NEUROSURGICAL ROBOTS
- Emeritus Professor of Neurosurgery, Universidad Autónoma de Madrid
- Head of Neurosurgical Department, Hospital Rosario, Madrid
R. GARCIA DE SOLA
INNOVATION
NEUROSURGERY
IN

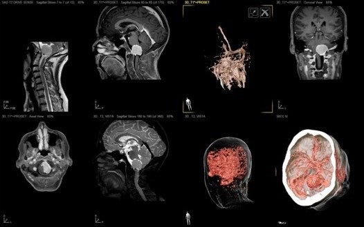
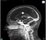
A: PRE-SURGICAL IMAGES
MRi 3T CT-scan

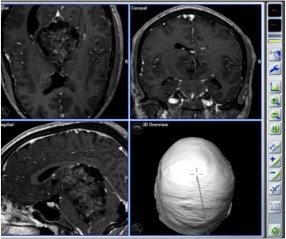
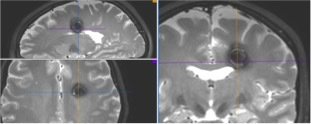
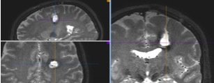
B: NEURONAVIGATION
MRi Tractography



Pre
Post
C: Intraoperative Neurophysiological
Anatomo-Functional Correlation
Monitoring (IONM)
NEURONAVIGATION + IONM
Trans-sulcal Approach




Pre-operative
Post-operative
D: VISION
Microscope Fluorescence * 5-ALA

D: VISION
Endoscope:

- Skull Base Surgery
-
Endoscope-Assisted Microsurgery
-
Hands-on in Cadaver
ROBOT


ROBOT
E: ROBOT

Personal background
MICROscope
roBOT
MICROBOT ®
E: ROBOT

Personal background
PATENT: Passive Robotic Arm
Movement disorders




E: ROBOT
Characteristics:
- Controlled movements
- Spatial Awareness
- Steadiness
- Accuracy
E: ROBOT
Main types in robotic surgery:
- Slave: Da VINCI
E: ROBOT
Main types in robotic surgery:
- Assistant: ROSA (RObotic Surgical Assistant)
The "utopian" operating room
Combining of the biggest advances

A: Images
B: Neuronavigation
C: VISION
- microscope
- endoscope
D: IONM
E: Robot
The "utopian" operating room

A: New designs
- Zeiss-BrainLab

- Synactive
The "utopian" operating room
A: Features of my operation room
- ROSA Robot Endoscope
- Images
- Neuronavigation
- Microscope
Applications
A: Endoscopic-assisted Microsurgery
A1.- Control of resection
Applications
A: Endoscopic-assisted Microsurgery
A2: Microscope - Endoscope
- Simultaneous
- Interchangeable
- No risk
of tiredness
Applications
A: Endoscopic-assisted Microsurgery
A3: Last state of resection
Applications
B: Endoscopic approaches
A3: Last state of resection
Robotized Endoscopy
Main advantages
-
Steadiness
-
Vision of exact anatomic placement of the tip of the endoscope
-
Controlled and precise movements
-
Sitting position
-
3-4 free-handed approach

Disadvantages
-
Time-consuming ?
-
Head fixation
-
Less three-dimensional sensation
CONCLUSIONS
Robotic Technology
-
Beginning to be applied in Neurosurgery
-
Successfully
-
User-Friendly
-
-
A support of endoscopy
CONCLUSIONS
ROSA robot as a support of Endoscopy
-
Main applications
-
Control of microsurgical resections
-
Use alongside the microscope
Successfully
-
CONCLUSIONS
ROSA robot as a support of Endoscopy
-
Main applications
-
Endoscopic approaches
-
Holding the endoscope
-
Neuronavigation
-
Accurate movements
-
-
INNOVATION
I - Key aspects
-
Technological advances have generally been developed by outstanding neurosurgeons.
-
This new technology has made it possible for these neurosurgeons to overcome limitations and pioneer new surgical advances.
-
When “normal” neurosurgeons become familiar with this technology they, like the innovators, will also improve their performance and achieve results above the average
A process of continuous evolution
INNOVATION
II - Harmony in the Operating Theatre
-
Exact location for each piece of equipment
-
Trained surgical team
A process of continuous evolution

THANK YOU
neurorgs.net



innovation in neurosurgery
By YBK
innovation in neurosurgery
NEUROSURGICAL ROBOTS.R. GARCIA DE SOLA Emeritus Professor of Neurosurgery, Chairman of UAM Innovation in Neurosurgery Department, Universidad Autónoma de Madrid Head of Neurosurgical Department, Hospital Rosario, Madrid
- 3,026