Title

Background

Pathophysiology

  • Predisposing condition
  • Endothelial disruption
  • Valvular fibrin-platelet thrombus
  • Bacteremia
  • Infection valvular vegetation
  • Complications
    • Local destruction
    • Perivalvular extension
    • Embolic events

Predisposing Factors

  • MR
  • AR
  • Prothetic valve
  • AS
  • Congenital
  • MS

Why Echo?

Goals

  • Determining the underlying anatomy of the valvular structures 
  • Determining the presence, location, size, and number of vegetations
  • Defining any functional valvular abnormalities/dysfunction resulting from vegetation(s)
  • Determining the impact of valvular abnormalities/dysfunction, if any, on right and left ventricular size and function
  • Detecting complications of IE (eg, abscess, fistula, etc) 

Uptodate

Ability to detect vegetation

  • TTE
    • Resolution 3-4mm
    • Sensitivity 62-82%
      • 17-45% for prosthetic
    • Specificity 91-100%
  • TEE
    • Resolution 1-2mm
    • Sensitivity 87-100%
    • Specificity 91-100%

AHA: High risk: large/mobile vege, perivalvular extension, mod/sev regurg, new LV dysfunction

Uptodate

Diagnosis Criteria   by Echo

Definition by Duke Criteria

  • Oscillating intracardiac mass involving:
    • Valve
    • Support structure
    • Prosthetic/implanted device
    • Path of regurgitant jet
  • Perivalvular Abscess
  • New partial dehiscence of prothetic valve or new regurgitation

Note: new or worsening murmur not sufficient

Vegetation

Vegetation Features

  • Texture: Density of tissue
  • Low pressure side
    • MV/TV atrial side
    • AV LV side
  • Associated features
    • Regurgitation
    • Perivalvular complications
  • Shape: lobulated, amorphous
    • Less likely
      • Filamentous
      • Discrete
      • Nodule

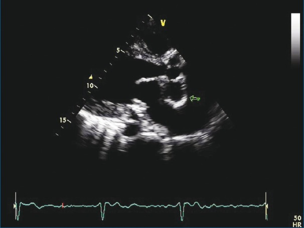
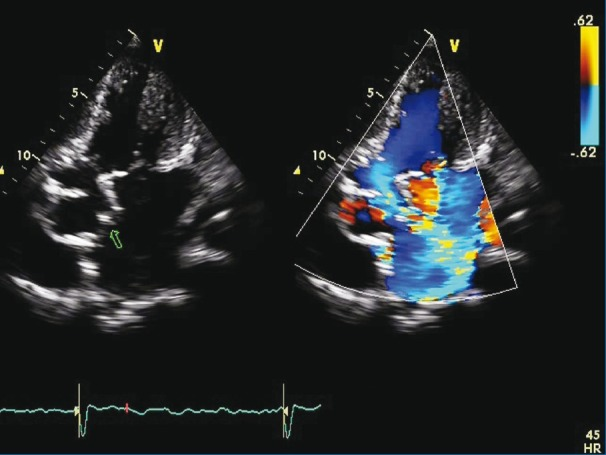
Case 1

Case 1

Grading Size

Two largest orthogonal dimensions

Sanfillpo et al. Echocardiographic assessment of patients with infectious endocarditis: prediction of risk for complications.

 

Grading Mobility

Sanfillpo et al. Echocardiographic assessment of patients with infectious endocarditis: prediction of risk for complications.

 

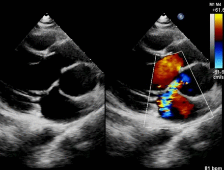
Case 2

Case 2

Vegetation Mimics

Mimics

  • Degenerative valvular tissue
  • Calcifications
  • Flail chords
  • Thrombus
  • Tumour
  • Artifact
    • calcium
    • prosthetic material
  • Normal variants
    • prominent eustachian valve
  • Linear sterile strands

Lambls

Fibroelastoma

Intracardiac Mass

Thrombus

Eustachian Valve

Chiari Network

Non-Infective Endocarditis

Complications of Infective Endocarditis

Complications

  • Local destruction
    • Valvular
    • Paravalvular
  • Embolization

Local Valvular Destruction

  • Can be very sick, heart failure
  • TTE not sensitive (45%)

Leaflet Perforation

Perivalvular Extension

  • More common:
    • Aortic
    • Prosthetic (30-55%)
    • Staph Aureus
  • TTE not sensitive (28%)
  • Types:
    • Abscess
    • Mycotic Aneurysm
    • Fistula

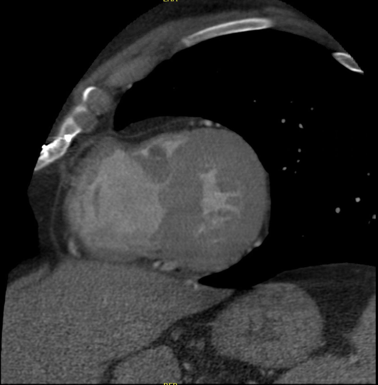
Mitral Aortic Intervalvular Fibrosa MAIF

Fibrous region of the heart that connects the anterior mitral leaflet to the posterior aortic root and communicates with the left ventricular outflow tract

Abscess

MAIF Pseudoaneurysm

MAIF Pseudoaneurysm

MAIF Pseudoaneurysm

MAIF Pseudoaneurysm

Embolization

Risk of Embolization

  • Vegetation Size (>10mm)
  • Vegetation Mobility
  • Anterior Mitral Valve Leaflet

Most likely to embolize?

Followup

Followup Imaging Indications

  • Change in symptoms
  • Persistent infection after 5 days of ABx
  • High risk infection on Imaging
  • Infection with aggressive organisms

Case

Weak, SOB
Neg Blood Cultures

OR

1.  Urgent re-do sternotomy.

2.  Aortic valve explantation and extensive debridement of aortic root and fibrous trigones.

3.  Aortic root replacement (26 mm LifeNet aortic homograft).

4.  Palliative, complex mitral repair (A2 triangular resection, debridement of posterior medial commissure, A1 perforation closure and 34 mm Cosgrove band annuloplasty).

5.  Repair of atrioventricular groove, reconstruction of fibrous trigones.

6.  Patent foramen ovale closure.

7.  Left common femoral arterial line.

Questions?

Heart on Fire

By Atul Jaidka

Heart on Fire

Echo Rounds - Jan 22

  • 94