
Essa é a mistura de Brasil com Egito...
NeuroNefro
Essa é a mistura de Brasil com Egito...
NeuroNefro
- Manifestações do SNP
#1
#2
- Manifestações do SNC
Introdução
-
Há um aumento na incidência e prevalência de pacientes com DRC em países industrializados ocidentais
Tanto doenças cérebro vasculares quanto complicações diretas do acúmulo de escórias nitrogenadas
Complicações de SNC
ENCEFALOPATIA
URÊMICA
-
IRC severa ou rápido aumento das toxinas urêmicas
podem levar à uma encefalopatia tóxico-metabólica-
série de desordens mentais e motoras que variam desde alteração sutil do humor a paralisia e convulsão
-
-
Antes da diálise, a encefalopatia urêmica era quase que invariavelmente fatal
ENCEFALOPATIA URÊMICA
aguda x crônica
-
IRC geralmente se dá de forma insidiosa e é usualmente sutil
-
familiares reconhecem sintomas inespecíficos como déficits cognitivos/concentração bem como mudanças do comportamento e humor
-
-
IRA
-
a severidade do acometimento é diretamente relacionada com a gravidade do acúmulo de toxinas urêmicas
-
ENCEFALOPATIA URÊMICA
aguda x crônica
-
Pode haver DHE concomitante
-
Pacientes jovens são geralmente menos sintomáticos que pacientes com
-
doenças graves concomitantes ou eventos
neurológicos prévios
-
-
Mais de 20% dos pacientes em UTI com IRA são afetados por encefalopatia urêmica
Alterações Cefalopatia Urêmica
- Alteração do humor
- Irritabilidade
- Distúrbios de fala, linguagem prolixa
- Déficit de memória
- Comprometimento da concentração
- Exaustão mental
Agudas
mentais e motoras
- Hiperreflexia
- Tremor
- Asterix
- Disartria
Crônicas
consciência e desordens
- Letargia
- Distúrbios do sono
- Comprometimento da concentração - dificuldade de executar tarefas simples
- Alucinações visuais
- Mioclonias e fasciculações
- Hemiparesia transitória
- Crises convulsivas
- Coma
- MORTE
ENCEFALOPATIA URÊMICA
Diagnóstico
Feito clinicamente e confirmado por alterações laboratoriais
- avaliar a severidade do comprometimento e a terapia
a ser adotada
- aumento: creatinina, uréia, fosfato, potássio
- além de acidose metabólica, anemia, hiperparatireoidismo secundário
ENCEFALOPATIA URÊMICA
Diagnóstico
O nível de uréia e creatinina pode ser relativamente baixo a despeito do comprometimento renal em condições:
- como idade avançada e baixa massa muscular (caquexia, cirrose e sedentarismo)
- Os níveis séricos de uréia também dependem do status nutricional e ingesta de proteína
ENCEFALOPATIA URÊMICA
Diagnóstico
-
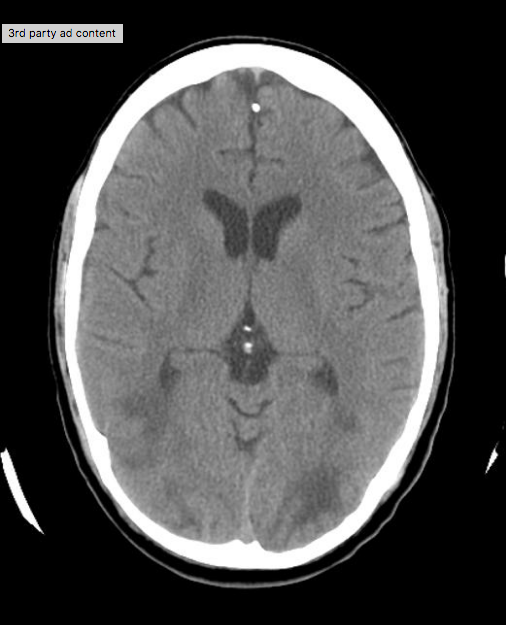
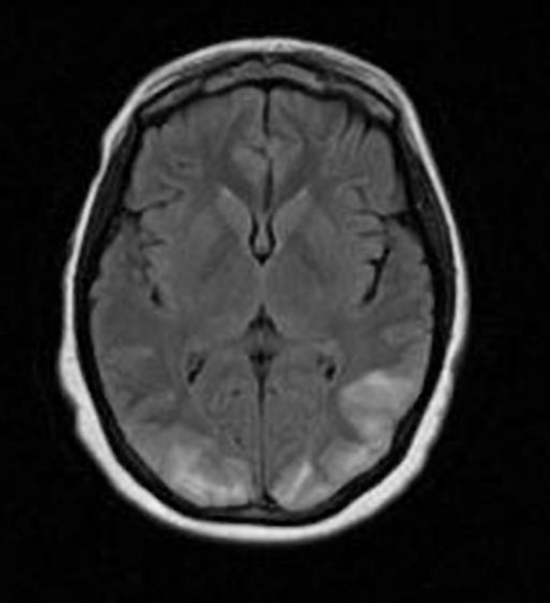
Estudo de imagem para excluir isquemia ou hemorragias
- pode haver atrofia cerebral ou (especialmente em DM) aumento do sinal nas regiões corticais e subcorticais em regiões frontal, parietal e occipital ==> edema localizado
- PRES ou hipersinal bilateral em T2/FLAIR em gânglios da base
Achados
PRES


