
Mutações
Organização do Genoma
Uma breve revisão
- O DNA é o material hereditário
- Molécula informacional
- Essas informações são transcritas em RNA e depois traduzidas em proteínas

O que é genoma?
- É o conjunto total da informação hereditária em um organismo
- Ou seja, conjunto completo, incluindo genes e sequências não codificadoras

Organização do Genoma
- A forma como o genoma se organiza depende do tipo de ser vivo
- O DNA pode ser
- Fita simples (exceção presente em alguns vírus )
- Fita dupla (é definitivamente o mais comum)
- A organização do DNA pode ser
- Linear
- Circular
- Obs.:
- O genoma de alguns vírus é feito de RNA
Organização do Genoma


Em procariotos: nucleoide (cromossomo bacteriano) e plasmídeos
Organização do Genoma
Em eucariotos: vários cromossomos e ainda tem o DNA mitocondrial (e do cloroplasto se for vegetal)


E como a informação genética está organizada?
DNA
Sequências intergênicas
E como a informação genética está organizada?
DNA
E como a informação genética está organizada?
DNA
RNA
E como a informação genética está organizada?
DNA
RNA
Exon
Íntron
E como a informação genética está organizada?
DNA
RNA mensageiro

Só éxons
E como a informação genética está organizada?
DNA
RNA mensageiro
Só éxons
Proteína
Uma metáfora

Uma metáfora

Uma metáfora

Uma metáfora

Uma metáfora

Obrigado e até a próxima aula!

Mutações
Mutação

Toda mutação é ruim?

Toda mutação é ruim?
- Mutação significa alteração na sequência do DNA
- Consequências:
- Pode não mudar nada
- Pode mudar quase nada
- Pode piorar a situação
- Pode melhorar a situação
- Vai ser hereditária?
- Depende do tipo de célula em que a mutação ocorre
Somáticas e Germinativas

Pode passar pra prole
Não passa pra prole
Mutações Gênicas e Cromossômicas
Mutações Gênicas
Muda um pequeno número de bases nitrogenadas
Substituição, inserção ou deleção de uma base
Mutações Cromossômicas
Alterações numéricas ou estruturais
Dá pra perceber no microscópio

A Origem dos Alelos
- Gene: um local, um endereço (locus)
- Alelo: diferentes formas que podem ocupar esse endeço
Sequência Intergênica
Sequência Intergênica
A Origem dos Alelos
- Gene: um local, um endereço (locus)
- Alelo: diferentes formas que podem ocupar esse endeço
Sequência Intergênica
Sequência Intergênica
A Origem dos Alelos
- Gene: um local, um endereço (locus)
- Alelo: diferentes formas que podem ocupar esse endeço
Sequência Intergênica
Sequência Intergênica
Alelo 1
A Origem dos Alelos
- Gene: um local, um endereço (locus)
- Alelo: diferentes formas que podem ocupar esse endeço
Sequência Intergênica
Sequência Intergênica
Alelo 1
Alelo 2
A Origem dos Alelos
- Gene: um local, um endereço (locus)
- Alelo: diferentes formas que podem ocupar esse endeço
Sequência Intergênica
Sequência Intergênica
Alelo 1
Alelo 2
Alelo 3
A Origem dos Alelos
- Gene: um local, um endereço (locus)
- Alelo: diferentes formas que podem ocupar esse endeço
Sequência Intergênica
Sequência Intergênica
Alelo 1
Alelo 2
Alelo 3
Alelo 4
Alelo 1
Alelo 2
Alelo 3
Alelo 4
Alelo 1
Alelo 2
Alelo 3
Alelo 4
ATGCAGATTACACACCA...
ATGGACATTACACACCA...
ATGCAGAATACACACCACCAAGG
ATGCAGATTACACACAC...


Você não precisa decorar a tabela abaixo!!!
Obrigado e até a próxima aula!

Mutações
Agente Mutagênicos

Peixim Radioativo?
Mutação Espontânea e Induzida
Mutações Espontâneas
Ocorrem ao acaso.
Por exemplo, erros na replicação, na mitose ou na meiose
Mutações Induzidas
Resulta da exposição a agentes mutagênicos
Por exemplo, exposição à luz UV, radiações ionizantes, agentes químicos
Agentes Mutagênicos - radiação ionizante

- Liberação de elétrons
- Instabilidade do DNA
- Quebras cromossômicas
Agentes Mutagênicos -
luz ultravioleta


Agentes Mutagênicos -
agentes químicos

Base nitrogenada
Molécula Intercalante

Análogos de Base
Agentes Mutagênicos -
agentes biológicos


Obrigado e até a próxima aula!

Mutações
Mutações Cromossômicas
Mutações Cromossômicas

Lote cromossômico
3n, 4n, 8n...
Poucos cromossomos a mais ou a menos
2n + 1, 2n +2, 2n -2...
Um cromossomo perdeu ou ganhou um pedaço

Numérica: euploidia (poliploidia)
Numérica: aneuploidia

Geralmente, acontece por conta da não-disjunção dos cromossomos durante a meiose
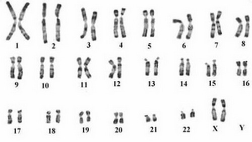
Alguns Exemplos
Trissomia no 21

- É um exemplo de aneuploidia
- 2n + 1 (47 cromossomos)
- Síndrome de Down

Alguns Exemplos
Trissomia do 18
- Síndrome de Edward
Trissomia do 13
- Síndrome de Patau
Klinefelter - XXY
- Cariótipo: 47, XXY
Turner - X0
- Cariótipo: 45, X0
Obrigado e até a próxima aula!
Genética - mutações
By guiadabiologia
Genética - mutações
- 159