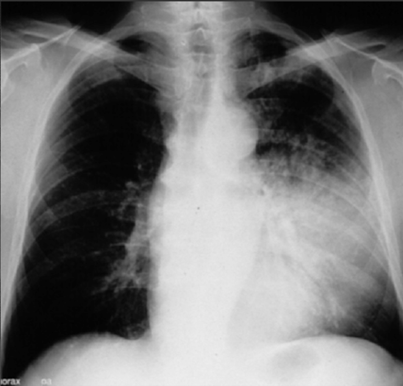
White Out

White Out

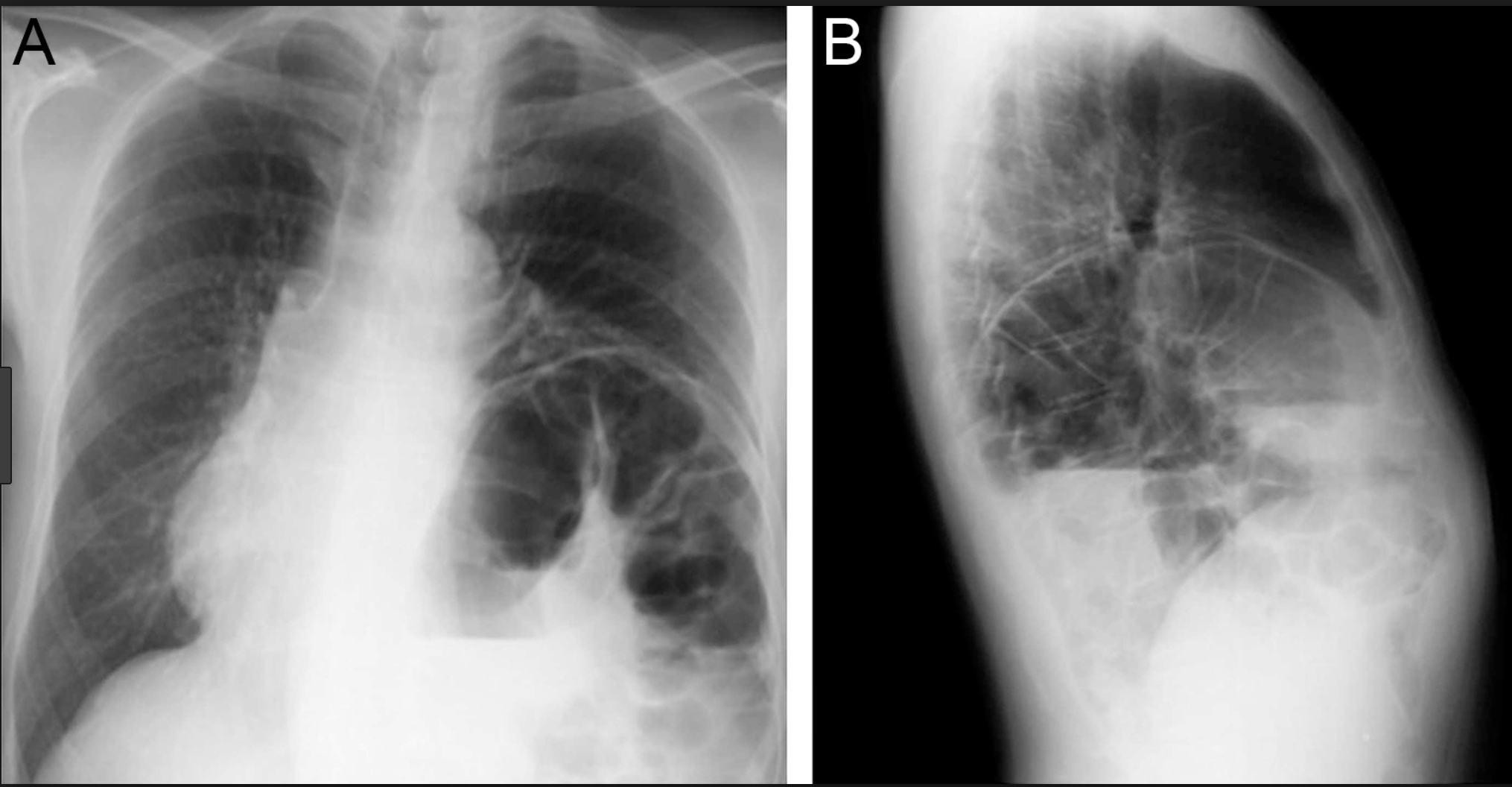
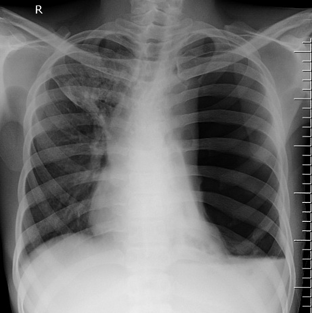
Pneumonia

