
Shock
Shock
- Definitions
- Septic Shock
- Cardiogenic Shock
- Hypovolemic
Helpful Guidelines

https://bestpractice.bmj.com/topics/en-gb/779

Sepsis
Septic Shock
"Patients with septic shock can be clinically identified by a vasopressor requirement to maintain a mean arterial pressure of 65 mm Hg or greater and serum lactate level greater than 2 mmol/L (>18 mg/dL) in the absence of hypovolemia."

CMAJ September 10, 2018 190 (36) E1058-E1059; DOI: https://doi-org.proxy1.lib.uwo.ca/10.1503/cmaj.170149

SIRS

*in 2-4 h

Really... use your judgement
(don't give 3 L of IVF to your HF patient

qSOFA


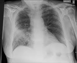
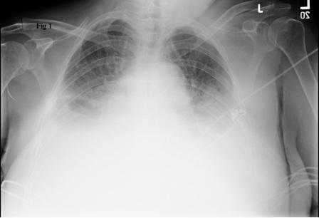
Cardiogenic Shock



Sit the patient up!
High flow O2
DIURESE!
Lasix no max dose (typically 40-120 mg IV )
Nitro patch or spray
Call for help if not improving


Left Bundle Branch Block
-
LBBB
- QRS duration >0.12 seconds
- Broad monomorphic R waves in I, aVL, V5, and V6 (Depolarization moving toward these leads)
- Broad, dominant, monomorphic S wave in V1 and V2 (Depolarization moving away from these leads)
Hypovolemic Shock




deck
By Seana Nelson
deck
- 75