Lage rugpijn
en
LRS

29-11-2018
  • LEERDOELEN
  • DEFINITIES
  • ACUTE DIAGNOSES
  • SPECIFIEKE OORZAKEN VOOR LAGE RUGPIJN
  • APECIFIEKE LAGE RUGPIJN
  • LUMBOSACRAAL RADICULAIR SYNDROOm
  • TAKE HOME

INHOUD

Leerdoelen

  • Herkennen van ernstige en specifieke oorzaken van lage rugpijn
  • Het tussen lage rugpijn, LRS, neurogene claudicatie
  • Zin van aanvullende diagnostiek EN wapenen tegen verzoek om onnodig onderzoek
  • Handreiking voor het gesprek over operatie

INTERACTIEF

Ga naar Socrative.com > student Login
kamer `RUGKLACHTEN`
DOE FF eigen naam

8 vragen tussen presentatie door

PRIJS: DERMATOMENKAART

CASUS

Patiënt (man, 55) is gisteren "door zijn rug gegaan". Sindsdien hevige pijn in de rug met uitstraling naar zijn rechter been. Geen alarmsymptomen. Bij lichamelijk onderzoek, wat veel moeite kost vanwege de pijn, geen uitval, wel bekende uitstralende pijn (Lasègue positief).

Bevinding Sensitiviteit Specificiteit LR indien aanwezig LR indien afwezig
Lasègue   53-98 11-89 1.5  0.4
Lasègue gekruist 22-43 88-98 3.4 0.8

Evidence-Based Physical Diagnosis – Steven McGee, 4th edition

Definities

Aspecifieke Lage RUGPIJN =

"rugpijn in het gebied tussen de onderste ribben en de bilplooien waarbij geen specifieke lichamelijke oorzaak aanwijsbaar is"1

Lumbosacraal radiculair syndroom =

"Uitstralende pijn in één bil of been, al dan niet met andere prikkelingsverschijnselen en neurologische uitvalsverschijnselen, die suggestief is voor een prikkeling van één (of twee) specifieke lumbosacrale zenuwwortel(s)"2

Neurogene claudicatio Intermittens =

" uitstralende pijn, dove gevoelens en/of krachtverlies in één of beide benen en/of het rijbroekgebied, die optreden bij staan of lopen en verdwijnen bij zitten of vooroverbuigen "2

Acute
diagnoses

1

2

Cauda Equina

Paardenstaart

S1

L5

L4

L3

L2

L1

Th12

ANDERE
OORZAKEN
RUGPIJN

1

2

3

4

Maligniteit

Wervelmetastasen of leptomeningeale metastasen

Oudere patient met  in prostaatca in VG met pijn in de rug die niet houdingsafhankelijk is en krachtsverlies in beide benen. Daarbij gewichtsverlies en nachtzweten.

Wervelfractuur 

Traumatisch of spontaan

Rugpijn ontstaan na val bij oude vrouw.

Axiale spondyloartritis 

Oa M. Bechterev

Jongeman (30) met geleidelijk progressieve pijn in de rug. Pijn wordt erger in rust en verbeterd bij bewegen. Ochtendstijfheid. Positieve familie anamnese psoriasis. Uveitis anterior in VG.

Spondylolisthesis

Jongedame (18) met pijn in de rug voelbaar trapje op L5 en krachtverlies in beide benen

Spondylodiscitis/epiduraal abces

Patient met koorts en rugpijn die niet goed reageert op pijnstilling. Uitval. IV-drugsgebruiker. Immuungecompromitteerd. Recente rugoperatie, epidurale injectie, lumbaalpunctie.

Epidurale bloeding

Oudere patient rugpijn kort na het krijgen van een lumbaalpunctie. Gebruikt acenocoumarol en heeft progressieve uitval in benen.

ASPECIFIEKE
LAGE
RUGPIJN

Epidemiologie

  • Bijna iedereen krijgt er OOIT Last van.

  • Vier op de 100 patiënten Krijgt OF Heeft het.

  • Waarschijnlijk MEER.

