Daniel Haehn PRO
Hi, I am a biomedical imaging and visualization researcher who investigates how computational methods can accelerate biological and medical research.
iTCGA: Visualization and Medical Imaging
Daniel Haehn
Scientific Visualization
2D Cancer Annotation
3D Visualization for Surgical Planning
Kourosh's Gene Expression Data
Information Visualization
Data Visualization
Scientific Visualization == black background
Information Visualization == white background
Charts
as building blocks
Information Visualization
Data Visualization
Who has the most #1s?
Who has the least?
Tables are visualizations too!
this is one is better
Visualizations should reduce the cognitive load when looking at data!
Bad Examples
Information Visualization
Line Chart Aspect Ratio
Pie Charts
3D plots can lead to occlusion and confusion
and these are ugly colors!!
Colors!
Can you tell which color represents higher or lower values?
Let's make a chart beautiful!
What's wrong with this chart?
Source: World Bank
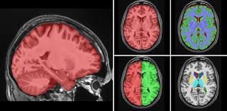
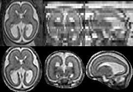
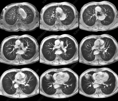
Scientific Visualization
BYOD!
Brain Camera
MRI Scanner
CT Scanner
Fetal MRI
Image Volumes
2D
3D
Marching Cubes creates 3D Meshes
Bill Lorensen 1987
Label Maps
R.I.P.
Ron Kikinis
B. Leonard Holman Professor of Radiology, Harvard Medical School
Download the same data to 3D Slicer using the IDC Browser extension!
Then, we will do Volume Rendering to analyze data and create a segmentation mesh of the tumor.
After export, let's load it in SliceDrop!
or BYOD!
window.onload = function() {
r = new X.renderer3D();
r.init();
volume = new X.volume();
volume.file = 'https://fly.cs.umb.edu/data/X/daniel.nii';
r.add(volume);
r.render();
}
find me (follow the ) and connect on LinkedIn!
By Daniel Haehn
Research Immersion in Cancer Genomics: Genomics & Data Science Workshop
Hi, I am a biomedical imaging and visualization researcher who investigates how computational methods can accelerate biological and medical research.