CITOPATOLOGIA GINECOLÓGICA
PANORAMA ATUAL
O câncer do colo do útero é o terceiro tumor maligno mais frequente na população feminina (atrás do câncer de mama e do colorretal) (INCA, 2022).
Estimativas de novos casos: 17.010 (INCA,2022)

TÉCNICA DE PAPANICOLAOU
A TÉCNICA DO EXAME PAPANICOLAOU
O EXAME:
Exame preventivo.
Indolor, simples e rápido.
INDICAÇÃO:
Mulheres 25 a 64 anos que já iniciaram vida sexual.
*Pode gerar desconforto
A TÉCNICA DO EXAME PAPANICOLAOU
RECOMENDAÇÕES ANTES DO EXAME PARA A PACIENTE:
- A utilização de lubrificantes, espermicidas ou medicamentos vaginais deve ser evitada por 48 horas antes da coleta.
- A realização de exames intravaginais, como a ultrassonografia, também deve ser evitada nas 48 horas anteriores à coleta.
- O exame não deve ser feito no período menstrual. No caso de sangramento vaginal anormal, o exame ginecológico é mandatório e a coleta, se indicada, pode ser realizada.
A TÉCNICA DO EXAME PAPANICOLAOU
MATERIAL NECESSÁRIO PARA A COLETA
Espaço físico
O consultório ou sala de coleta deve ser equipado para a realização do exame ginecológico com:
a. Mesa ginecológica;
b. Escada de dois degraus;
c. Mesa auxiliar;
d. Foco de luz com cabo flexível;
e. Biombo ou local reservado para troca de roupa;
f. Cesto de lixo.
A TÉCNICA DO EXAME PAPANICOLAOU
MATERIAL NECESSÁRIO PARA A COLETA
Espaço físico

A TÉCNICA DO EXAME PAPANICOLAOU
MATERIAL NECESSÁRIO PARA A COLETA
Lâmina de vidro
Frasco porta lâmina
Luvas descartáveis
Espéculo de Collins
Espátula de Ayre
Escova endocevical
Pinça de Cherron
Gaze
Solução fixadora
Lápis grafite










A TÉCNICA DO EXAME PAPANICOLAOU
Preparação da lâmina e do frasco
- Primeiramente, deve-se identificar a lâmina em que o material da coleta será fixado.
- O frasco em que a lâmina será armazenada após a coleta deve ser preenchido com a solução fixadora de álcool a 95%, garantindo que a lâmina fique completamente submersa.


A TÉCNICA DO EXAME PAPANICOLAOU
Posicionamento da paciente
- O posicionamento correto da paciente na mesa ginecológica é muito importante.
- A posição é de litotomia (paciente em decúbito dorsal), com nádegas junto à borda inferior da mesa de exame, com pernas fletidas, descansando os pés nos estribos (perneira).



A TÉCNICA DO EXAME PAPANICOLAOU
Introdução do espéculo
- Este deverá ser introduzido em sentido longitudinal-oblíquo, com um ângulo aproximado de 45º, no sentido horário (para desviar da uretra), imprimindo delicadamente um trajeto direcionado posteriormente, ao mesmo tempo em que se gira o instrumento em sentido horário, para o eixo transversal.

A TÉCNICA DO EXAME PAPANICOLAOU
Inspeção do colo uterino e parede vaginal:

A TÉCNICA DO EXAME PAPANICOLAOU
Coleta

A TÉCNICA DO EXAME PAPANICOLAOU
Coleta da ectocérvix
O material é coletado com um movimento giratório de 360 graus em torno do orifício cervical, para que toda superfície do colo seja raspada e representada na lâmina.


A TÉCNICA DO EXAME PAPANICOLAOU
Confecção do Esfregaço da Ectocérvice:
Após a coleta, esse material deve ser distendido de maneira uniforme, no sentido transversal, na metade superior da lâmina (próximo da área fosca),previamente identificada com as iniciais da mulher.