  • Meer OUDEren en VROUWEN.

  • HOGE MAAtschappelijke kosten door arbeidsongeschiktheid en ZIekteverzuim

1

STarT Back Screening

  • NHG (2017) niet aanbevolen. Te weinig informatie in de nederlandse populatie1

  • NICE (2016) Overweeg Te gebruiken bij begin van iedere Nieuwe episode van lage rugpijn. Lijkt kosten effectief te zijn3

LABORATOrium onderzoek: BSE

  • NHG (2017) NEEN. Bij klinische verdenking verwijs door.

  • TOP (2017) Bij klinische verdenking aanvragen. DoorverWijzen bij afwijkingen.

  • NICE EN AAFP GEEN ADVIEZEN OPGENOMEN IN RICHTLIJN

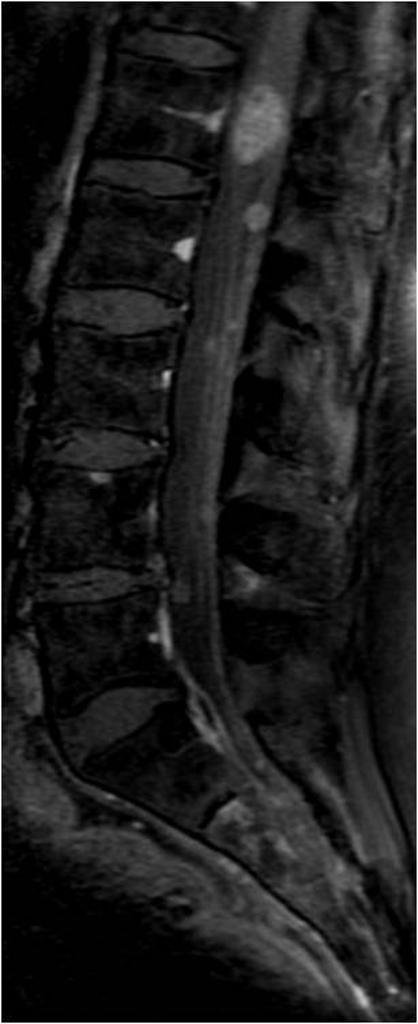
Beeldvorming

vraag #5 BEHANDELING

Lumbosacraal Radiculair Syndroom

Epidemiologie

  • ICPC lagerugpijn met uitstraling

  • 2 nieuwe patiënten per maand

  • Meer ouderen en vrouwen

  • 75 Patiënten hebben het in een normpraktijk

  • Waarschijnlijk DUS minder LRS

2

2

M: iliopsoas 5/5 (L2), quadriceps 5/5 (L3-4), hamstrings 5/5 (L5-S1), flexie grote teen 5/5 (e. hallucis longus, L5) en extensoren voet 5/5 (gastrocnemius, S1)

S: Doofheid het meest uitgesproken in het rijbroekgebied (bij vermoeden cauda equina syndroom) aan de mediale zijde bovenbeen (L3) aan de mediale zijde onderbeen (L4) aan de laterale zijde onderbeen tot in dig 1 (L5) aan de achterzijde onderbeen en dig 5 (S1) aan de achterzijde bovenbeen tot onder de knieholte (S2) rond de billen (S3-5) rechts/links

R: KPR 0/0 (L3/4), APR 0/0 (S1) anale reflex aanwezig (S3-5, bij vermoeden cauda equina syndroom)

Lasègue: negatief/negatief

Lasègue gekruist: negatief/negatief

Maximale vinger-vloerafstand: ... cm

Anamnese/LICHAMELijk ONDERZOEK

Anamnese/LICHAMELijk ONDERZOEK

  • VoORSPELLERS: ​BMI < 30, niet-plotseling begin, gevoelsstoornis en verergering van de beenpijn bij hoesten, niezen of persen7

  • NIET IN HUISARTSENPOPUPATIE GETEST!

