Cardiac POCUS

Atul Jaidka

Follow along: http://bit.ly/cardiacpocus

POCUS

TAKES TIME

Find a reference and stick with it

  • Personal:
    • HHCUBOOK.com
    • WesternSono.ca/RapidReview
  • Vetted:
    • Western Sono (high quality training)
    • POC_US App (reference for on the ward)
    • ASE Cardiovascular Point-of-Care Imaging for the Medical Student and Novice User (online class)
    • 123sonography (online class)

POCUS becomes intuitive when you visualize the structure in the body then direct the probe

POCUS Basics

  • Anatomic landmark
    • You know where the heart is
  • Sonographic Landmark
    • The beating structure
  • Fine tune your image
    • SLOW movement
    • Optimize gain/depth

Probes

  • Curved array / curvilinear
  • Phased array /cardiac

Indications

  • Cardiac Arrest (is the heart beating?)
  • Unexplained Shock/Hypotension
  • Dyspnea
  • Chest pain
  • Thoracic trauma

Cardiac Views

  • Parasternal Long Axis (PLAX)
  • Parasternal Short Axis (PSAX)
  • Apical 4 Chamber (A4C)
  • Subcostal (SAX)

Parasternal

Long Axis

Parasternal

Short Axis

Apical 4 Chamber

Sub

Costal

Parasternal Views

  1. Assess LV function
  2. Valvular Disease
  3. RV strain

Parasternal Views

  • Advantages
    • Easy (usually)
  • Challenges
    • Image generation can be limited by lung, rib spaces

Parasternal Long Axis

  • ANATOMIC LANDMARK: left sternal border, 3-4th interspace
  • Probe marker to the right shoulder

Parasternal Long Axis

  • SONOGRAPHIC LANDMARK: HEART
  • Identify:
    • LV, RV, LA, MV, AV
    • Pericardium +/- Pericardial/pleural fluid

Parasternal Short Axis

  • ANATOMIC LANDMARK: left sternal border 3-4th interspace
  • Probe marker to the left shoulder
  • From long axis, fix probe and rotate clockwise 90°

Parasternal Short Axis

  • SONOGRAPHIC LANDMARK: HEART
  • Identify (tilt probe from right shoulder - left hip):
    • 3 levels: Aortic Valve, Mitral Valve, Pap Muscle
    • Tilt probe from right shoulder - left hip

Parasternal Short Axis

  • SONOGRAPHIC LANDMARK: HEART
  • Identify (tilt probe from right shoulder - left hip):
    • 3 levels: Aortic Valve, Mitral Valve, Pap Muscle
    • Tilt probe from right shoulder - left hip

Parasternal Short Axis

  • SONOGRAPHIC LANDMARK: HEART
  • Identify (tilt probe from right shoulder - left hip):
    • 3 levels: Aortic Valve, Mitral Valve, Pap Muscle
    • Tilt probe from right shoulder - left hip

Tips

 

 

  • Troubleshooting

    • If no view, make large concentric circles

      • Once you see heart, slowly focus in

    • +++GEL

    • Left lateral decubitus position

Apical Views

  1. Assess LV function
  2. Valvular Disease
  3. RV strain

Apical Views

  • Advantages
    • Can obtain a lot of information
  • Challenges
    • Image generation can be limited by lung, rib spaces
    • Difficult to obtain in beginning (often needs a lot of left lateral decubitus positioning

