Apex

Abnormalities

| Atul Jaidka |

Case

Anatomy

Normal Anatomy

  • Apical thinning
  • Trabeculations
  • False cords/tendons

Imaging

  • Seen best in the apical windows (4/2/3) and parasternal short axis
  • Imaging greatly improved with contrast

LV Tumour/Endocarditis

will skip, covered recently

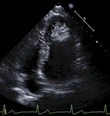
LV Thrombus

Features:

  • regional wall motion abnormality
  • apical location
  • distinct margin with jagged edges
  • movement separate from the underlying endocardium
  • higher echo density as compared with the myocardium

Mimic

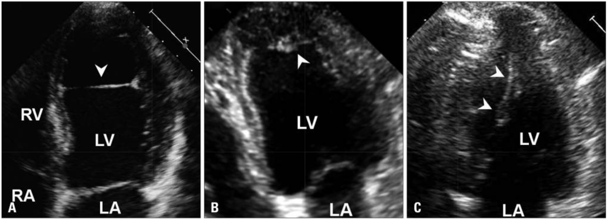
False Tendon

  • Found in over 50% of LV in autopsy studies
  • Unlike trabeculations, they traverse the LV cavity
  • Echo free space on both sides
  • Taut in diastole, laxe in systole
  • Can have broad base attachment
  • Can rupture in MI or spont

https://www-sciencedirect-com.proxy1.lib.uwo.ca/science/article/pii/S0894731713001764?via%3Dihub

LV Bands

False Tendon

Muscular Band

Papillary Muscle

https://www.ncbi.nlm.nih.gov/pmc/articles/PMC3816159/

https://www.sciencedirect.com/science/article/pii/S2468644120300931

Loefflers

  • 3 stages: necrotic (generally cannot see on TTE), thrombotic, and fibrosis (restriction and HF)
  • Hallmark is apical obliteration of LV and or RV
  • Clues: normal apical wall motion (vs isolated LV thrombus), hypereosinohilia, and valve involvement
  • Can mimic isolated LV thrombus and apical HCM

https://www.ncbi.nlm.nih.gov/pmc/articles/PMC7520398/

https://www-sciencedirect-com.proxy1.lib.uwo.ca/science/article/pii/S0894731720305940?via%3Dihub

Apical HCM

  • "Spade-like" LV cavity on diastole
  • Can have apical wall motion abnormalities (hypokinesis and aneurysm formation)
  • Early dx can be missed (giant negative t waves are a clue)
  • Strain may demonstrate apical dyskinesia
  • Mid-cavity obliteration and gradient may be present

Mimic

Apically Displaced Papillary Muscle

Text

https://onlinelibrary.wiley.com/doi/epdf/10.1111/echo.14895

https://onlinelibrary-wiley-com.proxy1.lib.uwo.ca/doi/full/10.1111/echo.12900

Fabrys

  • Concentric thickness is most common phenotype
  • Asymmetric septal hypertrophy, eccentric hypertrophy, and apical hypertrophy also possible
  • HCM cohorts, up to 12% diagnosed as Fabrys
  • Should be on differential for HCM or unexplained hypertrophy
  • Abnormalities in the atria, valves, aorta, and papillary muscles can also be seen

https://www-sciencedirect-com.proxy1.lib.uwo.ca/science/article/pii/S0894731718300415?via%3Dihub#bib20

Fabrys

https://www-sciencedirect-com.proxy1.lib.uwo.ca/science/article/pii/S0894731718300415?via%3Dihub#bib20

  • Binary Sign: "hyperechogenic endocardial surface adjacent to a relatively hypoechogenic subendocardial layer"

Non-Compaction

  • Multiple criteria exist
  • Jenni:
  • Thick non-compacted and thin compacted layer (>2:1)
  • Flow in the intertrabeculated recess
  • Prominent trabecular mesh

https://www-internationaljournalofcardiology-com.proxy1.lib.uwo.ca/article/S0167-5273(14)02384-5/fulltext

https://www-internationaljournalofcardiology-com.proxy1.lib.uwo.ca/article/S0167-5273(14)02384-5/fulltext

Mimic - Hypertrabeculation

  • One study showed 18% of athletes have an increased LV trabeculation and 8% fulfilling the conventional criteria for LVNC
  • Especially in African/Afro-Carribean athletes
  • Longitudinal study needed

Back to the Case

LV Thrombus post Anterior MI

Thank you

Apex Abnormalities

By Atul Jaidka

Apex Abnormalities

  • 144