Daniel Haehn PRO
Hi, I am a biomedical imaging and visualization researcher who investigates how computational methods can accelerate biological and medical research.
Assignment 7
almost ready!!
20 Questions!
Bonus only
Counts as 4 quizzes!
Now in Blackboard!!
Vidhya, Edward, Argo
Let's Recap!
Lecture 1
Lecture 2
Lecture 3
Lecture 4
Lecture 8
Loraine Franke
Lecture 9
Lecture 5
Lecture 6
# How to read a paper
## So many papers..
* you can not never read them all
## When to read papers?
* special topic
** you grab a single individual paper based on the title and content
* literature/research state-of-the-art
** every paper has some related work
** but you can not possible read it all
** you need to skim it
* state of the art report (STAR) / review paper
** include hundreds of papers and you can not read them all
** STAR are great summaries for a specific research subfield or topic
* paper review
** reviewing is giving feedback about some submitted work
** you decide if the paper is scientifically sound and should be accepted
** 3 reviewers who then together with an editor or PC member decide on the acceptance
** great experience for your resume/CV
## What is a good paper?
* abstract, figures, conclusion
** abstract is the summary / the overall story
**
** example 1: dojo
** ABSTRACT
*** first 4 sentences in abstract give background
*** then contribution is mentioned (2 new softwares Mojo and Dojo)
*** evaluation is mentioned as a between-subjects quantitative user study (objective based on scientific hard facts)
**** not in the abstract: 30 people total without any experience, 10 per software to compare the user performance
**** qualitative feedback (subjective) by asking users how they liked it
** TEASER
*** we know a little bit more now and there is some repetition
** FIGURES
*** Fig 2 gives more background and highlights the importance
*** because we want to convince the reviewer about our contribution
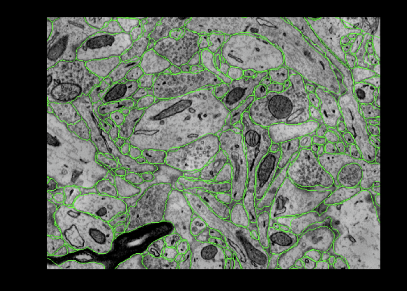
*** Fig 3 shows one of the tools: Raveler
*** Fig 4 shows examples of errors and some feature of Dojo
*** Fig 5 shows 3rd tool Mojo
*** Fig 6 shows Dojo: web-based and multi-user
*** Fig 7 shows example of merge workflow
*** Fig 8 shows example of split workflow
*** Fig 9 shows example of adjust workflow
*** Fig 10 shows collaborative view / multi-user
*** Fig 11 shows some example of proofreading in 3D
** CONCLUSION
*** some more repetition about the content of the work
*** some limitations we did not know about yet
*** future ideas
HOW TO READ A PAPER
** 1. read abstract to get outline of the story
*** but you will still have a lot of questions
** 2. look at the images
*** start with the teaser if it exists
*** go figure by figure
** 3. go to the end of the paper and read conclusions
** 4. look at scientific evidence (maybe look at plots first)
** example 2: scalable interactive visualization
# How to write a paper
## Author order
** follows U-shape with first and last author being the most important
** (only in CS theory its different and alphabetical order)
## Overlead LaTeX/Templates
* MICCAI
** each conference and each journal have their templates
** use overleaf templates if exists
## Outline (first step)
* Introduction
* Related Work
* Method
* Evaluation
* Discussion and Results
* Conclusions and Future Work
## Add Figures..
## Bullets
## Paragraphs
Lecture 7
# How to write a paper
## Author order
** follows U-shape with first and last author being the most important
** (only in CS theory its different and alphabetical order)
## Overlead LaTeX/Templates
* MICCAI
** each conference and each journal have their templates
** use overleaf templates if exists
## Outline (first step)
* Introduction
* Related Work
* Method
* Evaluation
* Discussion and Results
* Conclusions and Future Work
## Add Figures..
## Bullets
## Paragraphs
Lecture 8
Lecture 16
Lecture 9
Lecture 10
Lecture 11
Lecture 12
Lecture 20
Lecture 21
Lecture 13
Lecture 23
Lecture 14
Lecture 15
Lecture 26
Lecture 16
Lecture 17
Lecture 18
Lecture 29
Lecture 30
Lecture 30
Lecture 19
Lecture 32
Lecture 20
Lecture 21
Lecture 35
Lecture 22
Lecture 38
Lecture 39
Thank you!
By Daniel Haehn
Slides for CS666 Biomedical Signal and Image Processing at UMass Boston. See https://cs666.orghttps://cs666.org
Hi, I am a biomedical imaging and visualization researcher who investigates how computational methods can accelerate biological and medical research.