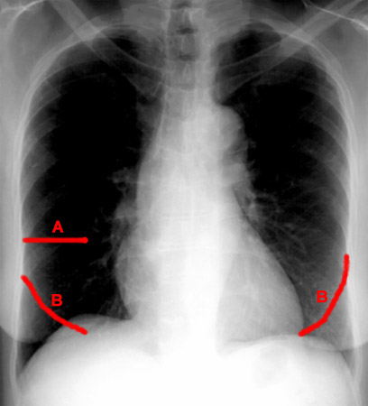
But where?

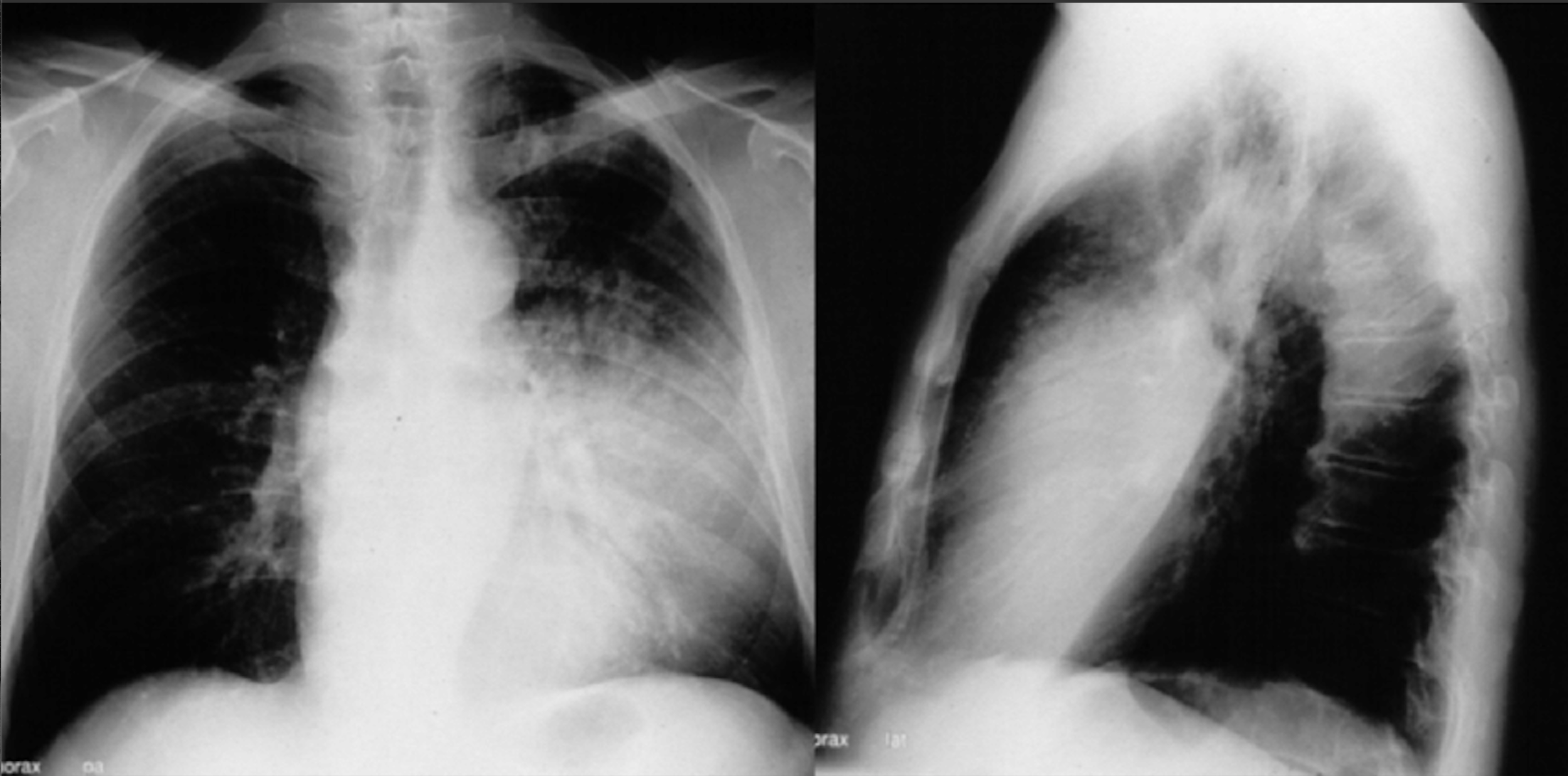
A: Minor Fissure

B: Major Fissure

A: Minor Fissure

B: Major Fissure

Diaphragmatic Hernia

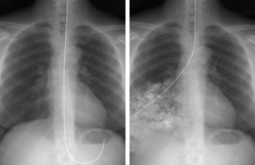
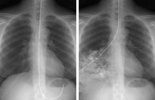
CORRECT NG PLACEMENT

