Imaging, Data, and Learning:
Jeremias Sulam
Modern challenges in biomedical datadata science


ISPEED 2025
































Inverse Problems

Micro
Meso
Macro

Imaging, Data, and Learning





Fairness in Data Science


Is the model fair?
\text{TPR}_\text{sex} = \mathbb P [\hat Y = 1 | Y = 1, \text{sex}]



Pneumonia: \(Y=1\)
Clear: \(Y=0\)
95% accurate
\Delta_{\text{TPR}} = {\Large|} \text{True Positives}_\text{males} - \text{True Positives}_\text{females} {\Large|}
Fairness in Data Science

predictions
ground-truth
Does your model achieve a fairness violation of at most (say) 6% ?


Fairness in Data Science




Pneumonia: \(Y=1\)
Clear: \(Y=0\)
95% accurate


Tight upper bounds to fairness violations
(optimally) Actionable
Maximum TPR
discrepancy
True TPR
discrepancy
Bharti, B., Yi, P., & Sulam, J. (2023). Estimating and Controlling for Equalized Odds via Sensitive Attribute Predictors NeurIPS 2023Fairness in Data Science



Pneumonia
Clear
95% accurate


Macro
Meso
Micro

Imaging, Data, and Learning


Micro





Imaging, Data, and Learning
Micro





Macro
Meso


Imaging, Data, and Learning







“The future rewards those who press on.”
B. Obama
Inverse Problems in Neuroscience: Susceptibility Tensor Imaging



6 times faster



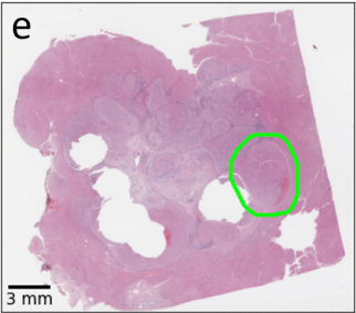
Inverse Problems in Digital Pathology





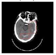
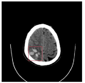
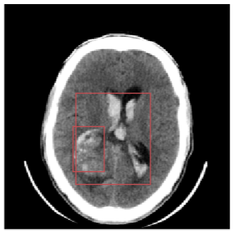
Inverse Problems in Radiology









Opportunity is missed by most people because it is dressed in overalls and looks like work.
T. Edison
ISPEED Sulam Lab and BME Path
By Jeremias Sulam
ISPEED Sulam Lab and BME Path
- 98