Presentations
Templates
Features
Teams
Pricing
Log in
Sign up
Log in
Sign up
Menu
Imaging
ABPA
Allergic bronchopulmonary aspergillosis
Exaggerated response to aspergillus
Most commonly with Asthma or CF
Spores are commonly found in soil and even the sputum of healthy individuals
Airway inflammation leads to bronchiectasis and, if not treated, it can lead to significant scarring
So, how do we diagnose this disease?
It's not entirely agreed upon
Chest X-rays
CT scans
IgE and
eosinophils
Immunological tests for Aspergillus
with staining
and sputum cultures
Treatment, however, is
Steroids
Antifungal medications
Imaging modalities
Chest Xray
CT
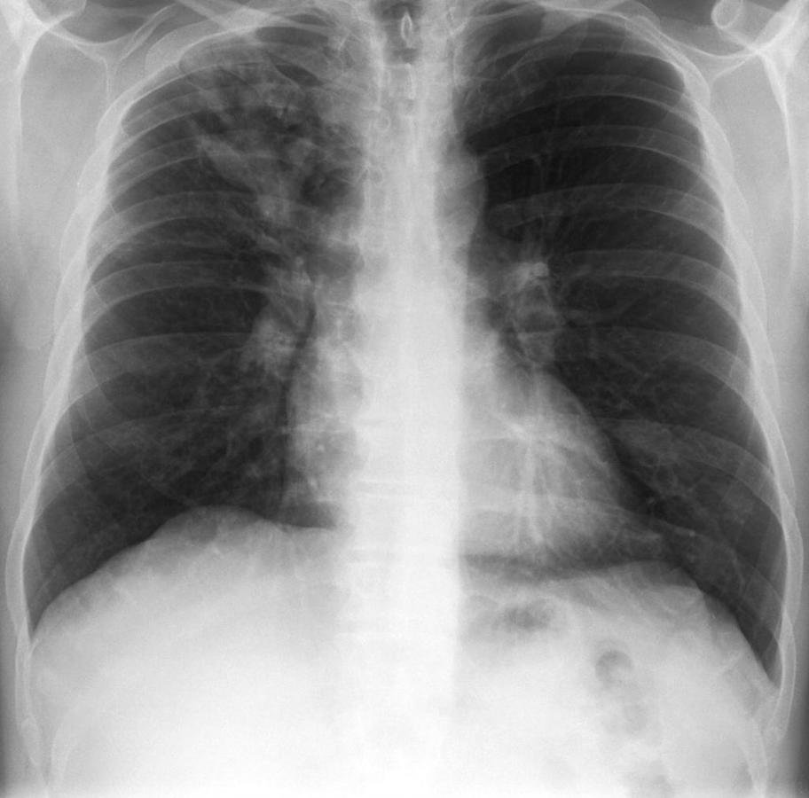
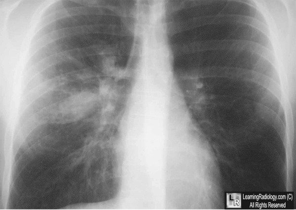
X-Ray
If early, there may be no signs of infection on CXR
Classically, there is consolidation and mucoid impaction
Some notable signs include
Finger-in-glove opacities
"Toothpaste shadows"
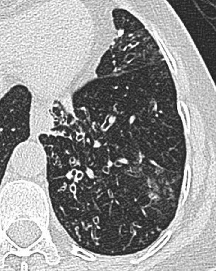
CT
Fleeting alveolar opacities
Centrilobular nodules
High attenuation in impacted mucous
Bronchial wall thickening
Finger in glove
Cylindrical
deck
By dangerousone326
Made with Slides.com
deck
440
dangerousone326
More from
dangerousone326