Daniel Haehn PRO
Hi, I am a biomedical imaging and visualization researcher who investigates how computational methods can accelerate biological and medical research.
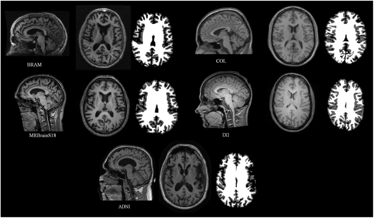
Can we segment one human brain and then apply this output to many human brains?
ENTRYTASK
Edward Gaibor
aka The Discord King
Assignment 1
#feedback
/feedback 1
Michal Depa, MS
Stata Diagnostics
4/29!
Kai Kang, MS, MD, PhD
Etiometry, Inc.
Due 3/4 !
Images are 2D Arrays!
it's all numb3rs but you need to figure out the conventions...
Coding time!
Coding time!
Image Filtering
Input
Output
Kernel
Thresholding
Input
Input > 200
Count
Color
everything < 200 set to 0
everything < 247 set to 0
Histogram
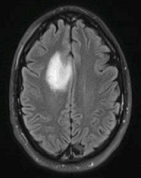
How to segment the tumor?
Binary segmentation mask
Segmentation
means dividing up an image into different structures
foreground vs. background
Label Map
each identified structure has a unique ID
Datatype?
Comparison of Segmentation Techniques
Automatic Segmentation is a hard problem!
so much variability across subjects!
Semi-Automatic Segmentation
user places seeds
Manual Segmentation or Expert Segmentation is the "Groundtruth"
extremely time-consuming
2 Experts worked on this for 6 months
Can we segment one human brain and then apply this output to many human brains?
Can this label map be applied to many different scans?
Yes!
Atlas-based Segmentation
Registration / Alignment
Registration
mapping one subject to a standard space
mapping one image modality to a standard space
once in standard space, we can apply knowledge or compare
Journal
Intro to Research
How to read a paper
How to write a paper
+ 9 Meetings
By Daniel Haehn
Slides for CS666 Biomedical Signal and Image Processing at UMass Boston. See https://cs666.orghttps://cs666.org
Hi, I am a biomedical imaging and visualization researcher who investigates how computational methods can accelerate biological and medical research.