Aim 3: Posterior Sampling and Uncertainty
October 18, 2022


Score SDE (refresher)
0. Ito process
1. [Anderson, 82] Reverse-time SDE
\(\implies\)
2. [Song, 21] SDE Score Network
Denoising Reverse-time SDE (no drift)
Forward-time SDE
We use
\(x(0)\)
\(\sigma_{\min} = 0.01\)
\(x(T=1)\)
\(\sigma_{\max} = 1\)
Denoising reverse-time SDE (Euler)
We have

Training a continuous-time score network on Abdomen CT
Hardware: 8 NVIDIA RTX A5000 (24 GB of RAM each)
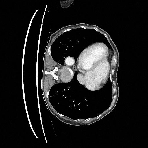
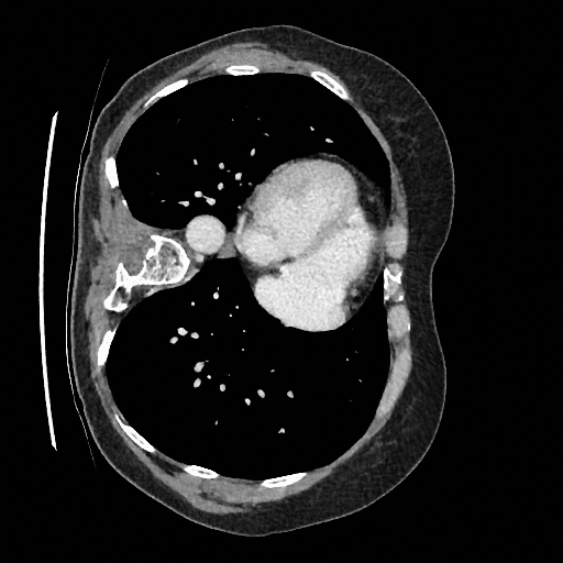
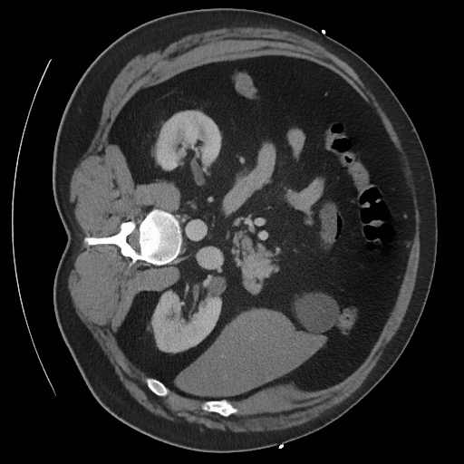
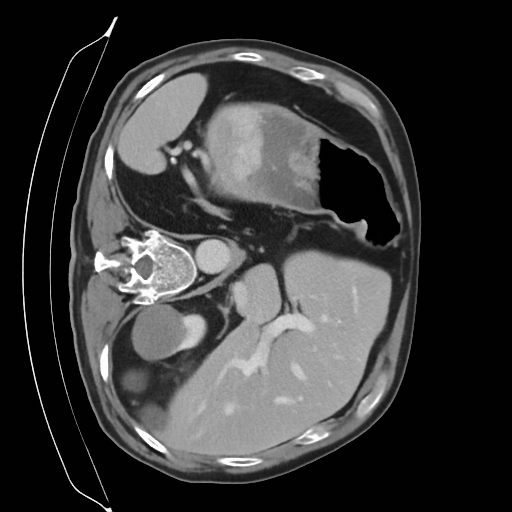
Sampling results

