reciverende insulten

M. Oranje

Casus

♀ IJ 77 jaar

Aanmelding huisarts
Voorgeschiedenis

Sinds 1 uur

'vreemd reageren' (volgens man)

Beeld van wortsalat

Kan alleen nog 'ja' en 'okee'
antwoorden

COPD, hypertensie

Lichamelijk onderzoek

RR 174/94, glucose 7,6

E4M5(begrijpt opdracht niet)V3, helder, vloeiende afasie, geen dysartrie

HZ: Isocore pupillen, OVB intact, geen parese gelaatsmusculatuur.

M: symmetrisch, niet te testen ivm afasie.

S+C ntb.

R: symmetrisch verlaagd, VZR Babinski bdz.

Casus

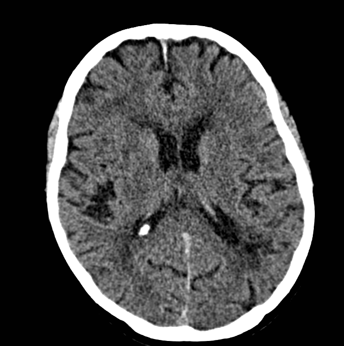
Aanvullend onderzoek

Oude, met name periventriculaire, afwijkingen, links meer dan rechts, met opvallend oude infarcering links parieto-occipitaal. Geen bloeding

AF (de novo), 72/min, geen tekenen van acute ischemie

WAT NU?

CASUS

 

Mevr IJ is buiten bewustzijn, en heeft daarbij trekkingen van armen en benen en een verhoogde tonus van de spieren.

Vervolg

WAT NU?

POST-STROKE Epilepsie

 

Incidentie insult na CVA 7%-9%

Incidentie PSE 2,5-5%

Incidentie
Type insult

33% Gegeneraliseerd insult

66% Partieel insult

Oorzaak

Insult na ischemisch CVA 5%
Insult na hersenbloeding 10%
Insult na CVA met corticale betrokkenheid 15%

Typen PSE

Early-onset of acuut symptomatische aanval

Late-onset of laat symptomatische aanval

(1,2,3)

Profylaxe?

 

Profylactisch behandelen met anti-epileptica bij patiënten met een herseninfarct, intracerebrale bloeding of subarachnoïdale bloeding wordt ontraden

Advies Richtlijn Epilepsie NVN
  • Geen bewijs voor het voorkomen van eplepsie met anti-epileptica
  • De nadelen van profylactische behandeling, zoals bijwerkingen en nadelige effecten op het herstel na de beroerte, wegen niet op tegen de eventuele profylactische werking.
Uitleg
(4)

Pathofysiologie

Excitatie

Epilepsie

Inhibitie

Na+
Ca2+
Na+
Ca2+

Pathofysiologie

Acute post-stroke epilepsie

Verhoogd intracellulair Na+ en Ca2+

Glutamaat excitotoxiciteit

Hypoxie

Hemosiderine deposities 

(5)

BEHANDELING

Behandelen of afwachten?

Mevr IJ
Richtlijn
  • Behandel pas bij recidief
  • Behandel 6 weken tot 3 maanden
(4)

Pathofysiologie

Neuronale excitatie

Late post-stroke epilepsy

Gliotisch littekenweefsel

(5)

Behandeling

Late-onset

Piek na 6 tot 12 maanden

Heel hoge recidief kans

Medicatie 
focaal insult
(4)

1e keus carbamazepine, lamotrigine of levetiracetam en evt. ook oxcarbazepine en valproaat

Medicatie gegeneraliseerd insult

1e keus levetiracetam of valproaat bij tonisch-klonisch insult met myoclonieen

1e keus als er geen myoclonieen zijn is lamotrigine of bovenstaande

Behandeling

(6)

Recidieven

Kenmerken

  • Fatische stoornissen
  • Bewustzijnsdaling
  • Braken
  • Uitval rechter lichaamshelft (Toddse parese)
jan 2014
aug 2016
jan 2016
jan 2015
Vervolg

Meestal partieel maar ook gegeneraliseerde insulten

Hyponatriemie!

Behandeling

Levetiracetam 2dd 1250mg

Valproaat 2dd 500mg

Prognose

Corticale lokalisatie

Infarctgrootte

Ernst van neurologische uitval

Beïnvloed door
Met Behandeling

70% van de ouderen aanvalsvrij met medicatie

(3,4,7,8)

33% procent op recidieven na een vroeg initeel insult

43%-93% procent heeft 1 of meer recidieven na het initiële late insult

Early vs Late-onset

2,5%-11.5% kans om een of meerdere insulten te hebben gehad na 5 jaar

Basispopulatie

LITERATUUR

  1. Zou S, Wu X, Zhu B, Yu J, Yang B, Shi J. The pooled incidence of post-stroke seizure in 102 008 patients. Top Stroke Rehabil. 2015;22(6):460-7.
  2. Bladin CF, Alexandrov AV, Bellavance A, et al. Seizures after stroke: a prospective multicenter study. Arch Neurol. 2000;57(11):1617-22.
  3. Myint PK, Staufenberg EF, Sabanathan K. Post-stroke seizure and post-stroke epilepsy. Postgrad Med J. 2006;82(971):568-72.
  4. NVN Richtlijn Epilepsie http://epilepsie.neurologie.nl/
  5. Silverman IE, Restrepo L, Mathews GC. Poststroke Seizures. Arch Neurol.2002;59(2):195-201.
  6. http://www.uptodate.com/contents/antiseizure-drugs-mechanism-of-action-pharmacology-and-adverse-effects
  7. http://www.uptodate.com/contents/treatment-of-seizures-and-epilepsy-in-older-adults
  8. Hesdorffer DC, Benn EK, Cascino GD, Hauser WA. Is a first acute symptomatic seizure epilepsy? Mortality and risk for recurrent seizure. Epilepsia. 2009;50(5):1102-8.

Insult to injury

By Martien Oranje

Insult to injury

  • 851