Morning Report

POCUS CASES

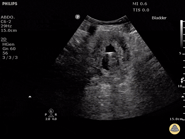
76M: Intubated Foley in, U/o dropped, ?dry

Prolate ellipsoid equation: Volume = Length x Width x Height x 0.52

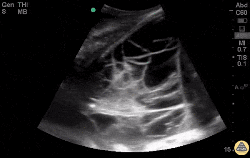
Hydronephrosis

Examples: http://www.thepocusatlas.com/hydro-and-obstruction/

Evidence: https://www.nejm.org/doi/pdf/10.1056/NEJMoa1404446

Tutorial: https://westernsono.ca/screencasts/miscellaneous/hydronephrosis-tutorial/

Start ABx and admit?

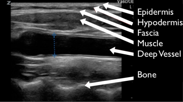
Abscess

Evidence: https://bmjopen.bmj.com/content/7/1/e013688

Tutorial: http://5minsono.com/softtissue/

CEllulitis - CobbleStoning

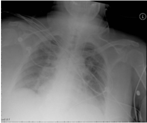
82M BMI 53, SOB, WBC 7.6, Afebrile, ?CHF

Air bronchogram

Evidence: http://www.ncbi.nlm.nih.gov/pubmed/28244009/

Tutorial: https://westernsono.ca/screencasts/lung-ultrasound/

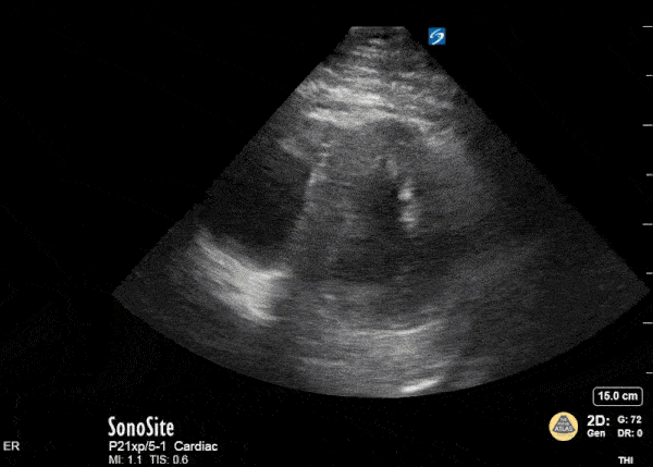
Day 4 Not Improving, Spiking Fevers

Complex Pleural Effusion

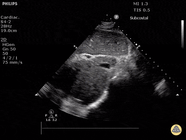
54M smoker + Exertional CP, ?ACS

D Sign + McConnell's Sign

Evidence: https://www.ncbi.nlm.nih.gov/pubmed/26973178

Example: http://www.thepocusatlas.com/right-ventricle

Tutorial: https://westernsono.ca/screencasts/echo/mcconnells-sign-acute-pulmonary-embolism/

76F Prev Breast CA refer for cellulitis but ED +PCE, cardio for urgent ?tap

Which one are you not concerned about?

What's the pulsus?

IVC and Pericardial Effusion

Evidence: http://pocusjournal.com/article/2016-01-03p12/

Example: http://www.thepocusatlas.com/pericardium

Tutorial: https://web.stanford.edu/group/ccm_echocardio/cgi-bin/mediawiki/index.php/Tamponade

IVC plethora – Dilatation and less than a 50 percent reduction in the diameter of the dilated inferior vena cava (IVC) during inspiration, reflecting a marked elevation in central venous pressure, is frequently seen in patients with cardiac tamponade In one report, IVC plethora was associated with pulsus paradoxus and was present in 92 percent of those with pericardial effusion who required pericardial drainage.

It is highly sensitive but not at all specific for cardiac tamponade

Morning Report

By Atul Jaidka

Morning Report

POCUS Cases

  • 94