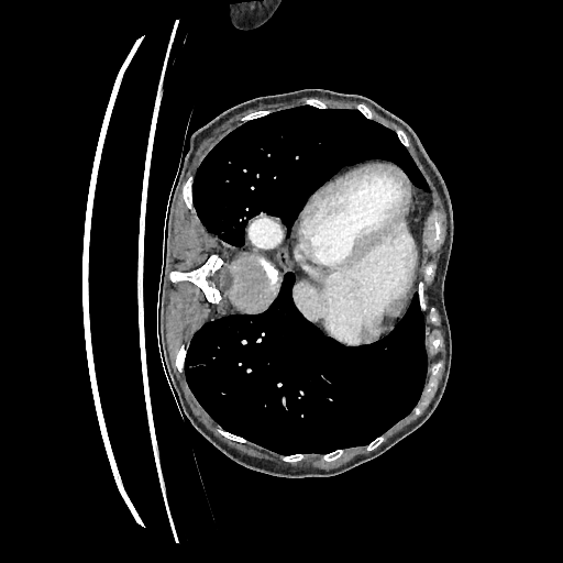
Original

Original

Perturbed

Samples






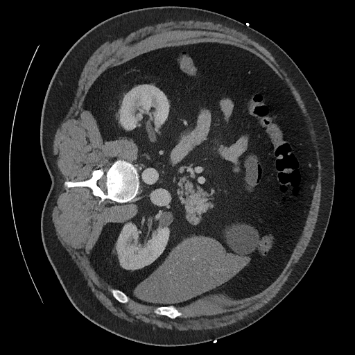
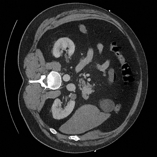
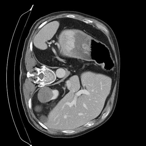
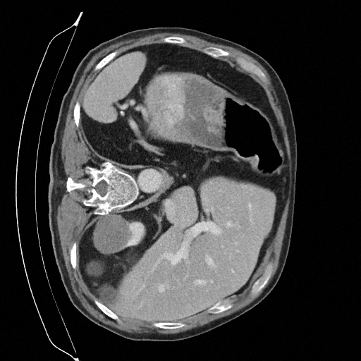
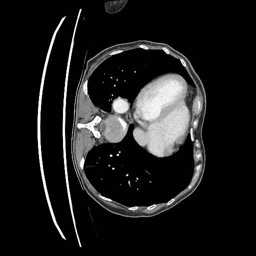
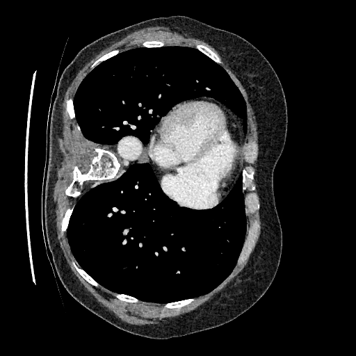
Sampling results

Original

Original

Perturbed

Sampled






Sampling results
Some notions of uncertainty


Mean

Standard Deviation

Quantile




Some notions of uncertainty


Mean

Standard Deviation

Quantile




Next steps
How to grant these notions of uncertainty with guarantees? For example
. "How far is the true image from a new sample?''
. "How likely is it to observe an unrealistic sample?''
. "How do we know if the computed empirical distribution contains the ground truth?''
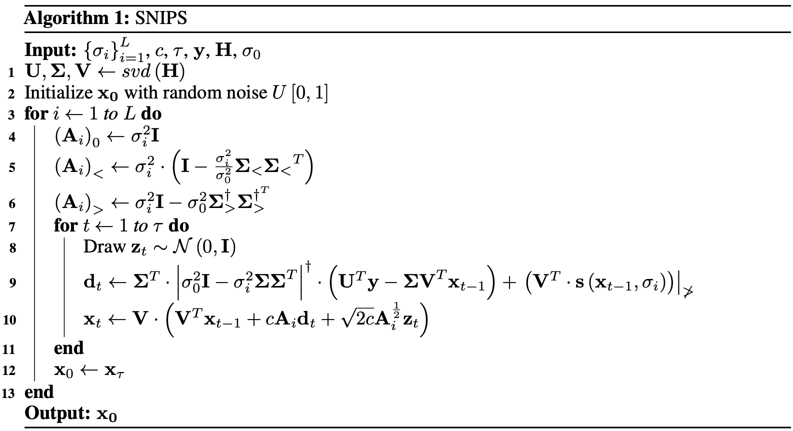
Solving general linear inverse problems:
SNIPS [Kawar, 21]

Main idea: Sample in the SVD space of \(H\)
Solving general linear inverse problems:
Solving Inverse Problems in Medical Imaging [Song, 22]
Main idea: Avoid the SVD decomposition by constructing \(\{\hat{y}_{t_i}\}_{i=0}^N\)

[10/18/22] Aim 3: Posterior Sampling and Uncertainty
By Jacopo Teneggi
[10/18/22] Aim 3: Posterior Sampling and Uncertainty
- 223