ESCLEROSE MÚLTIPLA E NEUROIMUNOLOGIA
DR. JOSÉ LUIZ INOJOSA
RECIFE

SEM CONFLITOS DE INTERESSE
- Graduado em Medicina pela UFPE
- Neurologista pelo HC-UFPE
- Preceptor e Supervisor da Residência Médica de Neurologia do HC-UFPE
- Chefe do Ambulatório de Doenças Desmielinizantes
- Mestre em Biologia Aplicada a Saúde pelo LIKA-UFPE
- Especialista em Acupuntura
ROTEIRO
- Contexto Histórico
- Epidemiologia
- Sintomas Clínicos
- Diagnóstico
- Imagem
- Fatores de Risco
- Imunologia/Tratamento






Contexto Histórico
Charcot

- Escola Francesa se destacou da Alemã e a da Inglesa na descrição da "Sclèrose en Plaque"
- Em 1865 Charcot descreveu de forma minuciosa o acometimento Cerebral e Espinhal
Contexto Histórico
Charcot

- Os paciente mulheres, estigmatizados como histéricas
- Freud foi aluno de Charcot e participou da famosa aula com a paciente Augustine
- As principais pacientes com EM: foram Alexandrine e a criada de sua casa.


Contexto Histórico
Charcot

- Durante os trabalhos de dissecção de cadáveres foi descrito cicatrizes vistas como massas pálidas no tecido cerebral.


Epidemiologia



Epidemiologia

- Afeta predominantemente caucasianos
- Proporção 2-3 mulheres : 1 homem
- Mais comum entre os 15 e 50 anos
- Mulheres jovens são mais afetadas
- O Brasil tem uma prevalência estimada de 40 mil casos
Definição Atual

- Crônica
- Inflamatória
- Desmielinizante
- Acomete o Sistema Nervoso Central
- Considerado um distúrbio da Autoimunidade
- Interação de complexos fatores genéticos e ambientais
Células da Glia


Células da Glia




Oligodendrócito

Resultado da Inflamação

- Sintomas Clínicos

Visuais
- Perda visual com dor ocular
- Visão dupla
- Dificuldade de visão para cores (Discromatopsia)
- Sintoma inicial comum


- Sintomas Clínicos




- Sintomas Clínicos

Força e Sensibilidade
- Paresias ou Paralisias
- Alterações do Tônus
- Disestesias
- Dormências
- Dor

- Sintomas Clínicos
Força e Sensibilidade
- Paresias ou Paralisias
- Alterações do Tônus
- Disestesias
- Dormências
- Dor


- Sintomas Clínicos
Força e Sensibilidade
- Paresias ou Paralisias
- Alterações do Tônus
- Disestesias
- Dormências
- Dor


- Sintomas Clínicos

Incoordenação
- Ataxia
- Tremor
- Fala
- Deglutição


- Sintomas Clínicos


- Sintomas Clínicos

Disfunções Vesicais e Sexuais
- Incontinência Vesical
- Incontinência Fecal
- Impotência
- Dor perineal

- Sintomas Clínicos



- Sintomas Clínicos

Fadiga e Sintomas Cognitivos
- Fadiga
- Depressão
- Alterações de Memória
- Disfunções executivas

- Sua forma mais comum é ocorrer em surto e remissão; ocorre um ataque agudo com recuperação total ou parcial
- Diagnóstico diferencial amplo
- É um diagnóstico de exclusão e presunção
- Não existe um marcador biológico exclusivo de Esclerose Múltipla
Comportamento da Esclerose Múltipla
- Como Suspeitar de uma doença que é Múltipla e pode, teoricamente, manifestar qualquer sintoma do SNC, cujos sinais podem aparecer e desaparecer por meses ou anos?
Comportamento da Esclerose Múltipla
A Resposta está na pergunta: é exatamente por esse padrão de multiplicidade de sintomas em forma de surto e remissão que presumimos ser Esclerose Múltipla
- Realizado Exames de Imagem
- Extenso exame laboratorial de condições que podem simular Esclerose Múltipla + LCR
- Exames eletrofisiológicos ( Potencial Evocado Visual)
Diagnóstico Diferencial



Diagnóstico Diferencial

- Questionar sintomas prévios aos atuais
- Se já passou dias sem escrever
- Se já apresentou dormências nos membros
- Se já apresentou dificuldade para urinar
- Se apresentou grandes períodos de vertigem
- Se sente choque no corpo ao fletir o pescoço
Sinal de Lhermite
Coleta da História Clínica
Fenômeno de Uhthoff
Sinal de Lhermite
Coleta da História Clínica


Fenômeno de Uhthoff
Coleta da História Clínica


Esses dados servem para caracterizar uma disseminação no Tempo e Espaço
Coleta da História Clínica



São necessários dois eventos clínicos com duração de mais de 24 hora, na ausência de febre e distantes entre si por 30 dias
São necessárias evidências de que a enfermidade acometeu pelo menos 2 áreas diferentes do SNC
Critérios de McDonald 2017
Coleta da História Clínica




Formas Clínicas

Como o SNC é atacado?