INCORRECT NG PLACEMENT

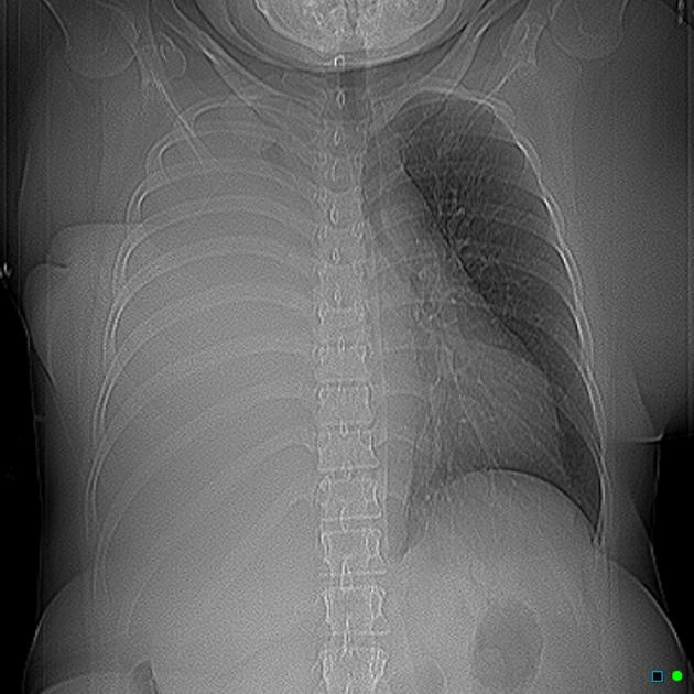
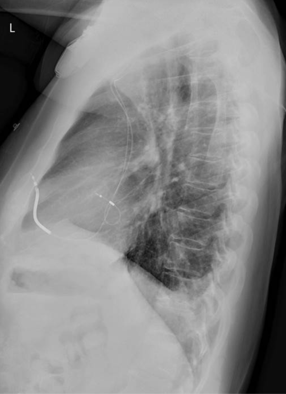
