Ischemic Cardiomyopathy
Acute Coronary Syndrome
Heart Failure


Viability
Non-invasive testing for CAD
- DSE
- Perfusion CMR
- Cardiac PET testing
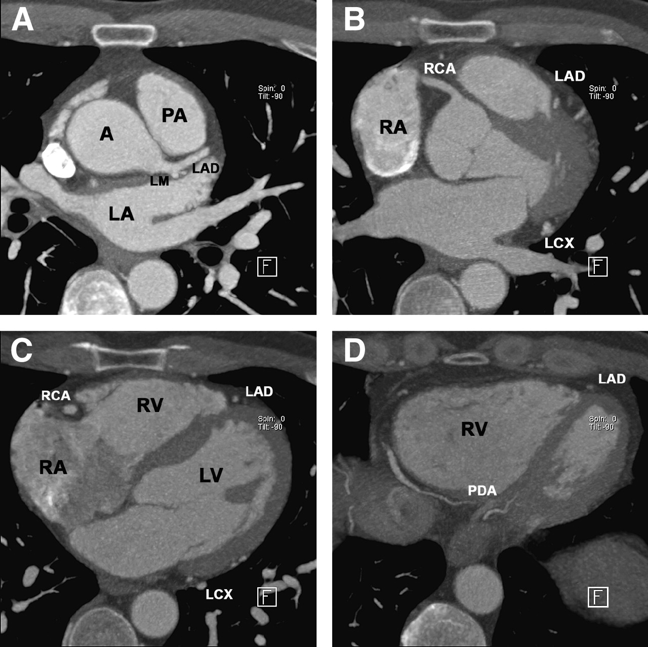
- Cardiac CT,
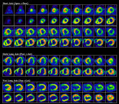
- Nuclear stress imaging.
Local factors (availability, price, expertise, practice patterns) will determine the optimal strategy for imaging.
Patients with HF and reduced LVEF are more likely to experience significant improvement in LVEF after successful coronary revascularization if they demonstrate:
- Reversible ischemia or a large segment of viable myocardium (> 30% of the left ventricle) in nuclear stress testing/viability study;
- Reversible ischemia or > 7% hibernating myocardium on PET scanning;
- Reversible ischemia or > 20% of the left ventricle shown as viable using DSE;
- < 50% wall thickness scarring shown by late gadolinium enhancement on CMR imaging.

- "In the setting of HF, angina and single territory CAD, PCI might be the treatment of choice.
- ...PCI has not been shown to improve outcomes for patients with chronic stable HF, irrespective of underlying anatomy."
Treatment of severe MR
- ...mitral valve repair or replacement are both considered acceptable strategies for treatment of severe MR
- BUT ... addition of mitral repair has not been shown to improve survival despite technical success. This is also the case for catheter based treatment of MR.
Dobuatamine stress echo
Perfusion CMR

Journal of the American College of Cardiology Apr 2006, 47 (8) 1630-1638

Ottawa Heart Viability, Retrieved Jul 12 2019

Cardiac CT
Ischemic MR

Taramasso, M. and Maisano, F., 2016. Nature Reviews Cardiology, 13(2), p.65.

Ischemic Cardiomyopathy
By Seana Nelson
Ischemic Cardiomyopathy
- 58