INTR-D 280

MACHINE

PSYCHOLOGY

DANIELHAEHN.COM

Visualization

Web-based

Coronal

Super-Resolution

Coronal

Super-Resolution

2024

We

Computers

1998

IRC

ICQ

GONZO

MONSTER

VAMPIRE

ZOMBIE

HYDRA

April 26th 2025

...it was good to be back!

I

VIZBI

GPU Access!

More SliceDrop later..

WebGL is everywhere!

There are a ton of frameworks and tutorials and other resources available!

the most popular one!

XTK: the easiest!

brandnew + fast

Hello Cube!

<html>
  <head>
    <title>Hello Cube!</title>
    <style>
      html, body { 
        background-color:#000;
        margin: 0;
        padding: 0;
        height: 100%;
        overflow: hidden !important;  
      }
    </style>
    <script type="text/javascript" src="https://get.goXTK.com/xtk_edge.js"></script>
    <script type="text/javascript">
      window.onload = function() {

        var r = new X.renderer3D();
        r.init();

        var cube = new X.cube();

        r.add(cube);

        r.render();

      };
    </script>
  </head>
  <body>
  </body>
</html>

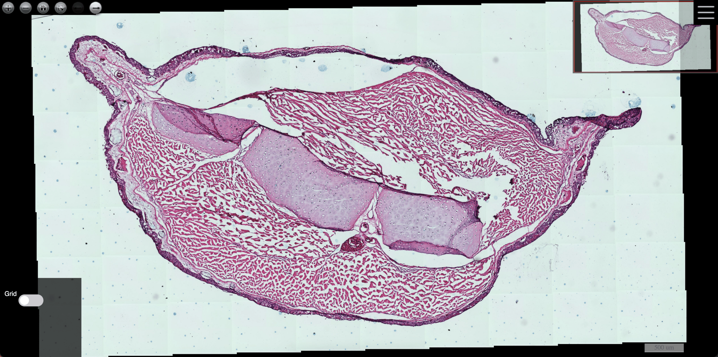
Image Volumes

Meshes

DTI Fibers

Radiology

0.1 - 1 mm^3 voxel size

< 1 Gigabyte

<html>
<head>
  <style>

    body {
      background: black;
      margin: 0;
      padding: 0;
      overflow: hidden !important;
    }
    
  </style>

  <script type="text/javascript" src="https://get.goXTK.com/xtk_edge.js"></script>
  <script>

  window.onload = function() {

    r = new X.renderer3D();
    r.init();
        
    tumor = new X.mesh();
    tumor.file = 'tumor.vtk';
        
    r.add(tumor);
        

    tracks = new X.fibers();
    tracks.file = 'tracks.trk';
        
    r.add(tracks);
        

    volume = new X.volume();
    volume.file = 'volume.nii';
        
    r.add(volume);

    r.render();


  }
  </script>
</head>

<body>
</body>
</html>

2D

3D

Slice-based Volume Rendering

Volume Rendering with Ray Casting

support for 3D textures!

the most popular one!

XTK: the easiest!

brandnew + fast

WebGL2!

<html>
  <head>
    <title>NiiVue!</title>
    <style>
      body { 
        background-color:#000;
        margin: 0;
        padding: 0;
        height: 100%;
        overflow: hidden !important;  
      }
    </style>
    <script type="text/javascript" src="https://niivue.github.io/niivue/features/niivue.umd.js"></script>
    <script type="text/javascript">
      window.onload = function() {

        var nv1 = new niivue.Niivue()
        nv1.attachTo('gl1')
        nv1.setSliceType(nv1.sliceTypeRender)

      };
    </script>
  </head>
  <body>
    <canvas id='gl1' style='height:100%;width:100%'></canvas>
  </body>
</html>

Connectomics

Brain Connectivity at Synapse Level

nanometer resolution!

tera- or petabytes of data!

Drosophila Hemibrain Connectome

8x8x8nm^3 voxel size

~25,000 neurons

Google + Janelia

<canvas>

ACM Conference on 3D Web Technology, 2024

ISBI 2025

develop processing modules...

...that work with many different visualization frameworks

script = document.createElement("script");
script.type = "text/javascript";
script.src = "https://boostlet.org/dist/boostlet.min.js";
script.onload = run;
document.head.appendChild(script);
eval(script);


function run() {
  
  // detect visualization framework
  Boostlet.init();

  image = Boostlet.get_image();

  kernel = [
    -1, 0, 1,
    -2, 0, 2,
    -1, 0, 1
  ];

  filtered = Boostlet.filter(image.data, image.width, image.height, kernel);

  Boostlet.set_image( filtered );

}

+

MeshAR

FibersAR

Brainchop

PowerBoost Editor

X-ray Crystallography

MRI

Electron Microscope

 one ten-billionth (10^-10) of a meter

Why is it called "guardian of the genome"?

p53 helps prevent cancer development by inhibiting growth and division of cells with damages DNA.

mutations in p53 are found in approximately half of all cancers!

Tumor Suppressor

Cho Y, Gorina S, Jeffrey PD, Pavletich NP. Crystal structure of a p53 tumor suppressor-DNA complex: understanding tumorigenic mutations. Science. 1994 Jul 15;265(5170):346-55.

t2_mri.nii

tracks.trk

tumor.vtk

INTR-D280

By Daniel Haehn

INTR-D280

Data visualization with WebGL

  • 659