Teoria do Santuário Imunológico
Como o SNC é atacado?



Como o SNC é atacado?


Fatores de Risco

GENÉTICOS
- HLA DRB1*1501
AMBIENTAIS
- SOROLOGIA PARA EPSTEIN-BAAR
- OBESIDADE NA ADOLESCÊNCIA
- TABAGISMO
- MICROBIOTA
- FALTA DE EXPOSIÇÃO SOLAR/ VITAMINA D
Fatores de Risco

GENÉTICOS
- HLA DRB1*1501
- São formas Familiares, não se investiga de rotina
- A concomitância da doença em gêmeos monozigóticos é muito baixa
- Depende muito mais de Fatores Epigenéticos

Fatores de Risco

GENÉTICOS
- HLA DRB1*1501

Fatores de Risco

AMBIENTAIS
- SOROLOGIA PARA EPSTEIN-BAAR
- OBESIDADE NA ADOLESCÊNCIA
- TABAGISMO
- MICROBIOTA
- FALTA DE EXPOSIÇÃO SOLAR/ VITAMINA D

VÍRUS EPSTEIN BAAR


- 99% dos pacientes com EM possuem IgG positivo em altos títulos
- EBV cria polimorfismos em fatores de transcrição inflamatórios
- Com o tempo consegue invadir diferentes tecidos celulares
- Perpetuar respostas imunes agressivas
- Cronificar a atividade das células B CD20

TABAGISMO

- O fumo induz a produção de uma proteína chamada Nirjuína
- A Nirjuína habilita o linfócito ativado a se ancorar na Barreira Hemato-Encefálica e chegar ao SNC
- Fator de Risco conhecido para aumento de surtos clínicos
- É orientada a parada total do fumo
Microbiota e EM


Microbiota e EM


Vitamina D e EM

Ativação da Vitamina D

Vitamina D e EM

É um hormônio e atua como fator de transcrição


Linfócitos de linhagem menos agressiva
Vitamina D e EM

A Vitamina D regula a eficácia dos sistemas de defesa e também o seu equilíbrio

Agentes patogênicos
- EPSTEIN-BAAR
- M. tuberculosis
- M. leprae
- Aspergilus fumigatos
- Porfiromonas gengivalis
BLOQUEIAM OS RECEPTORES DE VITAMINA D
Vitamina D e EM



