INTR-D 601
Connectomics
MACHINE
PSYCHOLOGY
DANIELHAEHN.COM
2019
Lex Fridman
Alcorn et al. at CVPR 2019
Our Work at IEEE Vis 2018
https://mpsych.org/
Lichtman Lab
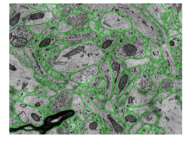
Interactive Proofreading
IEEE Vis 2014
https://github.com/rhoana/dojo
Finding errors takes a long time
Guided Proofreading
CVPR 2018
rhoana.org/guidedproofreading/
CVPR 2019
ECCV 2020
Mitochondria
Use
for Alignment
Yahiya Hussain
Gianna Yang
Neha Goyal
MIDL 2020
github.com/mpsych/mitochondria/
Phase 2 funding went to Princeton
and the Allen Brain Institute
https://twitter.com/AllenInstitute/status/1103096611041816576
https://www.newscientist.com/article/2279937-google-has-mapped-a-piece-of-human-brain-in-the-most-detail-ever/
https://www.science.org/doi/10.1126/science.add9330
CS666.org
CS460.org
By Daniel Haehn
Machine Psychology at UMass Boston. See https://mpsych.org!
Hi, I am a biomedical imaging and visualization researcher who investigates how computational methods can accelerate biological and medical research.