Soutenance de PFE
Analyses statistiques et visualisation de données d'imagerie médicale dans le contexte d'un laboratoire virtuel web

5ème année
Département Télécommunications, Services et Usages
INSA de Lyon
Adrien Mallecourt


Center for Neurological Imaging
Brigham and Women's Hospital
Boston, Massachusetts USA
Contexte du projet

- Domaine : Pathologies du système nerveux central
- Directeur : Charles R.G. Guttmann, MD
- Hopital : Brigham and Women's Hospital
- Localisation : Longwood area, Boston, MA, USA
Le laboratoire : Center for Neurological Imaging

Contexte du projet

- SPINE : Structured Planning and Implementation of New Explorations
- Principe : Laboratoire virtuel de neuro-imagerie
- Utilisateurs visés : Chercheurs, médecins, professeurs, développeurs, patients
- Outils : Ségmentation, annotation, règle
L'application : SPINE


Contexte du projet

- MAGNIMS : Magnetic Resonance Imaging in Multiple Sclerosis
- Rôle : Définition du rôle de l'IRM dans le diagnostique et le traitement de la sclérose en plaques
- Collaborateurs : VU University Medical Centre, Amsterdam
- Objectif : Comparaison de méthodes automatiques et de méthodes manuelles pour la segmentation du thalamus sur des IRM cérébrales
Circonstances : Expérience MAGNIMS
Objectifs du projet
Module d'analyses statistiques et de visualisation de résultats issues d'images médicales pour SPINE
Objectifs du projet
- Analyse pertinente pour la recherche scientifique
- Visualisation des tracés effectués par les utilisateurs
- Mesures des tracés effectués par les utilisateurs
- Statistiques sur les mesures
- Comparaison entre les tracés
- Comparaison entre les utilisateurs
- Affichage esthétique et compréhensible des données
- Innovation dans les informations proposées
- Interface attractive
- Outil générique à tout type de mesures et d’expériences
Cahier des charges

Objectifs du projet
- Que faut-il calculer ?
- Que faut-il visualiser ?
- Comment le visualiser ?
- Comment rendre la page attractive ?
Problématique

Solution
Outils utilisés :
- Calcul : R-Project
- Affichage : ngTable de AngularJS
Affichage des résultats brutes

Mesures :
- Moyenne arithmétique
- Moyenne géométrique
- Médiane
- Déviation standard


Solution
Outils utilisés :
- Format de données : SVG
- Librairie manipulation de données : D3.js
Graphique de distribution : Boxplot
Solution
Outils utilisés :
- BrainBrowser
- Canvas HTML5
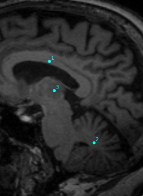
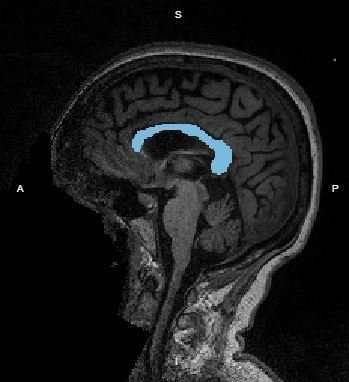
Visualisation simple d'une segmentation

Solution
- Formation des groupes
- Calculs de statistiques
- Affichage du graphique Bland-Altman
- Vote par groupe
- Affichage de la superposition
- Calcul du coefficient de similarité
Comparaison des segmentations : Méthode
Outils utilisés :
- Affichage : Modal Bootsrap
- Autocompletion : Filtre AngularJS
- Calcul : ITK
Solution
Comparaison des segmentations : Bland-Altman
Solution
Comparaison des segmentations

Outils utilisés :
- Support : Canvas HTML
- Couleur : Format HSV
- Affichage : BrainBrowser
Difficultés rencontrées
- Mémoire vive sur le serveur
- Gestion des requêtes asynchrones
- Nombre trop important de données

Améliorations possibles
- Glisser-Déposer les éléments
- Export des données
- Mesures multiples
- Configuration des groupes
- Flexibilité dans le choix des mesures et des structures
- Comparaison intra-traceur
- Courbe d'apprentissage
- Analyse longitudinale

Retour d’expérience / Conclusion
- Découverte de la recherche
- Fonctionnement différent de l'entreprise
- Rencontre de nombreux chercheurs
- Projet stimulant
- Application innovante
- Participation à un projet international
- Immersion culturelle
- Environnement multi-culturel
- Première expérience professionnelle à l'étranger
- D'autres responsabilités :
- Développement d'un outil de configuration d’expérience
- Migration des outils existants vers utilisation de BrainBrowser

Soutenance PFE
By Adrien Mallecourt
Soutenance PFE
Diaporama pour la soutenance de mon Projet de Fin d'Etudes au Centre de Neuro-Imagerie de Brigham and Women's Hospital. Juin 2015. INSA de Lyon
- 459