Lungs diseases
Lungs cancer
- Nowadays the incidence is increasing;
- A growth develops in the wall of the bronchial tubes
↓
breathing becomes more difficult
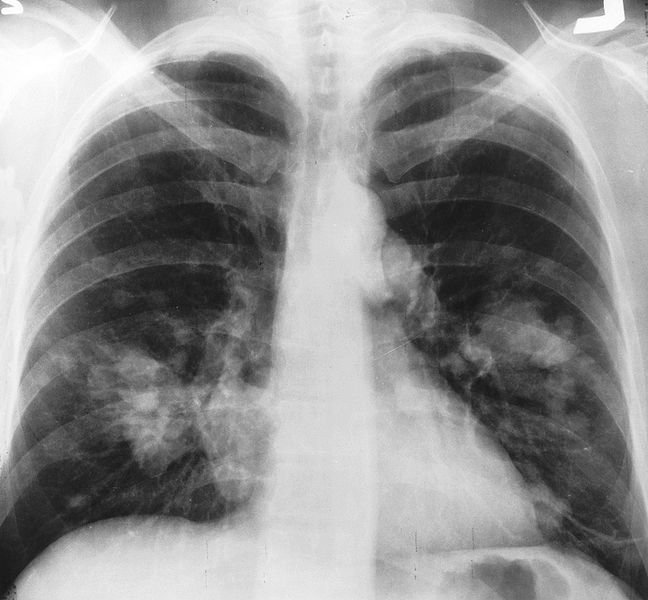
X-Ray

Lungs cancer
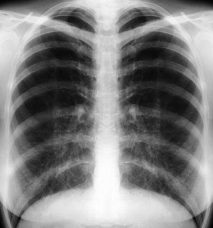
Healty lungs

Smoking and cancer
Smoking →more incidence of lungs cancer


Smoking and other diseases
Chronic bronchitis = infection of trachea and bronchial tubes;
Emphysema = break of alveoli wall
↓
cancer of organs

Nicotine
Chemical substance: goes into the blood
↓
- stimulates the brains and relaxes muscles
- rises blood pressure
- increases fatty subseances in the blood

Smoking and society
- In the UK 60/70 thousand of people die of lung cancer, chronic bronchitis and emphysema every year.
- The lung cancer is more common in people who live in towns than in the countryside.


Hay fever and asthma
- Hay fever: is the reaction to pollen.
People can be allergic to all sort of things and you can find it with a skin test.
- Asthma: the muscles in the wall of the bronchioles contract, so the tubes get narrower.
↓
makes the breathe difficult

lung diseases
By vassiliadisstefania
lung diseases
- 727