Saj Arora
Dr. Culotta
In·te·grate
Combine (one thing) with another so that they become a whole.
D4. Saj
D3. Nicholas
D2. Ester
D1. Koon
Case: Mr. G
A Timeline
June 30, 2015
Initial Patient Visit
Comprehensive Exam: Medical, Dental and Social Hx.
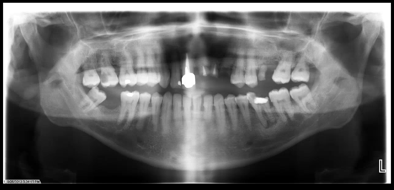
Perio charting and Odontogram
CC: "I want to get my front teeth to get my smile back and feel confident and then get a job."
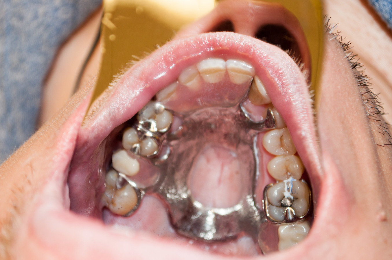
#9, 10 and 11 lost in a bar accident
#8 was extracted due to trauma and mobility
Medical Hx
- HTN (Vitals: 142/90, 144/87)
- Diabetes Type II (HbA1C unknown)
- Xanax (Specific Anxiety: Related to healthcare)

June 30, 2015
June 30, 2015
July 7, 2015

July 7th, 2015
Patient Medical Management
- Lisinopril: HTN
- Orthostatic hypertension
- Cough
- Simvastatin: Cholestrol
- Dapagliflozin: Diabetes (SGLT2 regulator)
- Syncope and dizziness
- Hypoglycemic event
-
Xanax: Anxiety
- Xerostomia/Salivary changes
- Difficulty getting to appointments

July 7th, 2015
Patient Medical Management
MCS/DM
- 2A (Type II Diabetes) HbA1C was 7.5 post Medical Consult (fair control)
- Verify HTN and diabetic medications were taken
- Check Vitals each visit (ideal <150/90)
- Cut-off 180/110 for elective tx
- Lower and raise chair slowly
- Check prescriptions for drug interactions

July 7th, 2015
Comprehensive Treatment Plan
CC: "I want something fixed/permanent"
Pre-Planning: Consults Needed
- Medical (To establish level of diabetic control)
- Periodontal: Evaluate bone loss and need for therapy beyond prophylaxis
- Orthodontics/Prosthodontics: Pt. has Class III Occlusion and missing #2, 8, 9, 10, 11, 14, 19 and 31

Stage 1: Educate and Clean
- OHI
- Full mouth SRP
- Periodontal Re-evaluation (4-6 weeks post-SRP)
July 7th, 2015
Comprehensive Treatment Plan
Stage 2: Prepare for Teeth
- Adult Orthodontic Therapy to close spaces
- Orthognathic surgery to correct Skeletal Class III

Stage 3: Replace Missing Teeth
- Implants for anterior maxillary teeth with bone and tissue graft (#8, 9, 10 and 11)
- Single unit implants for #2 (sinus lift needed), #19 and #31
- Crown Restorations for all implants
Stage 4: Recall and Maintenance (3 month)
July 22, 2015
Comprehensive Treatment Plan 2.0
Stage 1: Educate and Clean
Stage 2: Prepare for Teeth
- Composite Restoration #7 (MI)
- Extract mobile teeth/poor retainers for RPD if needed
- Fabricate Maxillary RPD
- Single unit implants for #19 and #30
Stage 3: Recall and Maintenance (3 months)


July 10, 2016
Before and After




Thank You
Anatomy of Pancreas
Koon
Pancreas: Anatomy
- Location: Back of Abdomen
- Connected with the Duodenum
- Dual Function: Exocrine and Endocrine

Pancreas: Function

Pancreas: Innervation

Parasympathetic
Sympathetic
Pancreas: Glucose Regulation

Pathophysiology of Diabetes
Ester
Diabetes: Glucose Regulation

Diabetes: Glucose Regulation


Diabetes: Cellular Level

Counteract Diabetes

Literature Review
Nicholas
Why Bother?
It’s important for us as Medical Professionals to stay up to date with the latest in health care information so that we can provide the best treatment to our patients!
The Big Question
Does non-surgical periodontal therapy (SRP) help improve glycemic (sugar) level control in a diabetic patient with periodontal disease vs having no treatment?
Null Hypothesis
There is no difference in glycemic/metabolic control between patients with Type II Diabetes who receive non-surgical periodontal therapy and patients with Type II Diabetes who do not receive non-surgical periodontal therapy.
The Answer
Periodontal therapy improves metabolic control in patients with Type II DM and Type II DM is a risk factor for periodontal disease
The Evidence
PICO
- Patient/Population: Type II diabetics with Periodontal Disease
- Intervention/Exposure: Non-surgical periodontal therapy
- Control: No treatment
- Outcome: HbA1C Levels
Li: A Meta-Analysis

Wang: A Meta-Analysis


Judge Nick's Corner
Li's Paper
- Bias: Low Risk of Bias
- Methods: Large amount of RCT's with strict parameters
Wang's Paper
- Bias: Low-moderate Risk of Bias
- Methods: Small amount of studies analyzed. Repeatedly mentioned this limitation.
References
-
Li, Quan, Sha Hao, Jie Fang, Jing Xie, Xiang-Hui Kong, and Jian-Xin Yang. "Effect of Non-surgical Periodontal Treatment on Glycemic Control of Patients with Diabetes: A Meta-analysis of Randomized Controlled Trials." Trials (2015): 1-8. Web.
-
Wang, Tze-Fang, I-An Jen, Chyuan Chou, and Yen-Ping Lei. "Effects of Periodontal Therapy on Metabolic Control in Patients With Type 2 Diabetes Mellitus and Periodontal Disease A Meta-Analysis." Medicine (Baltimore) 93.28 (2014): n. pag. Web.
Integrated Case Presentation
By Saj Arora
Integrated Case Presentation
- 537