Vitamina D e EM




Vitamina D e EM


E se o paciente se mudar de região?
Se o paciente se muda até os 15 anos ele adquire o risco daquela região
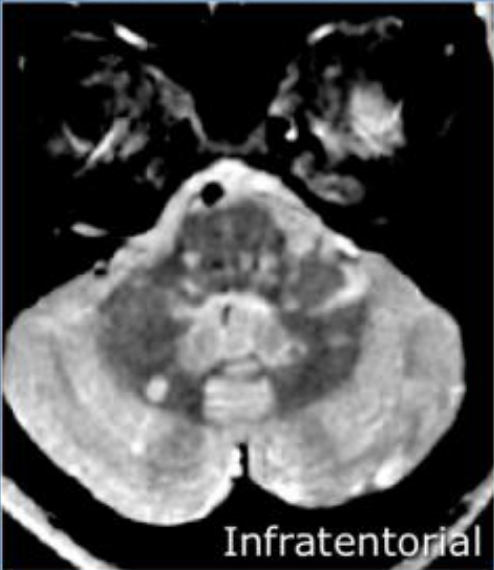
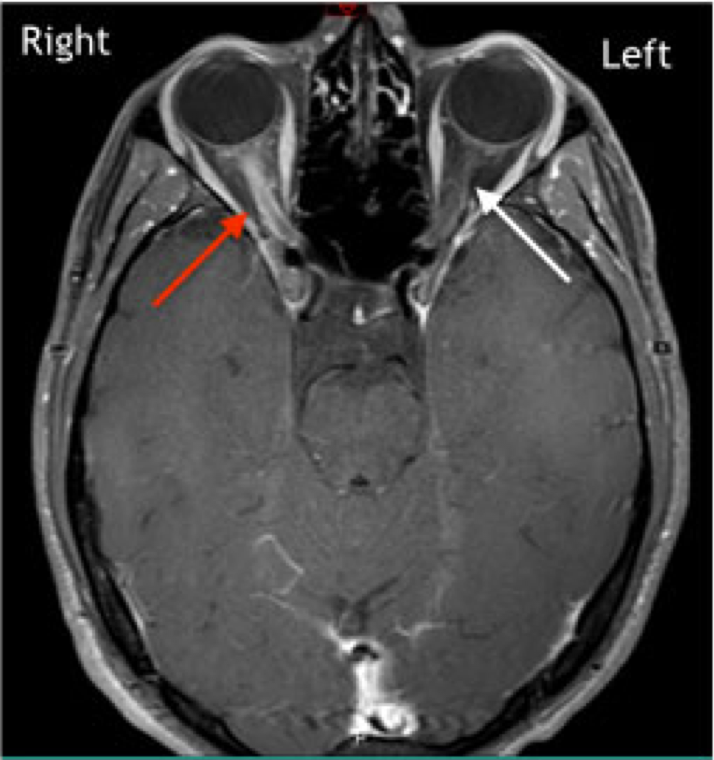
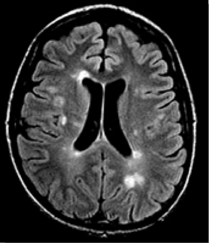
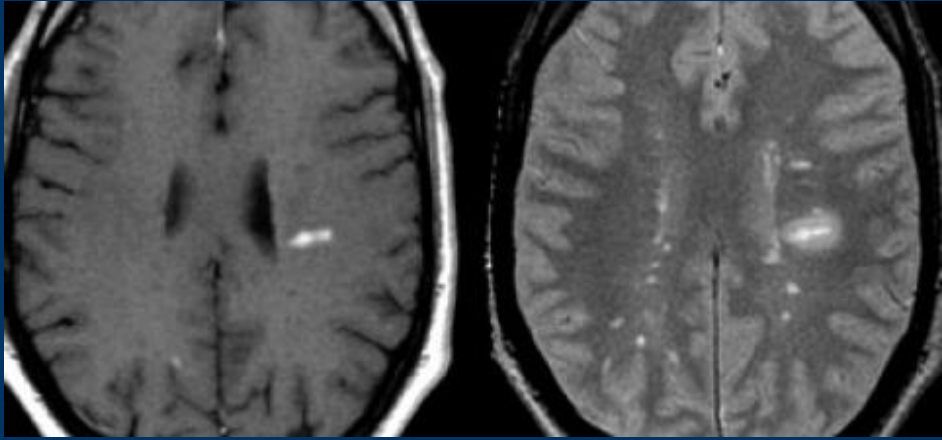
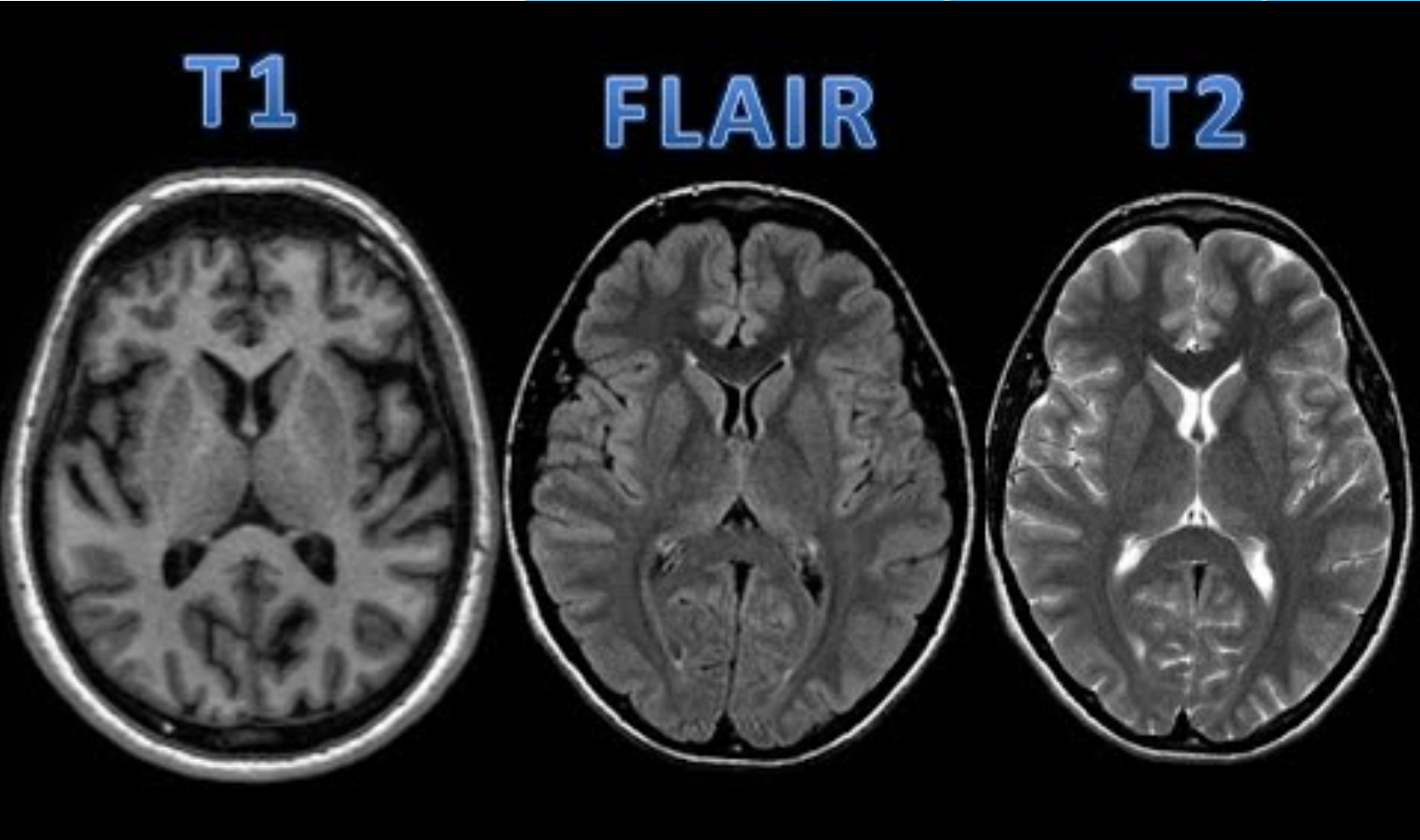
Exames de Imagem


