Week 1 TA Review

Agenda

  • Week 1 review: CSF System & Spinal Cord
  • Week 2 preview: Brainstem topography and functional levels
  • Q&A

Week 1 Review

Ventricular System

On a blank sheet of paper, draw from memory:

  • Draw the ventricular system in the sagittal plane.
  • Label all ventricles, foramena, and cisterns.
  • Draw the direction of CSF flow.

Meninges

On a blank sheet of paper, draw from memory:

  • A coronal section of the brain.
  • Add a skull
  • Draw and label all parts of the meninges.
  • Label visible dural folds.
    • Which fold(s) is/are not visible in you slice?
  • Label all spaces and potential spaces.

Spinal Cord

On a blank sheet of paper, draw from memory:

  • A spinal cord cross section and vertebrae.
  • Label:
    • Gray matter structures.
    • White matter structures.
    • Sulci and fissures.
    • Nerve roots and ganglions.
    • Sections of the meninges.
  • Now draw cervical, thoracic, lumbar and sacral spinal cord sections.

Compare your diagrams to class slides

Specimen/fact Quiz

Which answer orders the spinal cord sections from fewest number to greatest number of vertebrae?

  1. Cervical, thoracic, lumbar, sacral,
  2. Thoracic, sacral, cervical, lumbar
  3. Sacral, lumbar, cervical, thoracic
  4. Lumbar, sacral, cervical, thoracic

Which section has more spinal cord sections than vertebral bodies? How many?

What is the difference between nuclei and ganglia?

  1. Nuclei are clusters of neuronal bodies in the CNS while, ganglia are clusters of axons in the CNS.
  2. Nuclei are clusters of axons in the CNS while ganglia are clusters of axons in the CNS
  3. Nuclei are clusters of neuronal bodies in the PNS while ganglia are clusters of neuronal bodies in the CNS.
  4. Nuclei are clusters of neuronal bodies in the CNS while ganglia are clusters of neuronal bodies in the PNS.

At what vertebral level is the highest at which a lumbar puncture is generally safe?

  1. L2/L3 interspace
  2. L3/L4 interspace
  3. L4/L5 interspace
  4. L5/S1 interspace

Why?

(What structure are we avoiding?)

Name that section

Point to the:

  • Ventral horn
  • Dorsal horn
  • Lateral horn
  • Intermediate zone
  • Anterior funiculus
  • Lateral funiculus
  • Posterior funiculus
  • Anterior median fissure
  • Posterior median sulcus
  • Anterolateral sulcus
  • Posterolateral sulcus
  • Ventral root
  • Dorsal root
  • Dorsal root ganglion

Name that section

Point to the:

  • Ventral horn
  • Dorsal horn
  • Lateral horn
  • Intermediate zone
  • Anterior funiculus
  • Lateral funiculus
  • Posterior funiculus
  • Anterior median fissure
  • Posterior median sulcus
  • Anterolateral sulcus
  • Posterolateral sulcus
  • Ventral root
  • Dorsal root
  • Dorsal root ganglion

Name that section

Point to the:

  • Ventral horn
  • Dorsal horn
  • Lateral horn
  • Intermediate zone
  • Anterior funiculus
  • Lateral funiculus
  • Posterior funiculus
  • Anterior median fissure
  • Posterior median sulcus
  • Anterolateral sulcus
  • Posterolateral sulcus
  • Ventral root
  • Dorsal root
  • Dorsal root ganglion

Name that section

Point to the:

  • Ventral horn
  • Dorsal horn
  • Lateral horn
  • Intermediate zone
  • Anterior funiculus
  • Lateral funiculus
  • Posterior funiculus
  • Anterior median fissure
  • Posterior median sulcus
  • Anterolateral sulcus
  • Posterolateral sulcus
  • Ventral root
  • Dorsal root
  • Dorsal root ganglion

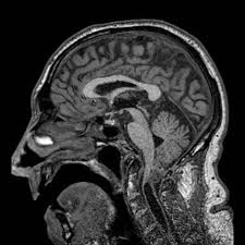
Compare

What ventricles can you see?

Name the structure

Name the structure

Name the structure

Name the structure

Name the structure

Name the structure

Week 2 Preview

Anterior Brainstem

Anterior Brainstem

What should be here?

What should be here?

Anterior Brainstem

Anterior Brainstem

Posterior Brainstem

Caudal Medulla

Caudal/Rostral Medulla

Rostral Medulla

Rostral Medulla

Caudal Pons

Middle Pons

Rostral Pons

Caudal Midbrain

Rostral Midbrain

Q&A

Week 1 Review

By Ben Carter

Week 1 Review

Review of Cerebrospinal Fluid System & Spinal Cord. Preview of Brainstem topography and Functional Levels

  • 881