Presentations
Templates
Features
Teams
Pricing
Log in
Sign up
Log in
Sign up
Menu
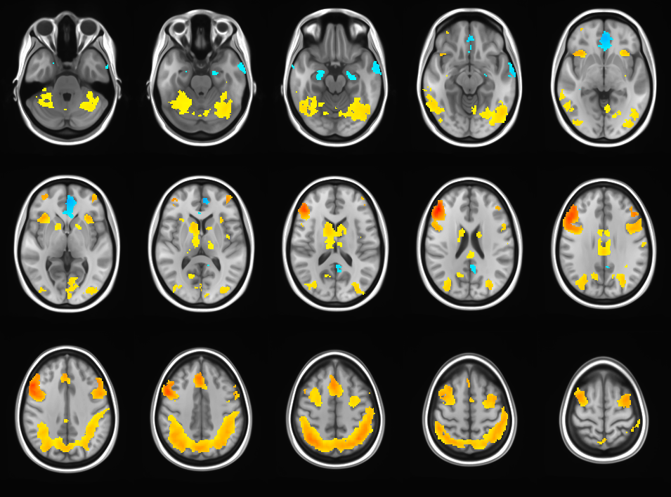
Functional Magnetic Resonance Imaging
How does it work?
fMRI machines detect changes in blood oxygenation and blood flow that occurs in the brain as a result of neural activity.
When different areas of the brain are active, they require more blood flow (for oxygen)- this is the haemodynamic response.
What does it show?
fMRIs produce 3D images showing which part of the brain is active.
When would you use it?
for soft tissues (i.e. brain)
research into internal mental processes (i.e. memory/localisation of function of the brain)
NO claustrophobia
NO metal in their bodies (e.g. pacemaker)
Strengths!
NO radiation (unlike PET scans)
Non-invasive
Risk-free
High spatial resolution (mm)
Weaknesses
Expensive
Poor temporal resolution (5-second lag)
Requires to be very still during scan
Only measures bloodflow- not individual neuron activity
deck
By Zubiya Burney
Made with Slides.com
deck
403
Zubiya Burney
More from
Zubiya Burney