Alternativ brug af tobak
Skrå/tyggetobak og snus
Indholdsfortegnelse
- Problemstilling
- Forskellige typer alternativ tobak
- Kort- og langsigtede effekter af alternativ tolbak
- Alternativ tobak og kræft
- Unge og snus - hvorfor er det blevet moderne?
- Konklusion
Problemstilling
Forskelle på snus, skrå og tyggetobak
Analyse af hvilke effekter disse tobaksformer har i kroppen på kort og langt sigt
Diskussion af årsager til at brugen af disse former for tobak er i stærk stigning blandt unge
Forskellige typer alternativ tobak
Snustobak
Skråtobak (tyggetobak)


Snus/skrå forskellige og ligheder
Er det det samme i forskellig form?


Kortsigtede effekter af snus/skrå
Nikotin - samme niveau afhængighed som røgtobak
Abstinenser (fysiske og psykiske)
Optages hurtigt i hjernen
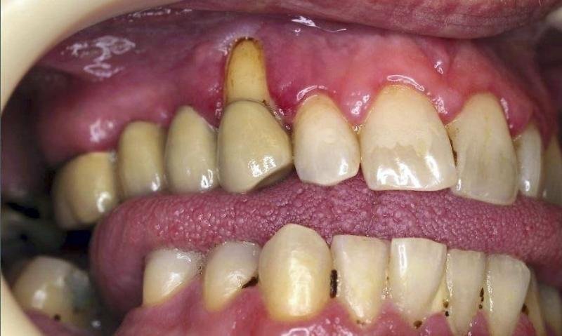
Misfarvning af tænder
Dårlig ånde
Nedbrydning af tandkød

Langsigtede effekter af snus/skrå
Periodontal sygdom
Avanceret tandkødssygdom
Kræft
Mundhulekræft
Pankreaskræft
Leukoplakia
Erythroplakia

Hvorfor opstår kræften?
Der er fundet 31 forskellige kræftfremkaldende stoffer i alternativ tobak - værst er nitrosaminer
Nitrosaminer
Kemiske forbindelser, der har en -NO forbundet til nitrogen.
Dannes når salpetersyre og sekundære alminer reagerer.
Langt de fleste af dem er kræftfremkaldende
Findes i visse typer røgede og saltede madvarer, nogle typer drikkevarer og i tobak.

Tabte livsår ved rygning og snus

Unge og snus

Konklusion - er alternativ tobak, et godt alternativ?
Alternativ brug af tobak
By signe
Alternativ brug af tobak
- 648