Données RadioAide

Shanoir

Données Pixyl: Itération 01

  •  7 patients
  • Longitudinal - Entre 5 et 23 images à des temps différents par patients (1tps = 1 dossier)
  • Entre deux pas de temps, cerveau non recalés rigidement
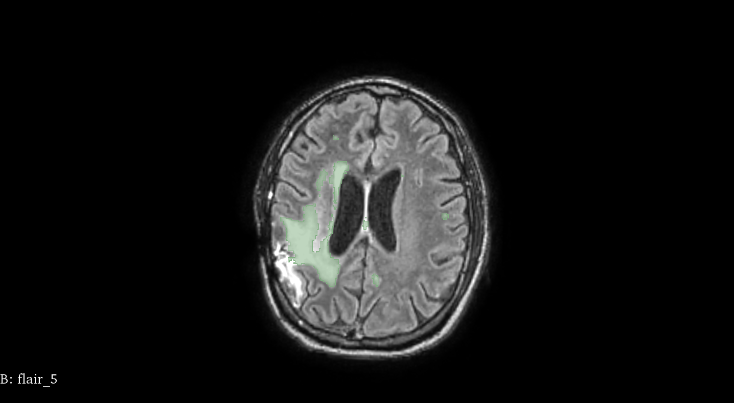
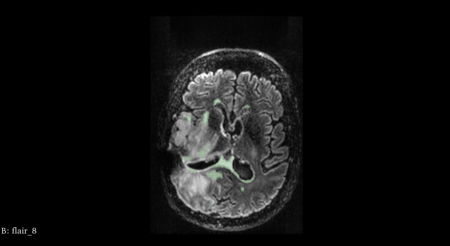
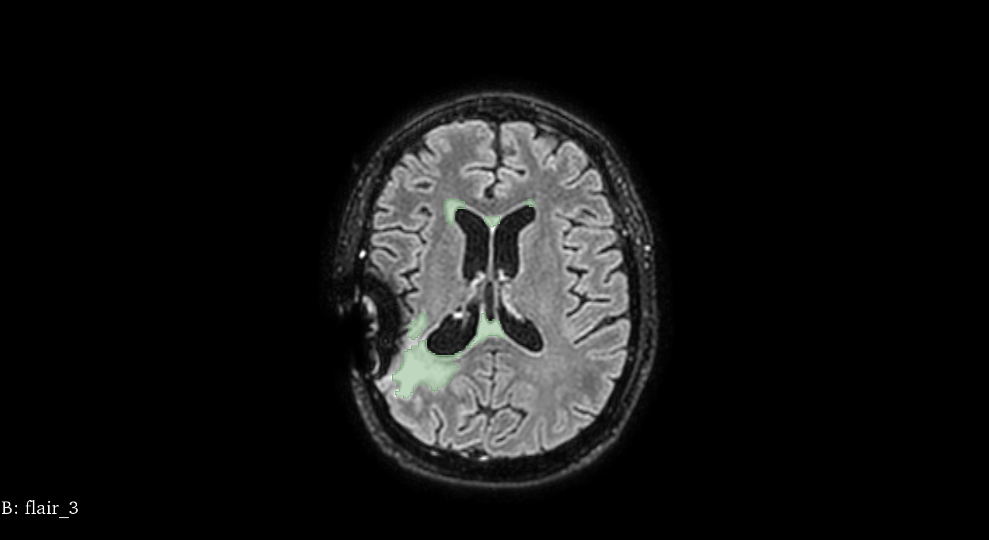
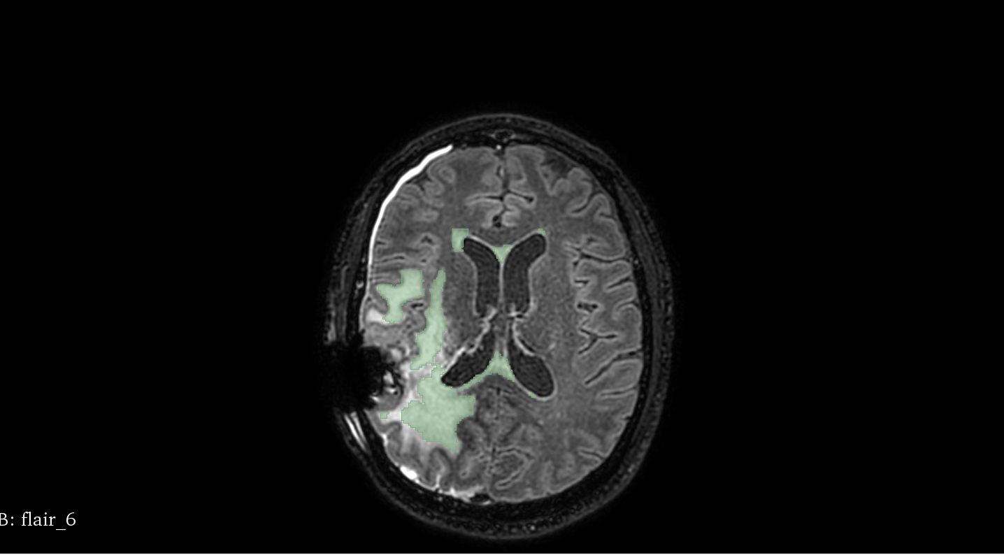
  • Chaque dossier comprends:
    • Image FLAIR - Avec le crane
    • prev_flair - ressemble à un préprocessing de l'image FLAIR (Crâne moins intense; hyperintensité moins fortes aussi)
    • prev_segm - segmentation
    • prob - probabilité / carte (presque) entre 0 et 1 à l'emplacement des WMH
    • segm - segmentation

Patient 58

t=

9

14

19

23

36

Données Pixyl: Itération 02

  • 33 patients
  • 3 dossiers:
    • extreme prio - NON longitudinal (que LB)
    • prio - entre 1à 3 visites
    • normal - non traité

Données Pixyl: Itération 02

prio PSL_001_M3

Données Pixyl: Itération 02

prio PSL_001_M26

deck

By Anton FRANCOIS

deck

  • 235