💻 Shortcuts
Scroll - Scroll Wheel
Window - Left Click Drag
Zoom - Right Click Drag
Pan - Scroll Click Drag
📱 Shortcuts
Scroll - Vertical Swipe
Window - 3-finger Swipe
Zoom - 2-Finger Pinch
Pan - 2-Finger Swipe
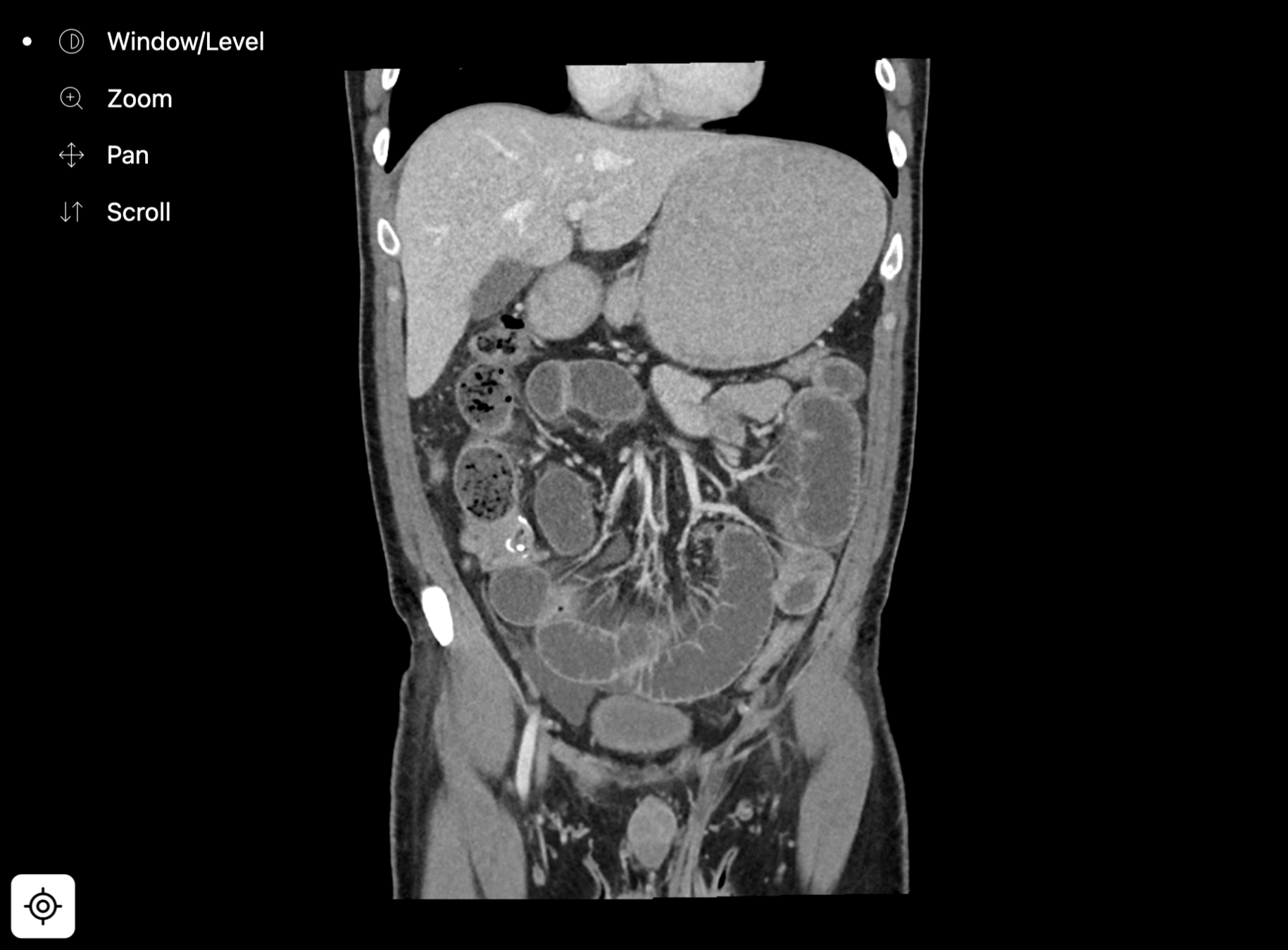