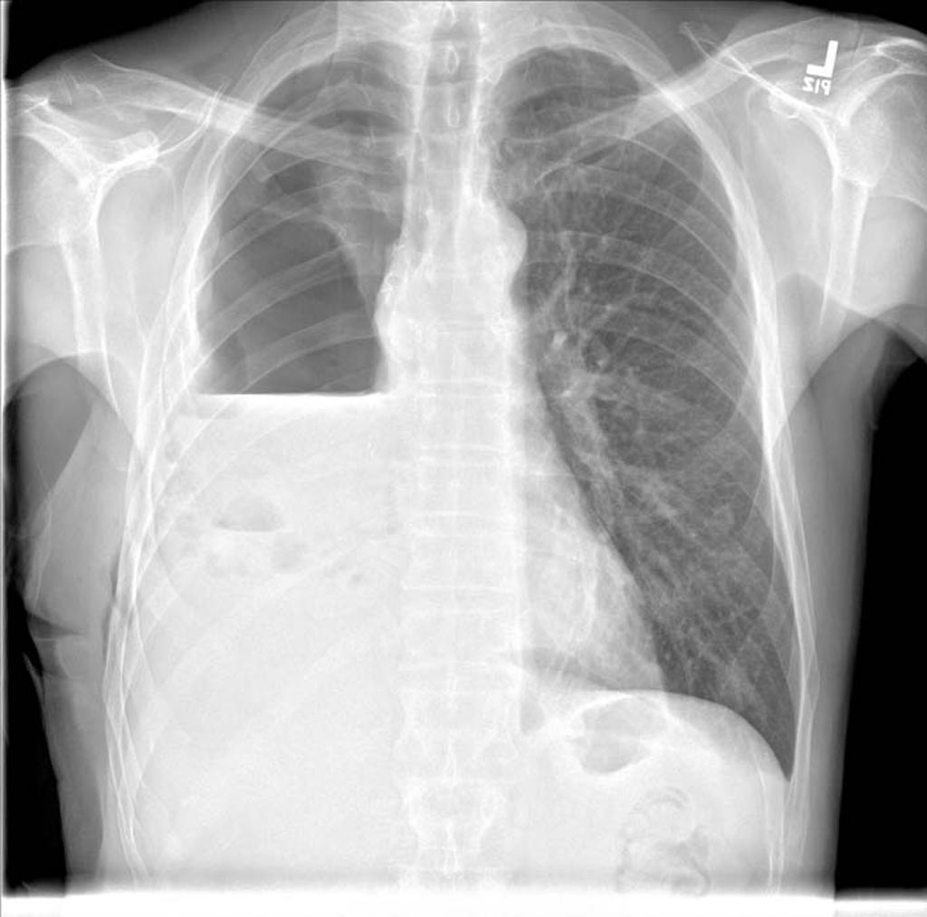
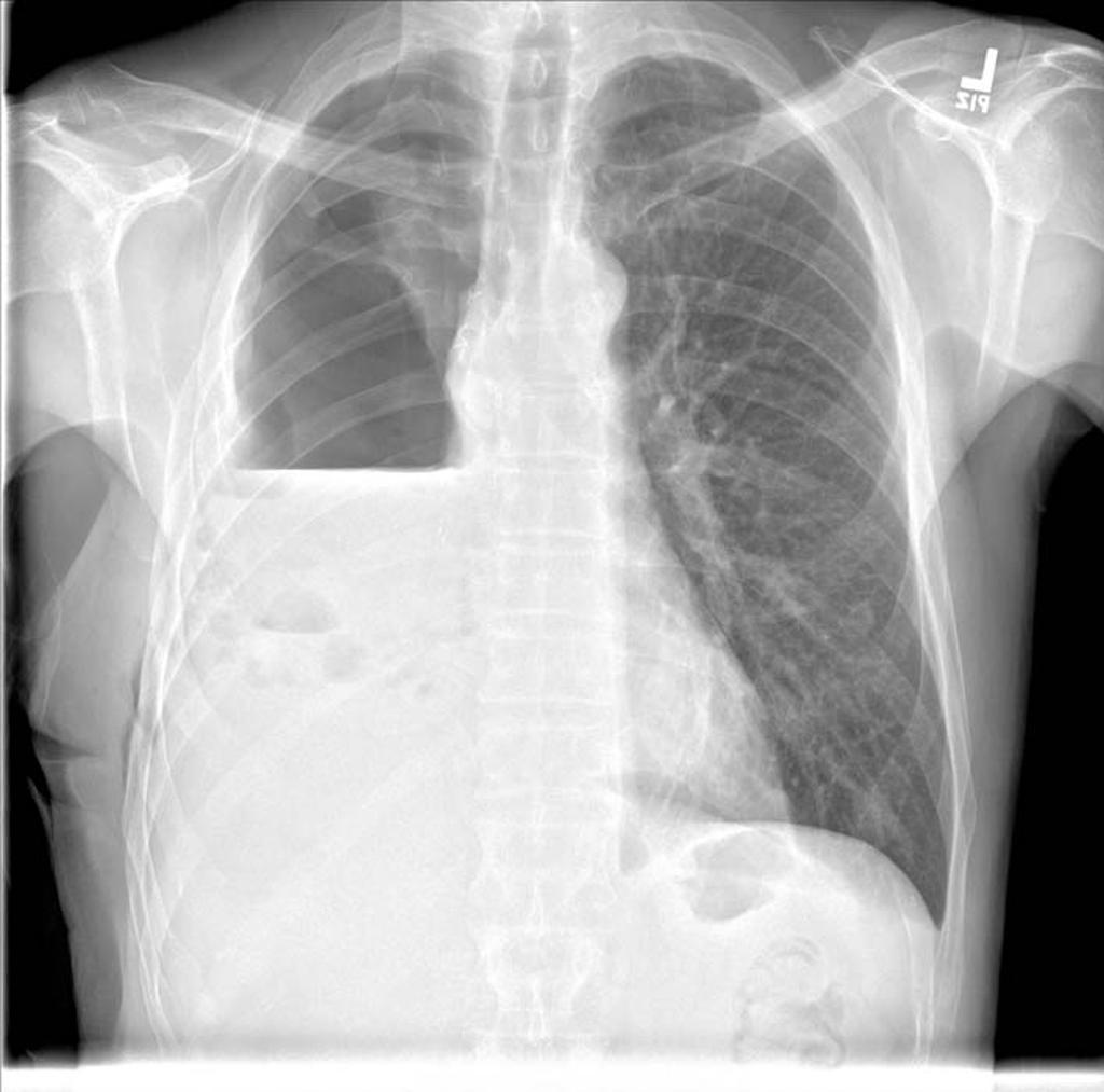
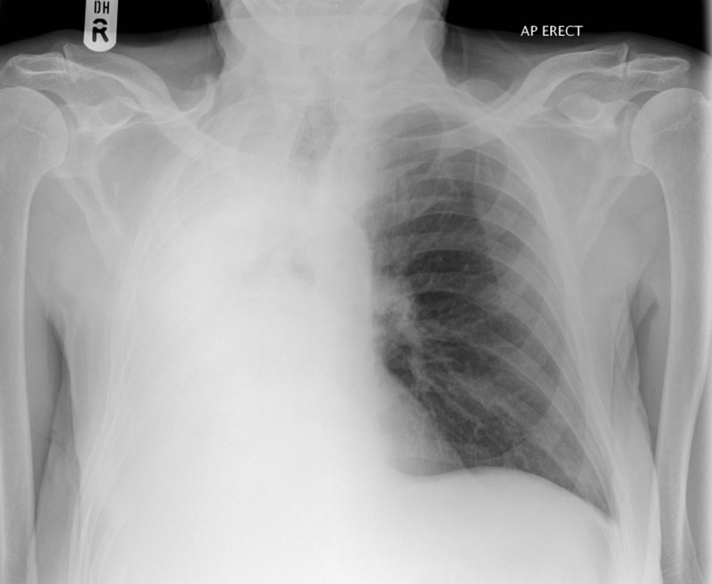
Hydropneumothorax

