Artificial Intelligence for Type 2 Diabetes
Group Members:
Stacy Amadi, Julie Athanasiadis, Mark Lawley

What is type 2 diabetes (T2D) and how prevalent is it in the US?
Feeding the Body's Cells
- The body turns food into blood sugar to feed cells.
- Insulin unlocks cell walls so that blood sugar can be absorbed.
Data Source: https://springhillfitnesstn.com/insulin-fitness-build-better-physique-understanding-insulin/

What is T2D?
- The body's cells can become resistant to insulin, so that blood sugar stays in the blood.
- This is the hallmark of Type 2 diabetes.
It Won't Unlock!
My Lock is Busted!
It Won't Unlock!


Cell
What are the Health Impacts?
- High blood sugar damages blood vessels that feed nerve cells.
- Malnurished nerve cells result in many dangerous complications.

US Prevalence in Millions of People

- More people are being affected.
- Prevalence more than doubled from 2000 to 2021.
Percent US Prevalence by Ethnicity
- Minorities are greatly affected.

Percent US Prevalence by Age
- It comes on with age.

Prevalence by State, 2021
- All states are impacted.
- Some regions as a whole have higher rates than others.

US Spending on T2D Care
- Care is getting more expensive.
- Spending more than doubled from 2000 to 2021.

How Can AI Help with T2D Diagnosis, Treatment, and Prevention?

https://www.sciencedirect.com/science/article/pii/S2666990024000089
The Growing Role of AI in Diabetes Management
Example Benefit of AI: Machine Learning for Diagnosis Prediction

AI and ML models can help forecast diagnoses by looking at patients' medical traits and history.
This chart highlights the correlations between various medical measurements and the incidence of diabetes mellitus in Pima Indian women over the age of 21.
https://www.kaggle.com/datasets/kumargh/pimaindiansdiabetescsv

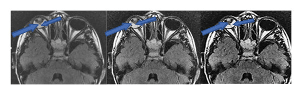
Example Benefit of AI: Deep Learning for Imaging Diagnostics
Traditional MRI CNN 3D CNN
One condition of long term diabetes is Diabetic Macular Edema (DME) which can severely impact your vision.
MRI images of the eyes are used to detect this condition and the presence of lesions.
AI, such as CNN and 3D-CNN, can significantly increase the details and clarity of the images, making diagnosing DME more effective.
Example Benefit of AI: Deep Learning for Imaging Diagnostics
-
One study proved that applying these techniques approved diagnostic accuracy.
- 3D-CNN also performed bettter with critical diagnostic metrics like Dice value, sensitivity, and specivifity, as well.

Example Benefit of AI: Google Search Trends
-
There is an upward trend of diabetes google searches.
-
This can help predict which areas of the country have growing diabetes trends to plan for support and prevention.
- Can examine how health conscious citizens are to plan for public health decisions.
To account for varying populations, the number of searches or popularity of diabetes is an index.
What are some Risks and Ethical Considerations of AI in Healthcare?


Protection


Fairness


Transparency





DO NOT UPDATE
By Mark Lawley
DO NOT UPDATE
- 154