Détection de coins sur des images

BOIS - MATEJKA - MONARD

Contexte

Développement d'un pluggin pour Icy, un logiciel de traitement de bio-images

Le pluggin doit être en mesure de détecter les contours des objets sur les images

Implémentation de la méthode des coins de Harris

Travail réalisé

Implémentation de l'algorithme de Harris :

  • sur ImageJ
  • en Java avec Swing

Recherche sur la méthode de Harris, trouver l'algo, explications de professeurs...

Travail réalisé

Avec ImageJ

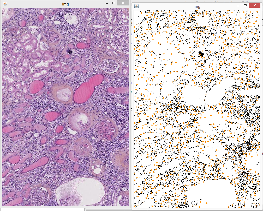
Travail réalisé

En Java avec Swing

Travail en cours

Implémentation finale du pluggin sur Icy

Tests avec différents paramètres pour trouver les paramètres optimaux

Bilan intermédiaire

Un projet qui avance malgré les difficultés

Une dernière implémentation avant de terminer

Harris Corner

By Vincent Darmon

Harris Corner

  • 242