Exames de Imagem

incluir as imagens e as caracteristicas de em

Exames de Imagem


Tratamento
Tratamento do Surto Agudo


Tratamento
Drogas Modificadoras da Doença


Tratamento
Drogas Modificadoras da Doença

Beta Interferonas
Acetato de Glatiramer

IMUNOLOGIA

IMUNOLOGIA

IMUNOLOGIA

IMUNOLOGIA

IMUNOLOGIA

IMUNOLOGIA

IMUNOLOGIA

IMUNOLOGIA

IMUNOLOGIA

Tratamento
Drogas Modificadoras da Doença

Fingolimode
Fumarato de Dimetila
Teriflunomida

IMUNOLOGIA

Tratamento
Drogas Modificadoras da Doença

Tratamento
Drogas Modificadoras da Doença

Natalizumabe

IMUNOLOGIA

NATALIZUMABE



Infusão Mensal de 300mg
Hemograma mensal
Sorologia JC semestral
NATALIZUMABE
Natalizumabe

NATALIZUMABE
Natalizumabe

NATALIZUMABE
Natalizumabe

Tratamento
Drogas Modificadoras da Doença

Ocrelizumabe
Alemtuzumabe
Mavenclad
Ofatumumabe

OCRELIZUMABE
Atua em quais linhagens?


OCRELIZUMABE
Papel dos linfócitos B na Esclerose Múltipla
- Participam da ativação de linhagem agressivas de linfócitos T
- Estão envolvidas na produção de citocinas
- Participam da formação de estruturas como nichos/folículos ectópicos
- Mantem a produção de anticorpos intratecais



ALEMTUZUMABE
Mecanismo de Ação

Tratamento
Drogas Modificadoras da Doença


Tratamento
Drogas Modificadoras da Doença


ALEMTUZUMABE
Mecanismo de Ação

Tratamento


E Cannabis?
No Brasil é aprovado o uso de cannabis medicinal
- Melhora a espasticidade de alguns pacientes
- Melhora a fadiga



Escala Expandida de Incapacidade
EDSS
Questões motoras
Fadiga
Depressão
Vertigem
Problemas Visuais
Distúrbios Esfincterianos
...
Esclerose
Múltipla
Reabilitação
Antidepressivos
Antivertiginosos
Neuroftalmologista
Urologista
Fisioterapia
Fonoterapia
Nutricionista
Equipe Multi
Clínica da Dor
Anti-tabágicos
DMD
Considerações
- Desenvolver o sistema de crenças
- Reforço positivo
- Relação saudável de confiança
- Estar aberto a tirar dúvidas dos pacientes quanto a novas terapias
Considerações
Estimular práticas Esportivas
Meditativas
Terapias psicológicas
Terapias corporais
Acupuntura
Massagem
OBRIGADO

Esclerose Múltipla Lanne ufpe
By luizmiranda108@hotmail.com
Esclerose Múltipla Lanne ufpe
- 96