
JAMA: 10 cm below the tibial tuberosity, difference >3 cm
I can't breathe
Case
Text

Differential for SOB
- Pneumonia
- Pulmonary Embolism
- COPD
- Pulmonary Hypertension
- ACS
- Heart Failure
Modified Well's Score

How good is it?
- ~20% of people in the "high risk" went on to have PE
- 0.5% of people in the low risk went on to have PE in the next 3 months
Some other clues?
ECG Changes:
-Sinus Tachy ~44% of patients
RV strain pattern ~34%
Non-specific ST changes ~50% of patients
Use of the Well's Score

Diagnosed PE!

thrombosiscanada.ca
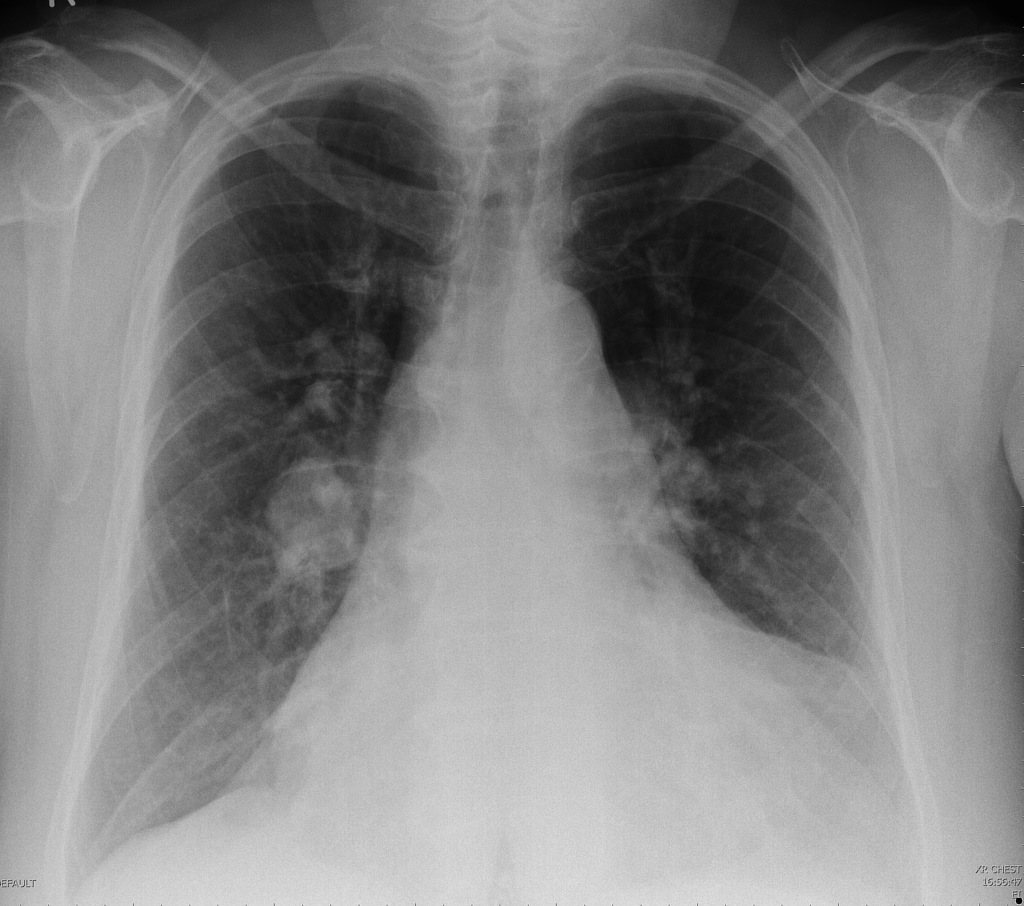
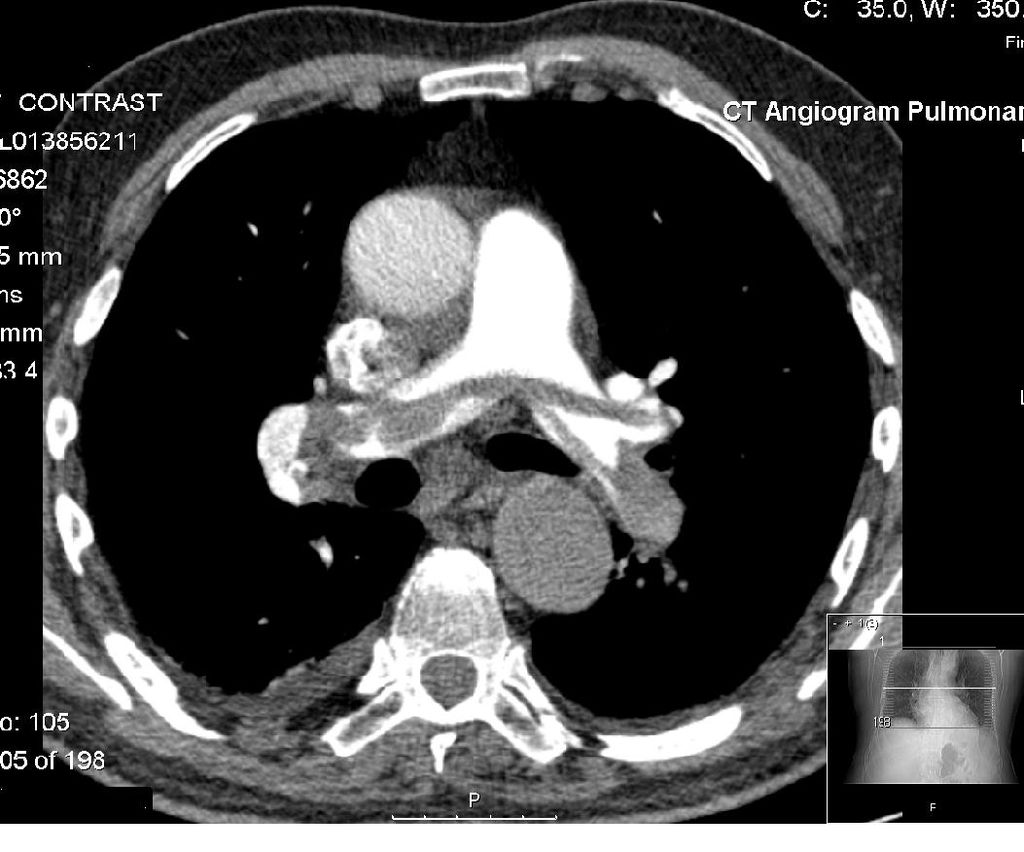
X-Ray Images