Referência : https://radiopaedia.org/cases/posterior-reversible-encephalopathy-syndrome-pres?lang=us
Achados
PRES
Referência : Uremic PRES, ANJR 2010

diagnóstico
-
EEG é útil para o diagnóstico difrencial
-
na IRA após 48h
-
-
-
o EEG demonstra ondas lentas e baixa voltagem regiões frontais
-
podem apresentar ritmo delta e teta, bem como ondas trifásicas
-
-
-
o EEG pode normalizar com terapia dialítica
diagnóstico
LCR é útil para excluir outras patologias
- haver sinais de meningite asséptica, com contagem de céls aumentada e predomínio de linfócitos
diagnóstico
- A maioria dos sintomas desaparecem após alguns dias de início da terapia de substituição renal
- Tanto EEG como alterações radiológicas agudas também normalizar
- Porém, é possível que não haja regressão completa da sintomatologia
-
LEMBRAR DA Correção da anemia
Complicações relacionadas à TSR
- Síndrome do Desequilíbrio
- Encefalopatia de Wernicke
- HSA e HIP
- Comprometimento Cognitivo
Complicações SNC - TSR
Síndrome do Desequilíbrio
- A deterioração do quadro neurológico durante ou imediatamente após a sessão de diálise
- Maior risco pacientes com Ur > 175mg/dL
- principalmente idosos, crianças e pacientes com dano cerebral prévio
-
Diálise peritonial não PARECE não ter esse problema
Síndrome do Desequilíbrio
-
Formas leves se apresentam com cefaléia e caimbras ==> tem associação com alto volume de ultra filtrado
-
Em casos graves, pode haver aumento da PA, confusão, convulsões e coma
-
A HD deve ser cessada imediatamente
-
Para a prevenção, deve-se atentar para a correção lenta e criteriosa dos níveis de uréia, especialmente na primeira HD
Encefalopatia de Wernicke
- Síndrome clássica de ataxia, confusão mental e disfunção oculomotora bilateral não está sempre presente
- RNM pode demonstrar hiperintensidade na região do aqueduto mesencefálico e tálamo
- Os baixos níveis de tiamina confirmam o diagnóstico
- má nutrição e perda de vitaminas solúveis na diálise são responsáveis pela fisiopatogenia
ENCEFALOPATIA DE WERNICKE

Referência : https://www.nejm.org/doi/full/10.1056/NEJMoa1005384
Encefalopatia de Wernicke
- Nos casos de diagnóstico precoce, há rápida melhorados sintomas com a administração de:
- Tiamina 300-500mg EV 3x/dia nos 2 primeiros dias + 500mg EV diariamente por 5 dias => após, deve-se manter dose de 100mg/d VO
HSA e HIP
- Há um aumento de 20x na incidência de HSA em comparação à população,
- estão envolvidos mecanismo relacionados à trombocitopatia urêmica e o uso de substâncias anticoagulantes no tratamento diálitico
- Os hematomas ocorrem espontaneamente
- Os pacientes apresentam cefaléia, náuseas e vômitos
a rápida instalação da HIC leva convulsão e coma
-
Mesmo em pacientes tratados, a mortalidade gira em torno de 40% em 30 dias
-
Estudos demonstram que não há diferença estatística entre a diálise peritonial e a hemodiálise
COMPROMETIMENTO COGNITIVO
EM PACIENTES EM DIÁLISE
CRÔNICA
- A própria IRC é um fator de risco para déficit cognitivo e demência
- mais de 70%
- O principal mecanismo envolvido parece ser vascular:
- estudos de RNM demonstraram alterações de substância branca, hiperintensidade, microssangramentos e microinfartos
- também foram achados em pacientes com clínica imperceptível