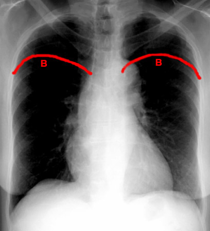
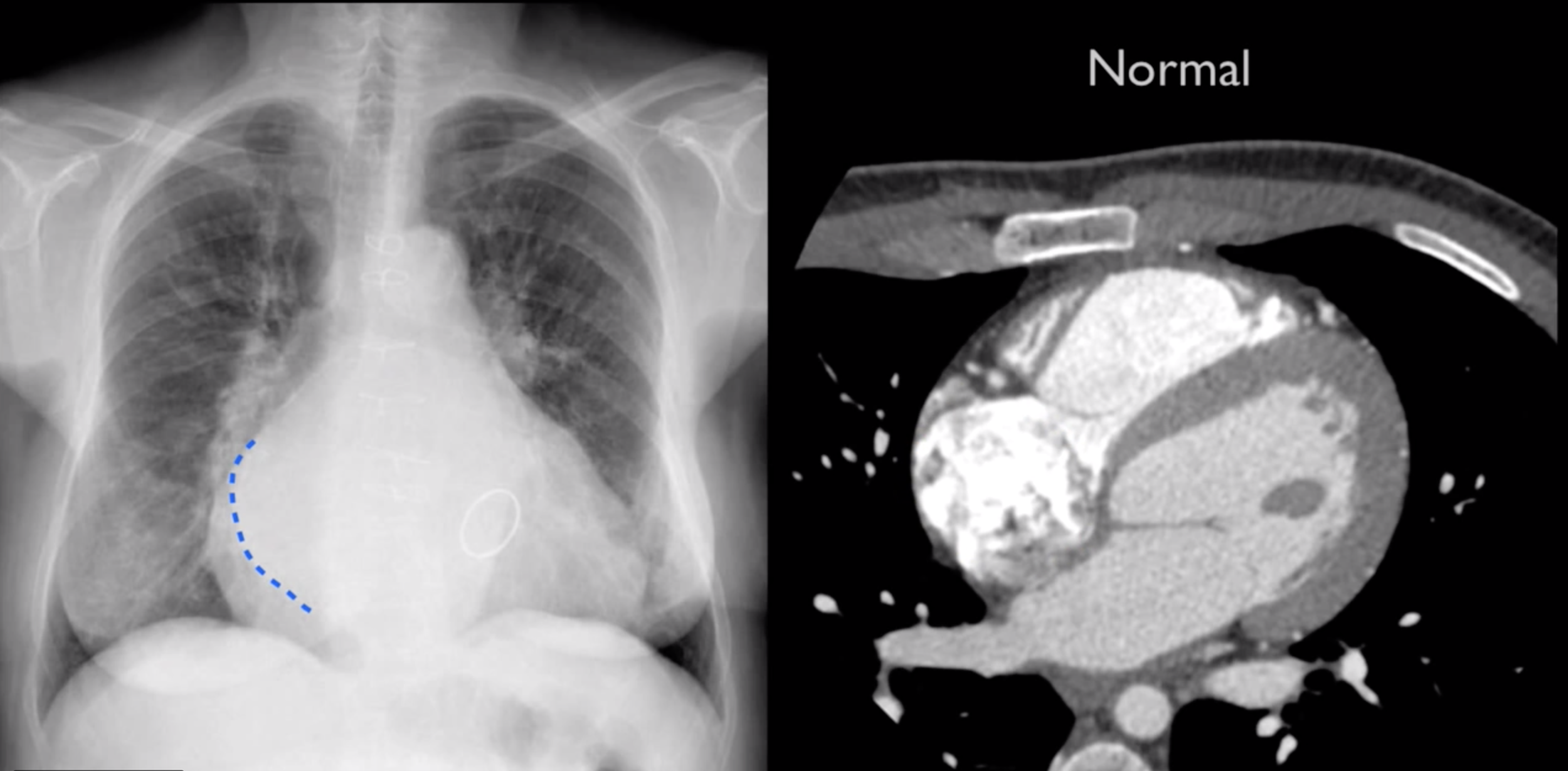