NIET BIJdragend: LEEFTIJD, GESLACHT, ZIEKTEVERZUIM, INTELLECTUEEL ZWAAR BEROEP, FYSIEK ZWAAR BEROEP, ROKEN, DUUR BEENPIJN, PIJN IN BEEN ERGER DAN IN RUG, RUGPIJN > 12 WEKEN, PIJN IN AANVALLEN, EERDER DEZELFDE PIJN, SUBJECTIEF KRACHTVERLIES, HERNIA’S IN FAMILIE, VERSLECHTERING DOOR ZITTEN, SPORTDEELNAME EN VOORKEUR VOOR EEN OPERATIE7

Anamnese/LICHAMELijk ONDERZOEK

IK WIL EEN MRI!

Huisarts mag direct naar de neurochirurg verwijzen na 6 weken

Beeldvorming

  • NHG (2015) NA 6 weken in samenspraak met patiënt2

  • NICE (2018) Chirurgische interventie indien kLachten onvoldoende on controle zijn (geen duur benoemd)3

  • (AMC NEU (2011) Caudasyndroom, Snel progressieve parese, maligniteit in VG, gewichtsverlies, hevige rugpijn met koorts, klachten onvoldoende verbeterd na 3 mnd8)

genezing

  • ZOnder operatie: 80% na 8-12 weken9

  • ZONDER operatie: 90% NA 6-18 Weken10

  • Zonder Operatie: 95% na 1 jaar GEHEEL OF BIJNA KLACHTENVRIJ2

  • Met operatie: 95% Na 1 jaar GEHEEL OF BIJNA KLACHTENVRIJ2

OPeratie liefst zo snel mogelijk (nadat 3 maanden gewacht is)

Wanneer OPereren?

  • NIET bij klachten < 6 weken

  • NIET WANNEER PIJN DE ENIGE KLACHT IS

  • ​NIET WANNEER HET DERMATOOM NIET OVEREENKOMT MET DE BEKNELDE ZENUW

9, 10

Wanneer OPereren?

  • WEL tussen 3 maanden en 6 maanden

  • Wel bij ernstige of progressieve verlamming of verlies van blaasfunctie

  • Mogelijk Bij patiënten die bedlegerig blijven ondanks medicatie

9, 10

TAke
Home

  • aanvullend onderzoek niet waardevol in het acute moment tenzij er een acute of specifieke diagnose op de voorgrond staat

  • ​MOgelijk in de toekomst SCREENING op 'YELLOW FLAGS' voor chronisch beloop bij aspecifieke lage rugpijn

  • Bij onvoldoende verbetering kan in overleg met PT besloten worden tot operatie na 3 maanden maar uiterlijk 6 maanden (VIA de neuroloog)

9, 10

1. NHG-Standaard Aspecifieke lagerugpijn (2017)
2. NHG-Standaard Lumbosacraal radiculair syndroom (2015)
3. NICE GUIDELINE Low back pain and sciatica in over 16s: assessment and management (NG59) (2016)
4. EVIDENCE-INFORMED PRIMARY CARE MANAGEMENT OF LOW BACK PAIN, 3rd edition (2017)
5. ACP Guidelines for the Diagnosis and Treatment of Low Back Pain (2008)
6. PHYSICAL EXAMINATION FOR THE DIAGNOSIS OF LUMBAR RADICULOPATHY DUE TO DISC HERNIATION IN PATIENTS WITH LOW-BACK PAIN AND SCIATICA: A SYSTEMATIC REVIEW.
7. VERWOERD AJ, ET AL. DIAGNOSTIC ACCURACY OF HISTORY TAKING TO ASSESS LUMBOSACRAL NERVE ROOT COMPRESSION. SPINE J 2013;S1529-9430;1964-5.
8. Lumbaal radiculair syndroom, AMC RICHTLIJN (2009)
9.  NVvN Richtlijn Rughernia (2016)
10. ‘Verstandige keuzes bij een lage rughernia’ van de Orde van Medisch Specialisten, ZonMw en NPCF (2014)

LITeratuur

Lage rugpijn

By Martien Oranje

Lage rugpijn

  • 1,180