Lightning talk of Hyperparameter optimization in transfer learning for medical image analysis
By Hanna Borgli
Lightning talk of Hyperparameter optimization in transfer learning for medical image analysis
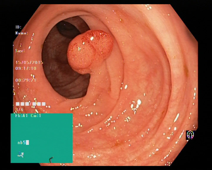
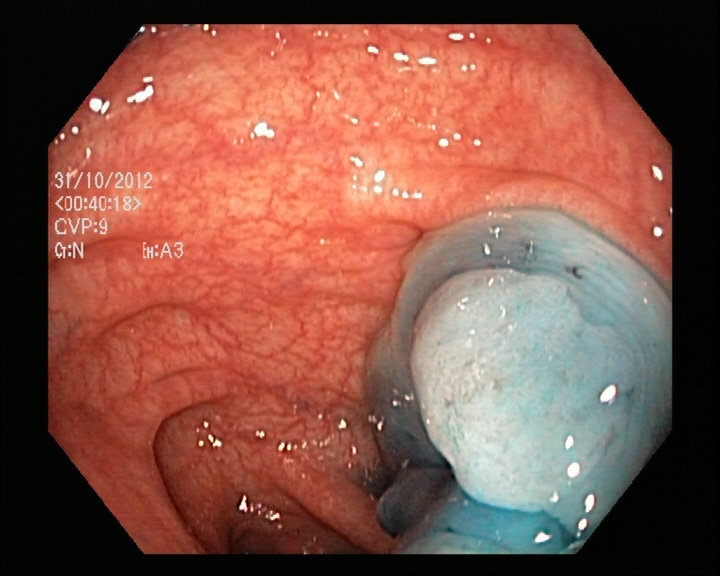
There are different approaches to automatically optimize the hyperparameter configuration. One such solution, also implemented by Google in their cloud engine using Google Vizier, is Bayesian optimization. This is a sequential design strategy for global optimization of black-box functions. Other solutions are grid search, random search, and Hyperband. In this presentation, we will use a framework for Bayesian optimization for tuning the hyperparameters of image object classification models available in Keras being trained with transfer learning on a dataset of medical images of the GI tract.









