Daniel Haehn PRO
Hi, I am a biomedical imaging and visualization researcher who investigates how computational methods can accelerate biological and medical research.
MACHINE
PSYCHOLOGY
DANIELHAEHN.COM
Almost Tenured at UMass Boston:
Years
Six
2019
2019
2024
Last December
7/31/2019 2:03PM
7/31/2019 3:33PM
2/24/2020
2/29/2020
Breast Cancer Research and some strong GPUs
Thank you!
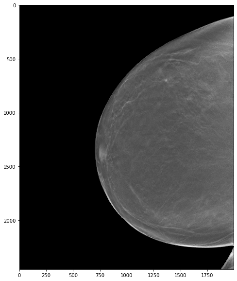
The Oregon-Massachusetts Mammography Database
OMAMA-DB
Daniel Haehn
Nurit Haspel
Marc Pomplun
Dan Simovici
Bill Lotter
Greg Sorensen
Ryan Zurrin
Pablo Bendiksen
Neha Goyal
Kendrick Khaev
Muskaan Manocha
Jeff Dusenberry
World's Largest Mammography Dataset
publicly available!
with labels!
World's Largest Mammography Dataset
we started with ~1 million images!
2000 x 2000 pixels
100 x 2000 x 2000 voxels
~8 MB
~500 MB
~8 TB
Intelligent Annotation Framework
Two Artificial Neural Networks..
..work together for Quality control
Discriminator finds error pattern of Classifier
Augmented Intelligence
Human + AI
import omama as O
pred = O.DeepSight.run(imgs)We
Computers
GONZO
MONSTER
VAMPIRE
ZOMBIE
HYDRA
2x NVIDIA DGX A100
2x NVIDIA DGX A100
Â
  2 TB RAM
  30 TB Storage
Â
  8x A100 GPUs
Â
  High-Performance Switch
Â
NVIDIA DGX H200
1+ TB GPU Memory
R.I.P. Marc Pomplun
Data Science Services forÂ
The Blessing of Loraine
Loraine received "Best PhD Dissertation" and the "Malbone Award"
Really fine Undergrads!
of
Last week in Houston, TX at IEEE ISBI 2025
Research Experience for Undergraduate Students in CS and Engineering
2023 Students
2024 Students
The Mini-PhD!
5+
7+
accepted papers
grad school applications
Paper accepted at IEEE Ethics 2025!
Miller Award 2025
Grading Magic
LMK if you are interested!
?
MACHINE
PSYCHOLOGY
DANIELHAEHN.COM
Thank you!
By Daniel Haehn
Machine Psychology at UMass Boston. See https://mpsych.orghttps://mpsych.org
Hi, I am a biomedical imaging and visualization researcher who investigates how computational methods can accelerate biological and medical research.