

Cardiac Pacemakers
What my patients need to know before implant
Irina Staicu, MD , RPVI, FACC
Nuclear Cardiology Diplomat
ABVLM Diplomat
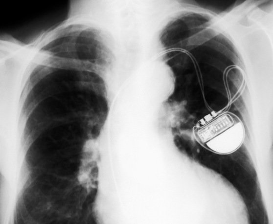
What is a pacemaker and how it works
-
A small device implanted under the skin, designed to mimic the heart's natural pacemaker

-
When the heart natural " battery" becomes depleted , the artificial pacemaker is implanted to take over.
What is a pacemaker and how it works
A Pacemaker has two purposes
-
Pacing- sending an impulse when your own heart rhythm is too slow, " taking over your heart" when needed
-
Sensing- or " monitoring" your heart activity; when you have a normal heart beat, will not deliver an impulse

Your own,normal heart Beat
Longer pause, Pacemaker senses and next, takes over
Pacemaker delivers the impulse
When do you need a Pacemaker
Slower pulse than normal (bradycardia) or pauses > 3 sec

Fainting, Dizziness, Fatigue, Chest pain, Shortness of breath, Palpitations, Decreased stamina
What I tell my patients before implant
-
The P won't prolong your life; will make it safer - no falls, passing out
-
The P improves quality of life; more energy, better stamina
-
Won't correct Atrial Fibrillation; you will still need to take the blood thinners!


-
Your lifestyle wont change after P; will be better by increasing the level of activity
-
Cosmetic scars after implant? You will be satisfied with my skills.
What I tell my patients before implant
Every invasive procedure may result in complications
-
Infections at implant site
-
Allergy to the dye or anesthesia
-
Bruising, Bleeding at incision, if on blood thinners
-
Collapsed lung
-
Heart Perforation
-
Lead dislodgement with second procedure for reinsertion
I always say before procedure:
"Lets work together to avoid any complications; my record so far is great "

Advocate Heart Institute
Chicago Illinois
What my patients need to know before Pacemaker implant
By Irina Staicu
What my patients need to know before Pacemaker implant
Cardiac Pacemakers
- 372