ESTOMATITIS DE CONTACTO ALÉRGICA PRODUCIDA POR ACRÍLICO
Reporte de un caso
Facultad de odontología - Universidad de Antioquia
Clínica del adulto VI - Décimo semestre
Asesores: Dra. Luz Marina Orozco Rojas - Dr. Jorge Iván Sierra Pérez

INFORMACIÓN PERSONAL
Sexo: Femenino
Edad: 66 años
Servicios de Salud: Régimen contributivo
Ocupación: Ama de casa
"Porque quería cambiarme la prótesis" Relata la paciente


ANTECEDENTES MÉDICOS PERSONALES




ANTECEDENTES MÉDICOS FAMILIARES


ANTECEDENTES ODONTOLÓGICOS PERSONALES

EXAMEN EXTRAORAL



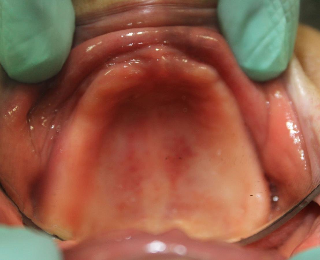
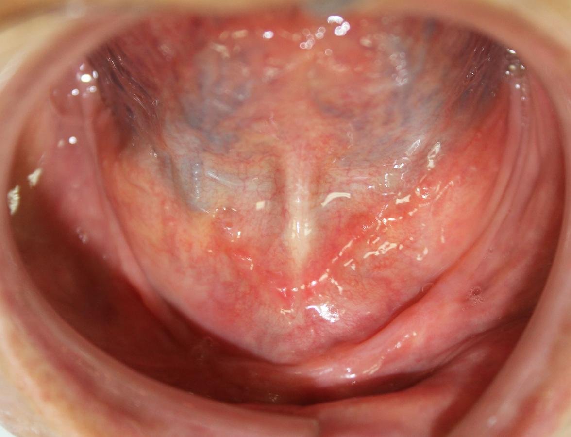
EXAMEN INTRAORAL





AYUDAS DIAGNÓSTICAS
Radiografía panorámica

Julio 5 de 2014
AYUDAS DIAGNÓSTICAS


Radiografía panorámica
Julio 5 de 2014
DIAGNÓSTICOS
DIAGNÓSTICO SISTÉMICO
Migraña controlada
Vértigo en estudio
DIAGNÓSTICO DENTAL
DIAGNÓSTICO FUNCIONAL
DIAGNÓSTICO ATM
DIAGNÓSTICO ESQULÉTICO
Prognatismo mandibular posicional
Edentulismo total superior
Edentulismo total inferior
Asintomático
Desplazamiento anterior del disco
con reducción
PRONÓSTICO

Favorable
Reservado
PRONÓSTICO
FAVORABLE
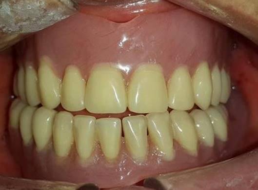
PLAN DE TRATAMIENTO
Elaboración de prótesis total superior e inferior bajo técnica convencional



EVOLUCIÓN
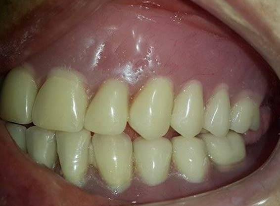
"Siento como si me quemara toda la boca" Paciente

7 días después

¿?
ESTOMATITIS DE CONTACTO ALÉRGICA
CAUSADA POR ACRÍLICO
HIPERSENSIBILIDAD
Reacción aumentada del sistema inmune ante un estímulo o sustancia proveniente del exterior.
No se manifiesta tras la primera exposición
ALERGIA DE CONTACTO
Hipersensibilidad tipo IV
Fuertes A. Lopez B. Alergia a las prótesis dentales con resinas. Revisión del problema. Disponible en: file:///C:/Users/Yudy%20Restrepo%20M/Downloads/den-9-1-003%20(3).pdf
Poco frecuente
Sexo femenino
Desprendimiento de monómero residual
ESTOMATITIS DE CONTACTO ALÉRGICA
CAUSADA POR ACRÍLICO
Bagán JV, Ceballos A, Bermejo A, Aguirre JM, Peñarrocha M. Medicina oral. Barcelona: Masson 1995.
Perez L. Donado C. Alergia de contacto intraoral a los materiales de uso odontoestomatológico. Una revisión crítica. Disponible en: file:///C:/Users/Yudy%20Restrepo%20M/Downloads/medoralv8_i5_p334%20(2).pdf
OPCIONES DE TRATAMIENTO
Elaboración de prótesis total superior e inferior
bajo técnica de inyección
Elaboración de prótesis total superior e inferior
con resina fotopolimerizable -Eclipse-
OPCIONES DE TRATAMIENTO

ECLIPSE
Resina fotopolimerizable
Libre de monómeros metílicos, etílicos, propílicos o butílicos
Tres componentes: material de base, de montaje y de contornos.
Colores: rosa veteado, rosa claro veteado, rosa-rojo veteado e incoloro


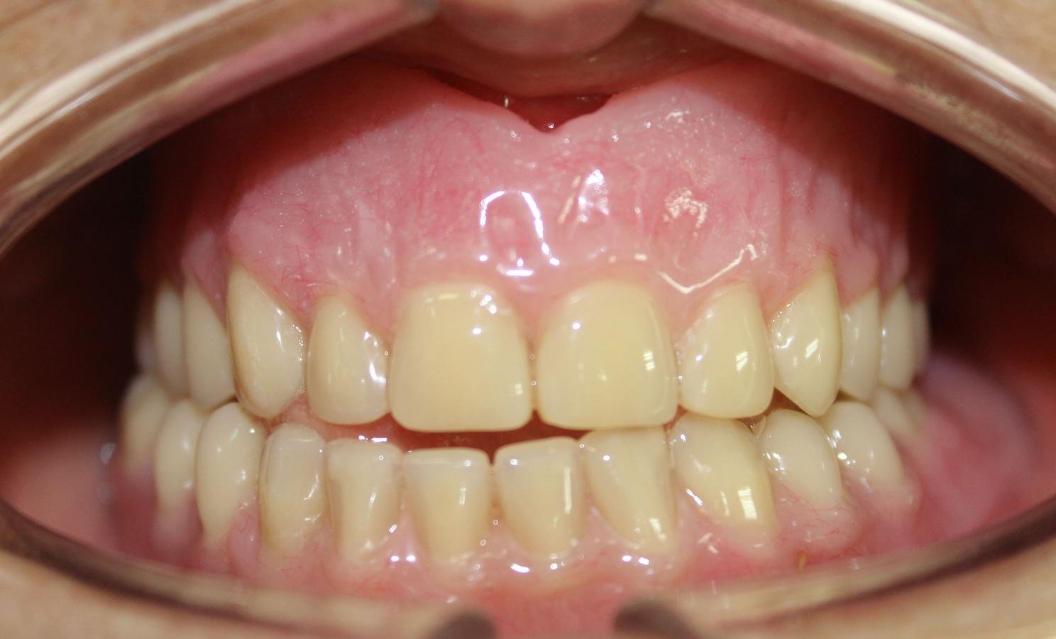
TRATAMIENTO FINAL
Prótesis total superior e inferior elaboradas con Eclipse





EVOLUCIÓN



7 días después
"Me siento mucho mejor, ahora si puedo comer" Paciente
EVOLUCIÓN
7 días después



GRACIAS!!!
Estomatitis alérgica de contacto
By Sara Patiño Arango
Estomatitis alérgica de contacto
- 3,798