Due Tonight!

Assignment 5

PyDicom
load CT volume, slice it, adjust window/level
coming soon!


The AMIGO Suite

Jayender Jagadeesan, PhD
Harvard Medical School


Mahsa Geshvadi

Magnetic resonance imaging
MRI

Magnet
Extremely Powerful
Always On!
1.5 Tesla
3 Tesla
7 Tesla
60,000x stronger than earth magnetic field
$6.5 million


Coils
to enhance contrast


Image Volumes








Voxel size for CT: 0.625-1.25 mm^3
similar to MRI
0.1-1 mm^3


Dr. Raymond Damadian's Indomitable (1977)

Sir Peter Mansfield (1973)

+ Paul Lauterbur

Magnet
Radio Frequency
Gradient Coil
Electro-Magnetic Field

cuts large Magnetic Field into
smaller sections
stimulates atoms
Hydrogen Atoms (Water + Fat)

specific frequency of resonance is called the Larmour frequency
Different tissues (such as fat and water) have different relaxation times
Magnet
RF Pulse
Echo Time (TE)
Repetition Time (TR)
different per tissue!
Fourier Transformation
snapping back

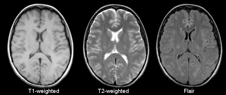
Structural MRI


Structural MRI


MRI Physicist develops sequences

Diffusion Weighted Imaging (DWI)
Motion of water molecules
White Matter Pathways


Approximation!
DTI


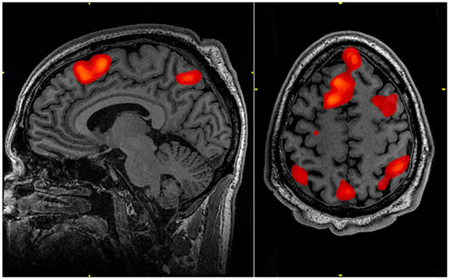
fMRI
functional MRI
localized brain activity

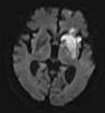
Magnetic resonance angiography (MRA)
Aneurysm
Stenosis




brain tumor
- Tumors
- Inflammation
- Certain organs’ blood supply
- Blood vessels
Gadolinium
Contrast Agent

MRI $2000
CT $1200
10 mins
1 hour
better contrast
super noisy
- An IUD
- Artificial joints
- A pacemaker
- Eye implants
- Aneurysm clips
- Shrapnel
- Orthopedic hardware
- Dark tattoos
MRI: Risk







The AMIGO Suite

Is an MRI in there?
Jayender Jagadeesan, PhD
Harvard Medical School


Mahsa Geshvadi

CS666 Lecture 17b
By Avanith Kanamarlapudi
CS666 Lecture 17b
Slides for CS666 Biomedical Signal and Image Processing at UMass Boston. See https://cs666.orghttps://cs666.org
- 71