X-Ray Images

Fleischner sign (enlarged pulmonary artery)
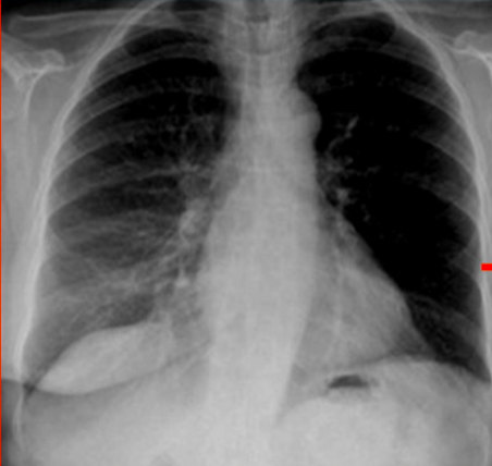
X-Ray Images

X-Ray Images


- sensitivity: ~14%
- specificity: ~92%
- positive predictive value: ~38%
- negative predictive value: ~76%
- sensitivity: ~22%
- specificity: ~82%
- positive predictive value: ~29%
- negative predictive value: ~76%

- sensitivity: ~22%
- specificity: ~82%
- positive predictive value: ~29%
- negative predictive value: ~76%

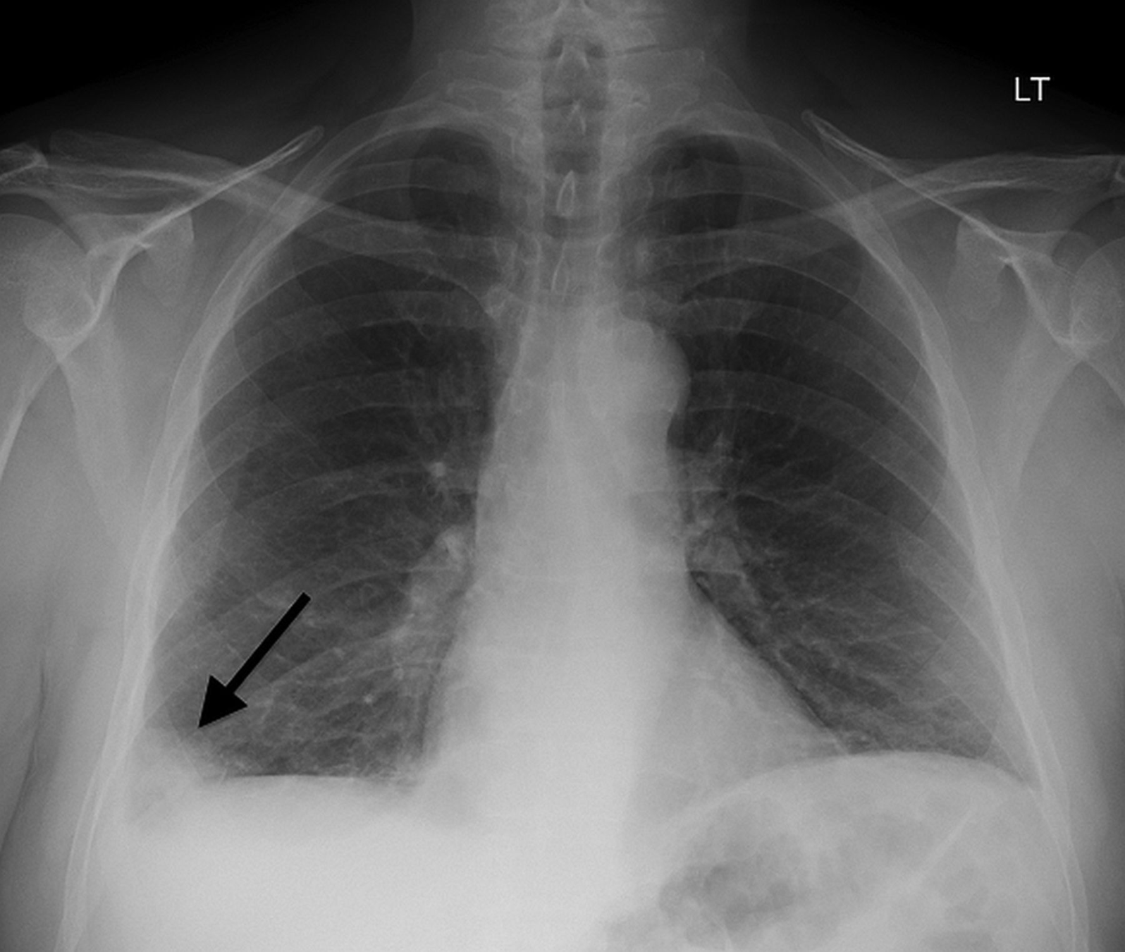
Hampton's Hump

Can this patient go home?
PESI Model
PESI Risk Model

Text
Am J Respir Crit Care Med. 2005 Oct 15; 172(8): 1041–1046.
PESI Risk - Mortality

Class I - II can go home if no other factors would keep them in hospital
Duration of Treatment
- Transient risk factor within 3 months of being dx: 3- 6 months
- surgery;
- hospitalization;
- plaster cast immobilization;
- hormonal therapy;
- pregnancy;
- flight of > 8 hours;
- recent leg injury;
- medical illness with immobilization.
Patients with provided VTE:
- At least 3 months
- 1st unprovoked DVT or PE:
- 10% recurrence in 1st year, 30% in 5 years and 50% in 10 years
Patients with Persistent Risk Facts - Indefinite anticoagulation
- Active cancer
- Antiphospholipid Ab +
- High risk anti-thrombin
Thrombosis Canada

But why did they get a PE?
- CBC, Ca, LFTs, U/a
- Do NOT do routine thrombophilia testing
Indicated for: VTE < 50 yo, unusual site, during pregnancy, while on e-OCP, FHx VTE < 50 yo
-Age related Cancer Screening
Thrombophilia Work-up
- Factor V Leiden mutation
- Activated protein C resistance assay
- Prothrombin G20210A mutation
- Protein S deficiency
- Lupus anticoagulant
- Anticardiolipin
SOB
By Seana Nelson
SOB
- 86