Essa é a mistura de Brasil com Egito...
NeuroNefro
Essa é a mistura de Brasil com Egito...
NeuroNefro
- Manifestações do SNP
#1
#2
- Manifestações do SNC
desordens de sistema nervoso periférico
PNP urêmica
Mais comum em avançada falência renal: estudos apontam prevalência de 60-100%
-
A PNP afeta tanto nervos sensório quanto motores,
sendo indicação de terapia de substituição renal
Multifatorial, especialmente em DM
O desenvolvimento de de PNP durante a terapia de susbstitução renal é critério para reavaliação desta
PNP urêmica
- Há alguns motivos que levem à patogênese:
- toxinas urêmicas deficiência de tiamina, biotina e zinco
- Se apresenta como uma neuropatia axonal sensoriomotora simétrica
-
É tipicamente comprimento-dependente e simétrica, abrindo o quadro com MMII afetados
-
Há queixa de formigamento, queimação e dor ==> seguidos por queixas motoras
-
relatam hipoestesia em meia, com piora do quadro na exposição ao frio
-
PNP urêmica
- Nos estágios iniciais, diminuição da sensibilidade vibratória além de hipo/arreflexia do aquileu
- Eventualmente pode haver espasmos dolorosos das extremidades inferiores e até mesmo atrofia e paralisia dos músculos distais
- Um sinal precoce de disfunção motora é a restrição na dorsiflexão do hálux
- Raramente, a PNP urêmica se apresenta com tetraparesia aguda ou subaguda, simulando SGB
PNP urêmica
- O diagnóstico de PNP urêmica é baseada nos sinais clínicos citados com falência renal avançada
- ENMG flagrará velocidade de condução sensório-motora reduzida
- OBS.: NÃO USAR COMO PARÂMETRO O MEMBRO NO QUAL DE ENCONTRE A FÍSTULA ARTERIOVENOSA
PNP urêmica
-
A evidência de PNP urêmica é indicação formal para
iniciar terapia de susbstituição renal (TSR) -
Via de regra: HD e diálise peritonial são igualmente eficazes
-
alguns pacientes melhorarão muito lentamente ou mesmo não haverá melhora
-
O transplante renal aparenta ser a melhor terapêutica
-
-
Dor neuropática pode melhorar com drogas
-
Acompanhamento fisioterápico pode ser benéfico
SÍNDROMES DAS PERNAS INQUIETAS
-
Problema comum nos pacientes em estágio final de DRC
-
a percentagem de RLS em diálise é de 21,5-30%
-
-
Parece ter íntima relação com a PNP
-
A ocorrência se dá de forma inversamente proporcional à TF
-
Paciente em diálise peritonial são mais freqüentemente afetados
-
O sintomas inicialmente aparecem à noite, antes de dormir
-
também podem aparecer durante períodos de repouso ao longo do dia, incluindo durante diálise
-
SÍNDROMES DAS
PERNAS INQUIETAS
-
RLS é associada com distúrbios do sono e leva a sonolência diurna
-
Deficiência do ferro e anemia são associadas com o aumento da incidência de RLS
-
L-dopa e agonistas dopaminérgicos podem ser utilizados
-
Gabapentina também se mostrou eficaz: dose inicial de 300-400mg, seguido de manutenção com 200-300mg, 3x por semana após diálise
-
Opióides e clonidina também são outras opções para pacientes refratários
MONONEUROPATIAS
- Podem ser decorrentes da intoxicacão urêmica ou mesmo das TSR
- Mais comumente nervos do antebraço, especialmente o nervo mediano,
- são afetados paciente se queixam de dor e sensação de agulhamento noturno em antebraço e mão
- pode ainda haver síndrome do túnel do carpo completa
- Uma síndrome do nervo ulnar pode ser observada em metade dos casos de pacientes em hemodiálise
MONONEUROPATIAS
-
Síndrome do Túnel do Carpo (STC) ocorre mais principalmente no membro usado para acesso vascular além disso,
-
a injúria nervosa pode se dar na implantação do shunt, com compressão por hematoma ou extravasamento bem como um aumento da pressão venosa levando a compressão e dano
-
podendo ocorrer no membro contralateral ou em pacientes em diálise peritonial
-
MONONEUROPATIAS
-
Déficits de nervos cranianos são raramente
observados no avanço da falência -
pode haver baixa auditiva ou distúrbios de equilíbrio, porém são mais comumente associados à drogas que a uremia
-
Altas doses de diuréticos de alça podem desencadear aguda e reversível perda auditiva
-
Disautonomia
- Mais de 50% dos pacientes em TSR são afetados
- parassimpático é 2x mais acometido que o simpático
- pacientes tratados conservadoramente tem igual grau de acometimento
- Típica manifestação de hipotensão ortostática em pacientes diabéticos em diálise
- Pode haver ainda:
- taquicardia, desordens pupilares, hipohidrose disfunção de bexiga e impotência
- gastroparesia, diarréia noturna ou constipação
disautonomia
- Os pacientes devem ser informados de estratégias para evitar síncope
- A única medida realmente efetiva para tratamento da disautonomia é o transplante renal
sintomas induzidos por drogas
- Polineuropatia: Agentes quimioterápicos e nitrofurantoína
- eventos neuropsiquiátricos: Metoclopramida, Lítio e Aciclovir
- são mais susceptíveis pacientes usuários concomitantemente de IECA, Anti-retrovirais e tiazídicos
- pacientes em diálise peritonial tem risco ainda maior de complicações com aciclovir, uma vez que não há eliminação adequada por esta via
Não esquece de baixar o material que preparamos!
🏥

🚑
😎
Essa é a mistura de Brasil com Egito...
NeuroNefro
NeuroNefro
By Neuro Hub
NeuroNefro
- 211