A TÉCNICA DO EXAME PAPANICOLAOU
Coleta da Endocérvice:
Esta coleta é realizada com a escova Campos da Paz, também chamada de escova endocervical.
A escova deve ser inserida no orifício externo do colo e girada em um movimento de 90º-180º em sentido horário.
É aconselhável que se realize este movimento rápido para evitar que haja lesão do canal e sangramento, diminuindo a qualidade da amostra


A TÉCNICA DO EXAME PAPANICOLAOU
Confecção do Esfregaço Endocervical:
Colocar o material retirado da endocérvice na metade inferior da lâmina, no sentido longitudinal; distender todo o material sobre a lâmina, de maneira delicada, para a obtenção de um esfregaço uniformemente distribuído, fino e sem destruição celular.


A TÉCNICA DO EXAME PAPANICOLAOU
Coleta tríplice


A TÉCNICA DO EXAME PAPANICOLAOU
Fixação do Esfregaço:
O esfregaço obtido deve ser imediatamente fixado.
Coloca-se a lâmina com o esfregaço dentro do frasco com álcool a 95% em quantidade suficiente para que todo o esfregaço seja coberto ou utilizar spray com solução fixadora.
Fecha-se, então, o recipiente cuidadosamente. Imediatamente após a fixação, a o frasco deve ser embalada, de modo a poder ser enviada ao laboratório para análise.


A TÉCNICA DO EXAME PAPANICOLAOU
Retirada do Espéculo:
O espéculo deve ser retirado com o movimento inverso ao de sua colocação. É necessário fechá-lo, mas não completamente (cuidado para não pinçar as paredes vaginais enquanto se retira o espéculo).
Ao final do exame: Descartar as luvas, auxiliar a mulher a descer da mesa e informá-la sobre a possibilidade de um pequeno sangramento que poderá ocorrer depois da coleta, tranquilizando-a de que cessará espontaneamente.
A TÉCNICA DO EXAME PAPANICOLAOU
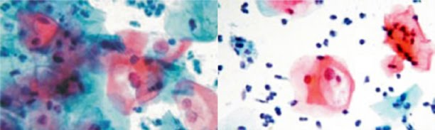
Coloração de Papanicolaou:
O método de Papanicolaou utiliza um conjunto de corantes e tem como objetivo a evidenciação das variáveis na morfologia e dos graus de maturidade e de atividade metabólica celular.
Esse método se baseia nas ações de um corante básico (com afinidade pelo núcleo das células: a hematoxilina), um corante ácido (que se combina com o citoplasma das células queratinizadas: orange G) e um corante policromático (que oferece tonalidades de cores diferentes no citoplasma das células: EA-65).
Coloração de Papanicolaou:
Hidratação: esta etapa requer a reposição gradual da água das células por meio de banhos alcoólicos de concentrações decrescentes até a água destilada.
Coloração nuclear: as células hidratadas podem agora receber um corante aquoso para corar os núcleos (hematoxilina de Harris).
Desidratação: para receber corantes alcoólicos citoplasmáticos, devemos agora retirar a água das células com banhos alcoólicos de concentrações crescentes.
Coloração citoplasmática: nesta etapa, o citoplasma das células é corado pelos corantes orange G e EA-65, de modo a diferenciar com diversas tonalidades o citoplasma das células de acordo com a sua maturidade e metabolismo.
Desidratação, clarificação e selagem: a água agora deve ser retirada com concentrações alcoólicas crescentes, clarificadas e seladas com meios permanentes hidrofóbicos.
A TÉCNICA DO EXAME PAPANICOLAOU
Coloração de Papanicolaou:

Citopatologia ginecológica convencional
X
Citopatologia ginecológica em meio líquido




CITOPATOLOGIA EM MEIO LÍQUIDO



CITOPATOLOGIA - TÉCNICA DE PAPANICOLAOU
By KELLY EMI HIRAI
CITOPATOLOGIA - TÉCNICA DE PAPANICOLAOU
- 1,971