Structural Interventions
Seana Nelson MD
Cardiology PGY4
Western University
Internal Medicine
Royal College Objectives
- "Valvular Heart Disease"
- Aortic Stenosis
- Mitral Stenosis
- Mitral Regurgitation
- Aortic Regurgitation
- "Cerebrovascular Disease and Transient Ischemic Attack"
- PFO
Internal Royal College Objectives
- "Valvular Heart Disease"
- Aortic Stenosis - Transcutaneous Aortic Valve Insertion
- Mitral Stenosis - Percutaneous mitral balloon valvotomy
- Mitral Regurgitation - Mitral Clip
- Aortic Regurgitation -
- "Cerebrovascular Disease and Transient Ischemic Attack"
- PFO - Percutaneous Closures
Valvular Disease
Know Class I indications for valvular interventions
Know when to watch and wait

Circulation. 2017;135:e1159–e1195.
Circulation. 2014;129:2440-2492.

Aortic Valve Disease

Circulation. 2014;129:2440-2492.
Aortic Valve Replacement Options
| Percutaneous Baloon Valvuloplasty | Aortic Valve Replacement | Transcutaneous Aortic Valve Repair |
|---|---|---|
| Young patients with no aortic calcification ...really not a great option for anyone... |
1) Life expectancy > 10 years 2) Going for other cardiac surgery 3) Coronary artery disease |
1) Life expectancy 2-10 years 2) High risk surgical candidate 3) 1 year risk of death or prohibitive surgical morbidity 50% |
| Major complications (10%) Recurrent symptoms ~6 months |
Death (1-3% ) Stroke (2%) Prolonged ventilation (11%) |
30 day Stroke (6-7%) Vascular complication (17%) AV Node dysfunction (2-43%) .... Valve embolization, perivalvular regurgitation |

Circulation. 2017;135:e1159–e1195.
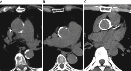
TAVI Work - Up
Transthoracic Echo
Transesophageal Echo
- Annulus dimensions
CT Coronary
- Aortic annulus dimensions
- Aorto-Iliac peripheral arterial disease
-Distance between coronary ostia and aortic annulus
Angiogram
TAVI Work - Up
Transthoracic Echo
Transesophageal Echo
- Annulus dimensions
CT Coronary
- Aortic annulus dimensions
- Aorto-Iliac peripheral arterial disease
-Distance between coronary ostia and aortic annulus
Angiogram
TAVI Work - Up
Transthoracic Echo
Transesophageal Echo
- Annulus dimensions
CT Coronary
- Aortic annulus dimensions
- Aorto-Iliac peripheral arterial disease
-Distance between coronary ostia and aortic annulus
Angiogram

TAVI Work - Up
Transthoracic Echo
Transesophageal Echo
- Annulus dimensions
CT Coronary
- Aortic annulus dimensions
- Aorto-Iliac peripheral arterial disease
-Distance between coronary ostia and aortic annulus
Angiogram


TAVI Work - Up
Transthoracic Echo
Transesophageal Echo
- Annulus dimensions
CT Coronary
- Aortic annulus dimensions
- Aorto-Iliac peripheral arterial disease
-Distance between coronary ostia and aortic annulus
Angiogram
TAVI
Post TAVI
- ASA for life
- Clopidogrel or Ticagrelor x 1-6 months .... unless on anticoagulation otherwise
- Endocarditis prophylaxis
- Annual TTE follow up
Mitral Valve Disease
Mitral Regurgitation

Circulation. 2014;129:2440-2492.

-
Class I for intervention
-
Primary MR -Severe MR
- Symptoms + EF > 30%
- Asymptomatic + EF 30-60%, LVESD >40 mm
-
Primary MR -Severe MR
-
Periodic Monitoring:
- Primary progressive MR
-
Primary severe MR without symptoms with likelihood of success < 95% or mortality >1%
- with EF > 60%
- LVESD < 40 mm,
- PASP > 50
- New onset AF
- Secondary disease with asymptomatic or progressive MR

Circulation. 2014;129:2440-2492.
Basic investigations for mitral lesion
- Grade severity of MR
- Transthoracic echo
- Determine the morphology of mitral valve disease
- Transesophageal echo
- CT Thorax - Calcified aorta
- Coronary Catheterization - assessing MR jet, coronary anatomy if CABG is considered
Basic investigations for mitral lesion
-
Grade severity of MR
- Transthoracic echo
- Determine the morphology of mitral valve disease
- Transesophageal echo
- CT Thorax - Calcified aorta
- Coronary Catheterization - assessing MR jet, coronary anatomy if CABG is considered
ESC Tools
Basic investigations for mitral lesion
- Grade severity of MR
- Transthoracic echo
-
Determine the morphology of mitral valve disease
- Transesophageal echo
- CT Thorax - Calcified aorta
- Coronary Catheterization - assessing MR jet, coronary anatomy if CABG is considered

2013. European Heart Journal–Cardiovascular Imaging, 14(10), pp.935-949.
Basic investigations for mitral lesion
- Grade severity of MR
- Transthoracic echo
- Determine the morphology of mitral valve disease
- Transesophageal echo
- CT Thorax - Calcified aorta
- Coronary Catheterization - assessing MR jet, coronary anatomy if CABG is considered

10.1016/j.jcmg.2018.03.023
Basic investigations for mitral lesion
- Grade severity of MR
- Transthoracic echo
- Determine the morphology of mitral valve disease
- Transesophageal echo
- CT Thorax - Calcified aorta
- +/- Coronary Catheterization - assessing MR jet, coronary anatomy if CABG is considered


CorHealth Ontario. Ministry of Health and Long Term Care. 2017
Ontario Mitral Valve Clip Procedure – Patient Eligibility Criteria Guidelines

Echocardiographic features that are favourable and unfavourable for MitraClip placement
2013. European Heart Journal–Cardiovascular Imaging, 14(10), pp.935-949.
© 2019 Abbott. Abbott Park, Illinois, U.S.A.
MitraClip is a trademark of the Abbott Group of Companies.
Post Procedural
- Bleeding
- Anticoagulation periprocedure
- Antiplatelets
- ASA x 6-12 months
- Clopidogrel x 1 month
- Infection
- Mitral Valve Stenosis
- Failure of repair
Outcomes of Clip in Patients with Primary MR
- Reduction in severity of MR
- Overall mortality rates in patients receiving transcutaneous mitral valve clip is higher
- Functional/Quality of Life improvement
Questions
Mitral Stenosis

Circulation. 2014;129:2440-2492.
deck
By Seana Nelson
deck
- 115