Martien Oranje
General practitioner in the Netherlands
Martien Oranje
♀L. 0jr - Tractie bij heupdysplasie
♀M. 2jr - Sacrale agenesie
♀L. 7jr - Synechia vulvae
Constipation
a condition in which there is difficulty in emptying the bowels, usually associated with hardened faeces.
a difficulty or reduced frequency in defecation
-- UpToDate
Obstipation
severe or complete constipation.
Constipation
Obstipation
Gebruik van het woord in de Engelstalige literatuur
Huisarts (per 1000)
0 tot 5 jaar: 88
5 tot 10 jaar: 26
10 tot 15 jaar: 15
15 tot 20 jaar: 13
Specialist (per 100.000)
0 tot 5 jaar: 652
5 tot 10 jaar: 541
10 tot 15 jaar: 307
15 tot 20 jaar: 112
Meconium < 24u (prematuur < 36u)
0
4j
2j
3m
1w
Iets meer dan 1x per dag
Iets minder dan 2x per dag
Borstvoeders 3x per dag, flesvoeders 2x per dag
Gemiddeld 4x per dag (borst- of flesvoeding)


Diagnostiek

Anamnese
Lichamelijk onderzoek

Anamnese
Lichamelijk onderzoek
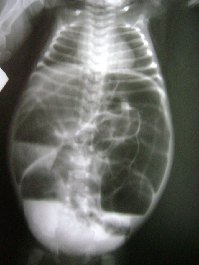
Gevaar
Enterocolitis, toxisch megacolon

Presentatie
Problemen
Respitatoir, sinusitis, pancreas afwijkingen, rectum prolaps, hepatobiliair, onvruchtbaarheid, bewegingsapparaat, DVT, nierstenen


Vragen?
By Martien Oranje