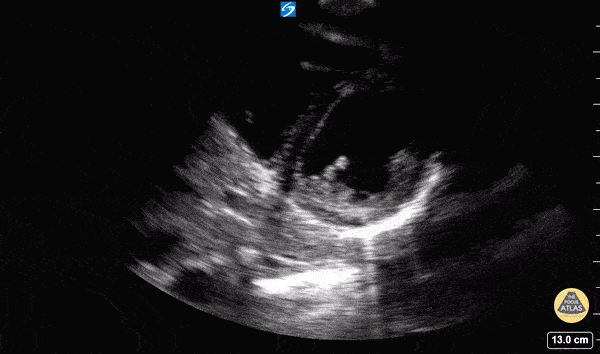
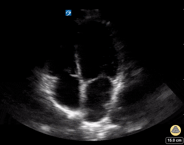
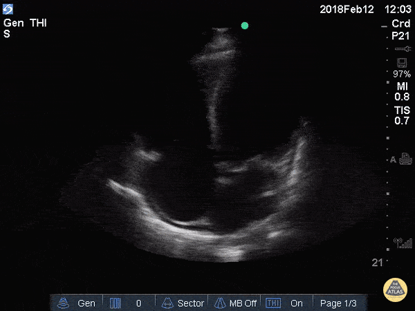
Apical 4 Chamber

  • ANATOMIC LANDMARK: apex (5th interspace, ant ax line)
  • Probe marker to the right

Apical 4 Chamber

  • SONOGRAPHIC LANDMARK: HEART
  • Identify: LV, RV, LA,, RA, MV, TV
    • Pericardium +/- Pericardial fluid

Tips

 

 

  • Troubleshooting

    • If no view, make large concentric circles

      • Once you see heart, slowly focus in

    • Alternatively, start at parasternal short axis and slide down to the apex keep heart in view

    • +++GEL

    • Left lateral decubitus position***

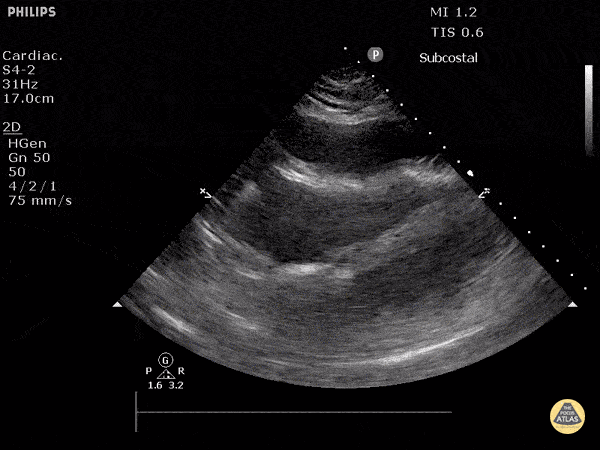
Subcostal View

  1. Is there cardiac contractility (is the heart beating vigorously)? Y/N
  2. Is there a pericardial effusion? Y/N

Subcostal View

  • Advantages
    • Easy (usually)
    • Out of the way of the trauma team
    • Better for PCE
  • Challenges
    • Image generation can be limited by air (bowel gas, lung, subQ), pain, redundant tissue

Subcostal View

  • ANATOMIC LANDMARK: just below xiphoid
  • Heart is ANTERIOR structure and mostly MIDLINE
  • Probe flat, directed toward head, marker to the right
  • Downward pressure

Subcostal View

  • SONOGRAPHIC LANDMARK: HEART
  • Identify: LV, RV, LA, RA, MV, TV
    • Pericardium +/- Pericardial fluid

1. Cardiac Contractility

  • Is the heart beating vigorously? Y/N
    • Anything in between is INDETERMINATE at this point

2. Pericardial Effusion PCE

  • Is there a PCE present? Y/N
    • Sweep until heart disappears BOTH anteriorly and posteriorly

Tips

  • False positives

    • Pleural effusion, free fluid, fat pad

  • Troubleshooting

    • Start LOW

    • GEL

    • ↑ Depth

    • Bend knees, hands to sides, deep breath & hold

    • Downward pressure with some upward pressure*

    • Move to patient’s right to use liver as an acoustic window

LV Function

LV Function

LV Function

Valve Regurgitation

Tamponade

  • Pericardial Effusion +
    • RV collapse in diastole
    • RA collapse in systole
    • Pulsus paradoxus in TV/MV inflow
    • IVC dilation

POCUS Symposium - Cardiac

By Atul Jaidka

POCUS Symposium - Cardiac

  • 117