Quality Assurance Rounds

Echocardiolography | Atul Jaidka

Imaging

  • TTE (pre-diagnosis/intervention)
  • TEEĀ  (pre-diagnosis/intervention)
  • Presenting both together, per valve

Ventricles

Left Ventricle

  • Normal function, EF 63%
  • Mildly dilated by volume
  • D shaped appearance

TTE

Left Ventricle

  • Normal function, EF 63%
  • Mildly dilated by volume
  • D shaped appearance

TTE

Right Ventricle

  • Normal size and function

TTE

Valves

Aortic Valve

TTE

Aortic Valve

TEE

Aortic Valve

TEE

Aortic Valve

  • Tricuspid and thickened valve
  • RCC thickened and immobile
  • Moderate regurgitation, no stenosis

TEE

Mitral Valve

TTE

Mitral Valve

TTE

Mitral Valve

TEE

Mitral Valve

TEE

  • Immobile PMVL
  • Mild thickening of subchordal apparatus
  • Severe regurgitation, no stenosis

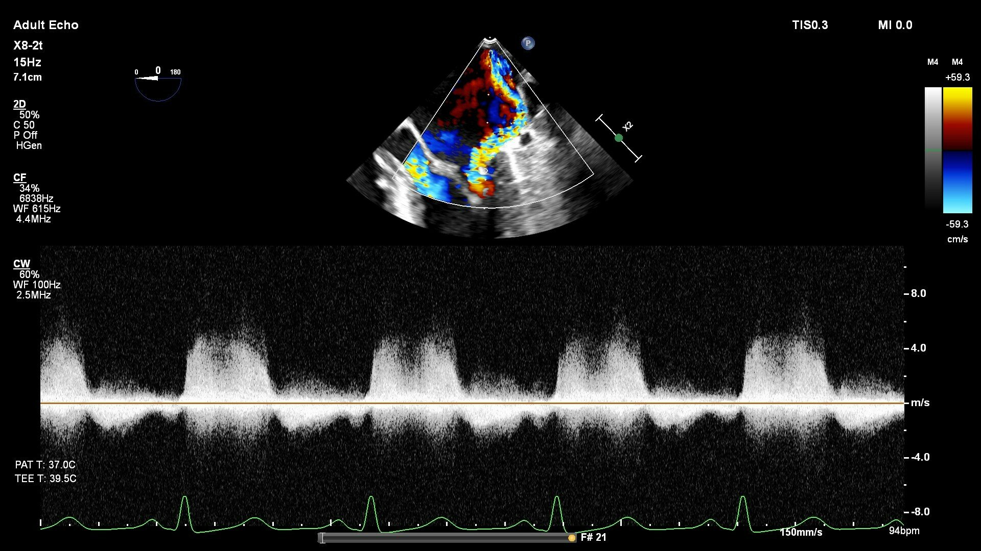
Tricuspid Valve

TTE

Tricuspid Valve

TEE

Tricuspid Valve

TEE

  • Restricted motion of anterior leaflet
  • No thickening of subchordal apparatus
  • Severe regurgitation, no stenosis

Pulmonary Valve

TTE

  • Mildly reduced excursion of leaflets
  • Mild stenosis
  • Moderate regurgitation

Summary

  • Normal LV and RV function
  • Immobile posterior mitral valve leaflet
    • Severe MR
  • Aortic valve with thickened cusps and restricted RCC
    • Moderate AR
  • Restricted motion of anterior tricuspid leaflet
    • Severe TR
  • Thickened pulmonary valve with reduced excursion
    • Mild PS, Moderate PR
  • No shunt seen by 2D, colour Doppler or bubble study

Differential

  • Findings are consistent with post-inflammatory changes

  • Differential:
    • Rheumatic heart disease (most common)

    • SLE, other autoimmune conditions

    • Radiation exposure/injury

    • Carcinoid heart disease

    • Drug-induced valvulopathy (eg. ergot alkaloids)

    • Endocarditis (infective/non-infective

Carcinoid Heart Disease

UTD

Carcinoid Heart Disease

UTD

Carcinoid Heart Disease

Rheumatic Heart Disease

Rheumatic Heart Disease

UTD

Rheumatic Heart Disease

UTD

UHN QA Rounds

By Atul Jaidka

UHN QA Rounds

  • 114