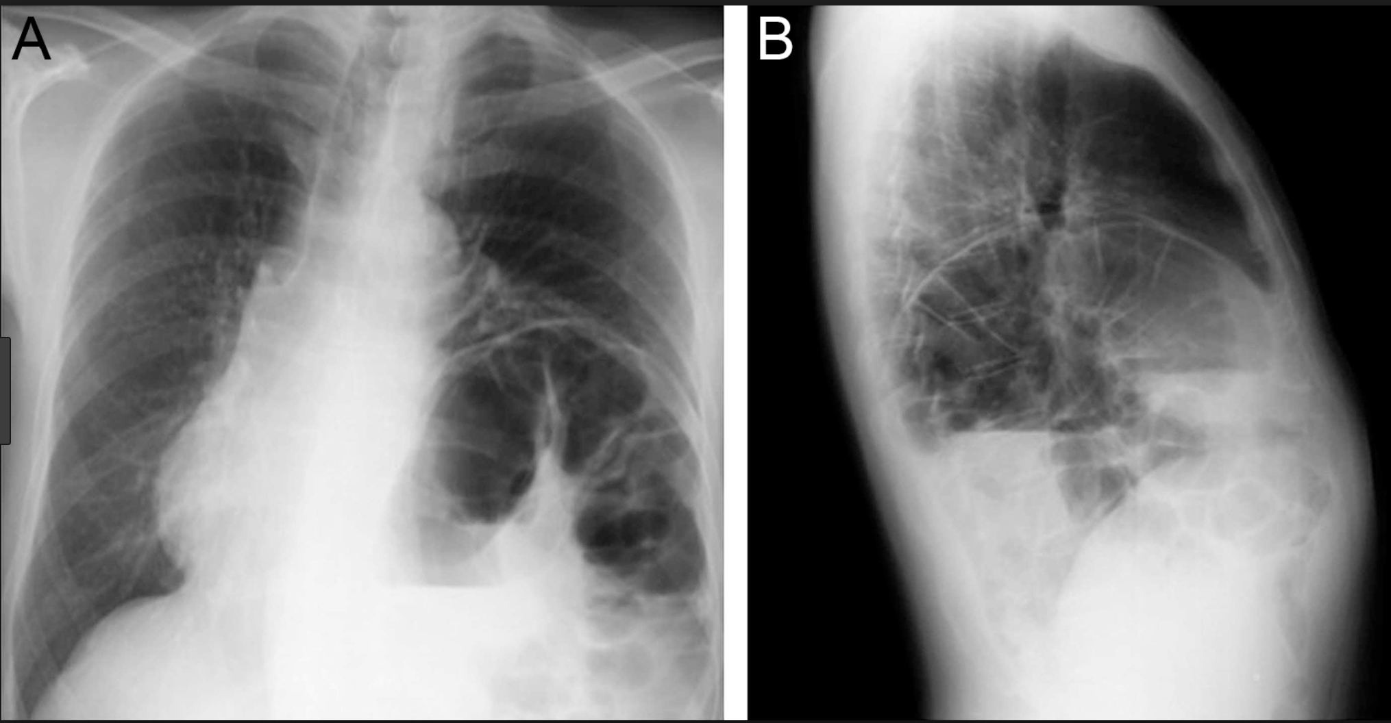
Left Atrial Enlargment

