Radiografía dental

herramienta de primera mano

¿Qué es la radiografía dental?

¿Qué es la radiografía dental?

Las radiografías dentales son un tipo de estudio clínico crucial para los dentistas en su trabajo diario. No solo permiten una evaluación precisa de la salud dental, sino que también son una parte esencial del diagnóstico y tratamiento de diferentes condiciones dentales. En este artículo, se explorará el uso y la importancia de las radiografías dentales en la práctica odontológica.

La radiografía dental es una técnica de imagenología que permite a los dentistas obtener imágenes detalladas de los dientes y los huesos de la mandíbula. Estas imágenes son esenciales para detectar problemas bucales como caries, tumores, posición de las piezas dentales, control previo y posterior a ortodoncia, y otros problemas estructurales. 

Las radiografías también son útiles para el monitoreo de la salud dental a lo largo del tiempo, ya que los dentistas pueden comparar imágenes anteriores y actuales para detectar cualquier cambio y valorar el éxito de los procedimientos.

Este estudio de imagen se ha convertido en una de las herramientas más efectivas para evaluar la salud dental de sus pacientes. Estas imágenes pueden revelar información que no puede ser perceptible a simple vista al examen físico general, como la presencia de caries ocupadas, problemas con las raíces y los huesos, y la presencia de abscesos o tumores, y mucho más allá.

Tipos de radiografía dental

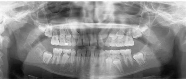
  • Radiografía panorámica:  como lo indica su nombre permite obtener una vista completa de la boca incluyendo dientes, huesos y encías.
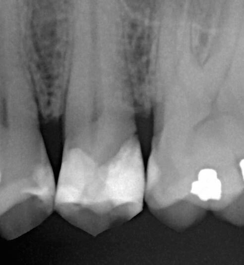
  • Radiografía periapical: Permite obtener una vista detallada de un diente o una región, es decir, muestran la estructura completa de una pieza dental.
  • Radiografía interproximal: Esta imagen facilita obtener una vista detallada de la zona entre los dientes, especialmente útil para identificar caries entre los dientes.
  • Radiografía oclusal:  Permite obtener una vista detallada de la oclusión (contacto entre los dientes superiores e inferiores).

¿Cuándo es necesario realizar una radiografía dental?

Es recomendable realizar una radiografía dental cada 6 meses o una vez al año, como parte de un examen dental de rutina. Sin embargo, en algunos casos específicos, puede ser necesario realizar el estudio de imagen con mayor frecuencia, como en caso de:

·   Problemas de caries o enfermedad periodontal

·   Dolor o sensibilidad dental

·   Problemas en la oclusión

·   Problemas estéticos en los dientes

 ¿Es segura la radiografía dental?

La radiografía dental es segura si se realiza de manera adecuada. Los dentistas utilizan técnicas y equipos especializados para minimizar la exposición a la radiación y proteger a los pacientes. Además, se utilizan dosis de radiación muy bajas en comparación con otras técnicas de imagenología.

El personal más capacitado para hacer radiografías dentales son los dentistas y los higienistas dentales que han recibido entrenamiento especializado en radiología dental. También deben tener una licencia válida y estar familiarizados con las regulaciones de radiación y seguridad necesarias para la protección de los pacientes y el personal.

A los niños y a las mujeres embarazadas se les pueden hacer radiografías dentales, pero con precaución. Durante el embarazo, se recomienda limitar la exposición a la radiación al mínimo necesario, y se pueden usar protectores de radiación para proteger al feto. En el caso de los niños, se utiliza menos radiación y se toman medidas de precaución adicionales para proteger su creciente sistema nervioso y tejido óseo. En ambos casos, es importante que los profesionales que realizan las radiografías tengan un conocimiento actualizado sobre seguridad en radiación y que utilicen equipos de radiología de alta calidad.

Conclusión

La radiografía dental es una técnica esencial para detectar problemas bucales a tiempo y garantizar una buena salud dental. Es segura si se realiza de manera adecuada y por un personal capacitado.

Las radiografías dentales son una parte importante de la atención dental, ya que permiten a los dentistas tomar decisiones informadas sobre el tratamiento de sus pacientes. Estas imágenes pueden ayudar a identificar problemas temprano, lo que aumenta las posibilidades de un tratamiento exitoso. Las radiografías también son útiles para evaluar la efectividad de cualquier tratamiento dental previo, lo que permite a los dentistas hacer ajustes en el plan de tratamiento si es necesario.

Artículo original:

Radiografía dental

By Daniela Mijares

Radiografía dental

  • 508