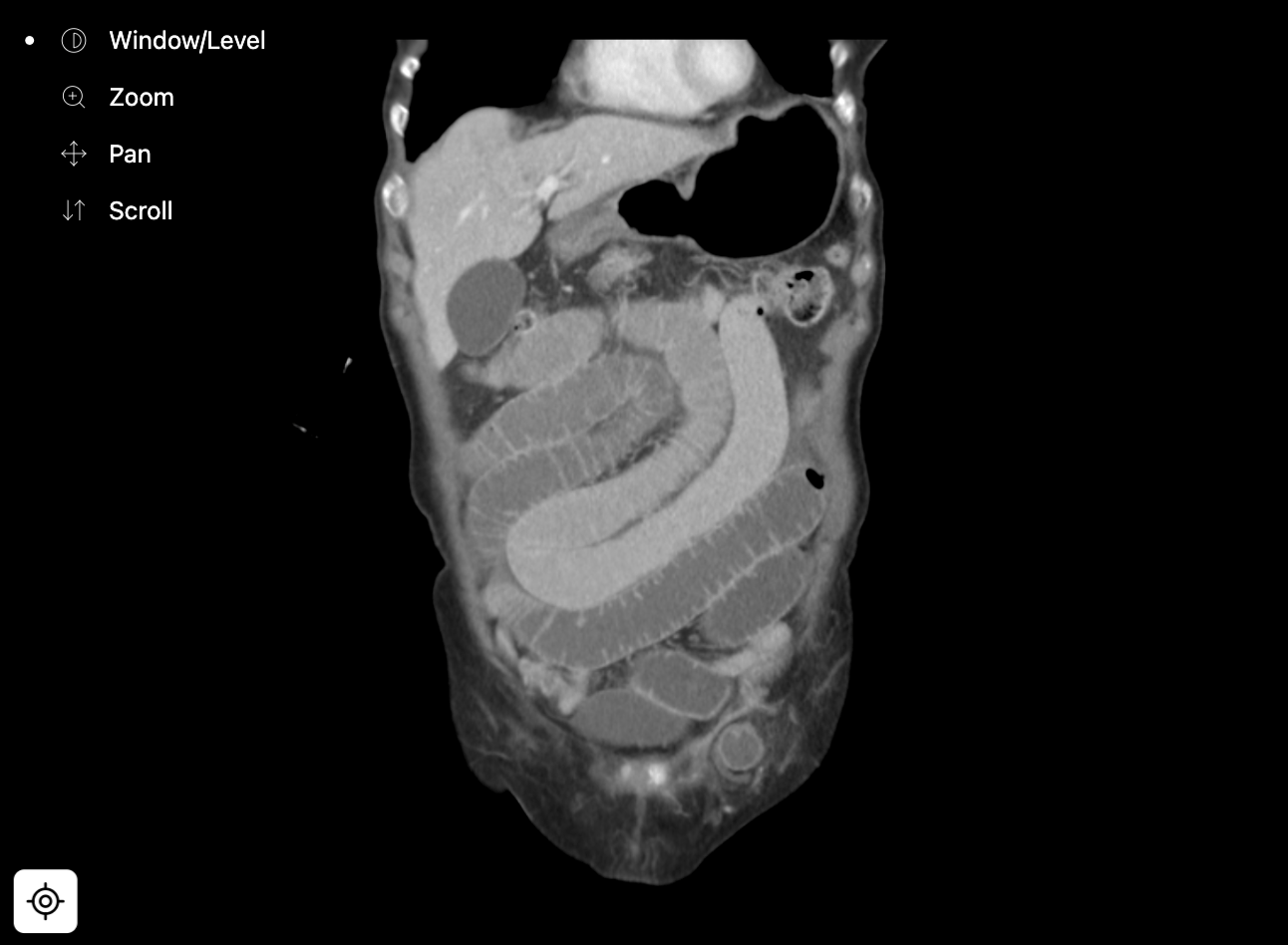
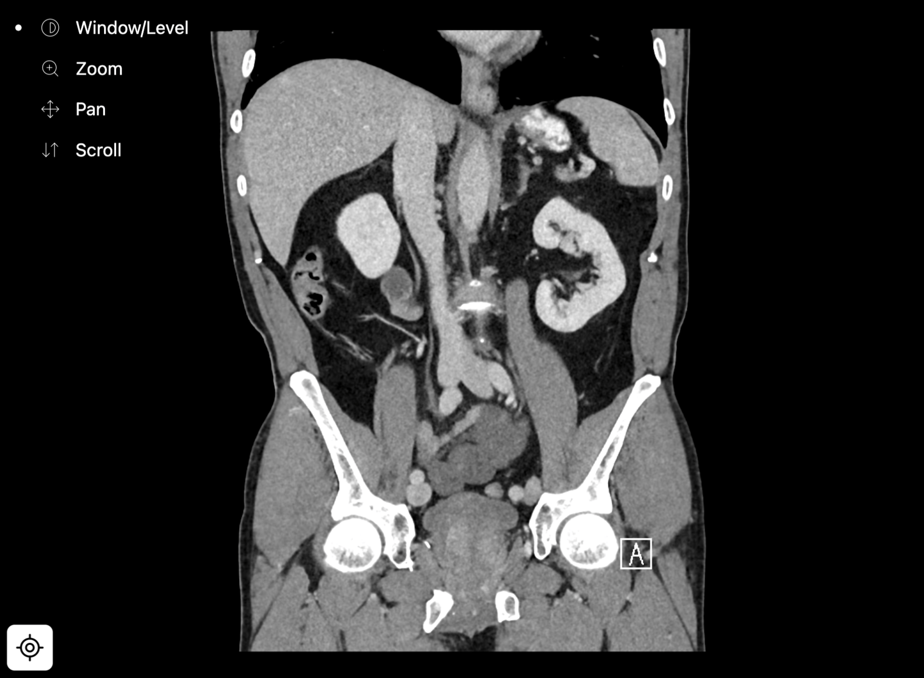
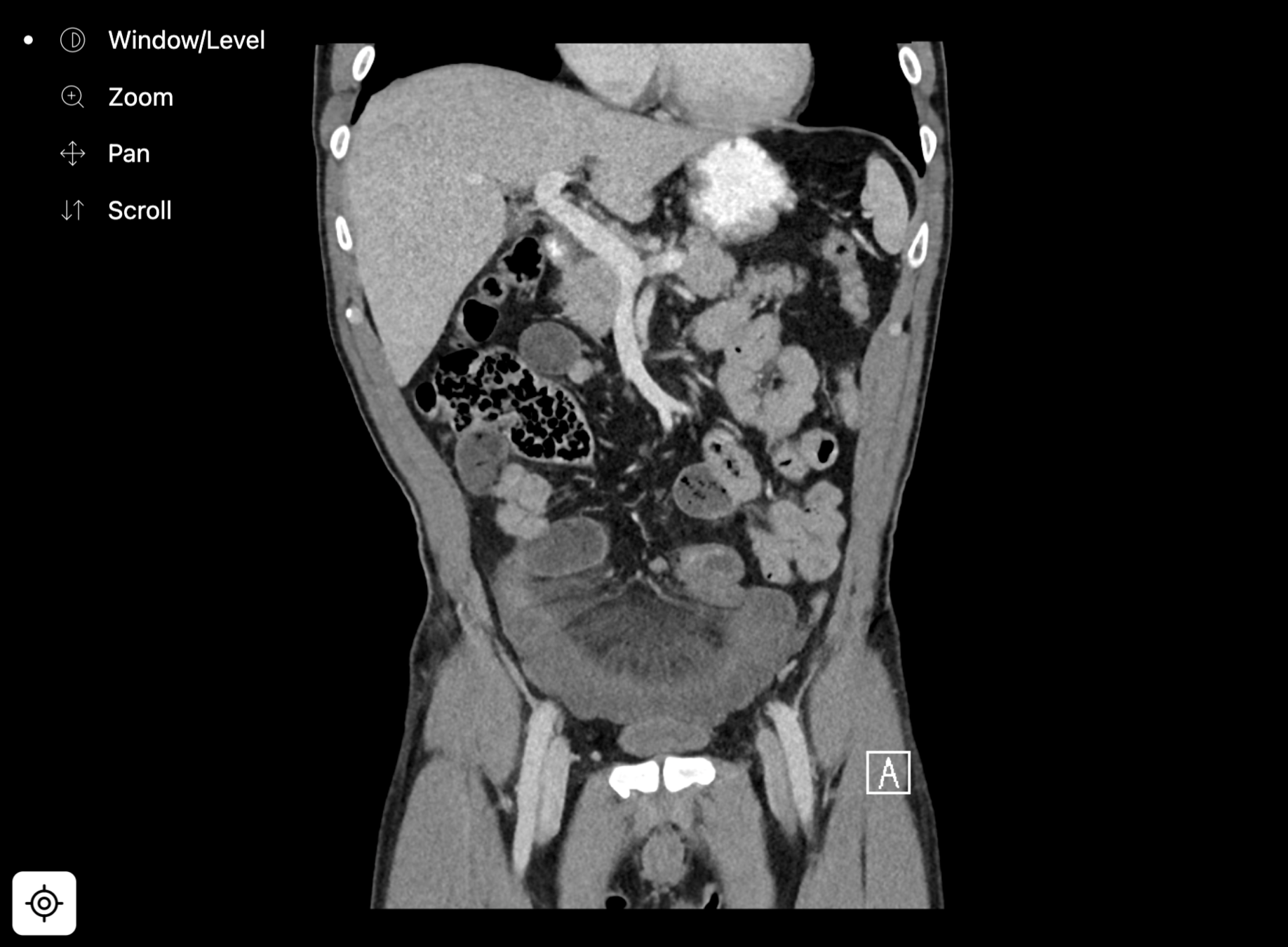
Try finding the transition point on the following cases!

Small bowel obstruction with transition point at the anastamosis

Small bowel obstruction due to a femoral hernia


closed loop small bowel obstruction
notice how a single image can't show the entering and exiting transition points?
Copy of AtTheViewbox
By Vineeth Gangaram
Copy of AtTheViewbox
- 130