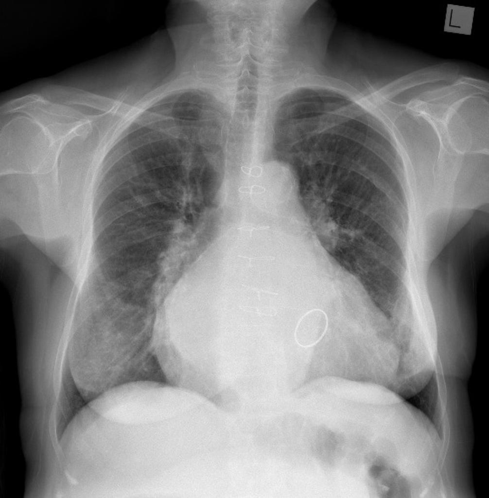
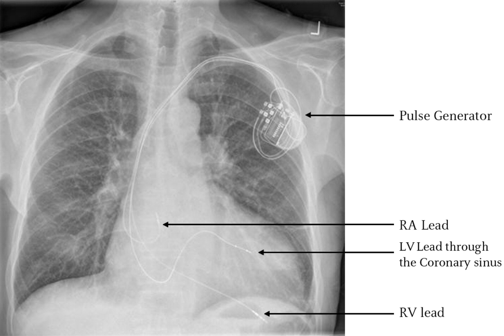
Bonus Points: 75M Chest PainĀ 

Bonus Points: 75M Chest PainĀ 

Morning Report

By Atul Jaidka

Morning Report

cxr rounds 2

  • 80