THE OREGON-MASSACHUSETTS MAMMOGRAPHY DATABASE
Daniel Haehn (Chair), Nurit Haspel, Dan Simovici
March 31st 2026
Avanith Kanamarlapudi
University of Massachusetts Boston

OMAMA-DB
Committee Members:

Breast cancer is the most common cancer among women worldwide.
2024 5th International Conference for Emerging Technology (INCET). IEEE, 2024.
Published in:


2024 2nd International Conference on Advancement in Computation & Computer Technologies (InCACCT). IEEE, 2024.
Published in :



SPIE Journal of Medical Imaging (JMI) Special Issue “Peer-Validated Resources for Medical Imaging: Datasets, Software, and Benchmarks
Submitted to :



Started in 2020 and funded by


2D
256x256.tar(3.0 GB)
1024x1024.tar(97.8 GB)
Original_2d.tar(741.3 GB)
512x512.tar(23.4 GB)





3D
3d.tar(7.9 TB)

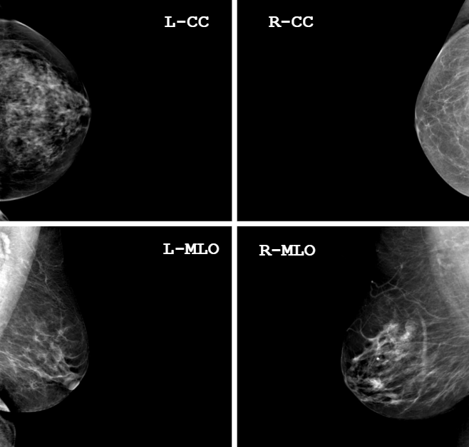
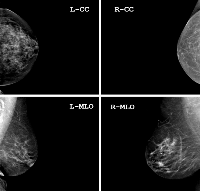
4-Views

{
Patient ID: DHVGGTHM5AB2
View: cranio-caudal
WindowCenter: [2575.0, 2653.0, 2479.0]
WindowWidth: [900.0, 750.0, 1050.0]
WindowCenterWidthExplanation: ["NORMAL", "HARDER", "SOFTER"]
ImagerPixelSpacing: [0.094090909, 0.094090909]
ImageLaterality: "R",
coords: [401, 112, 498, 219]
score: 0.8513884544372559,
label: IndexCancer
}
JSON File :
| Dataset | Public Images |
|---|---|
| DDSM | 10,480 |
| MIAS | 322 |
| INbreast | 410* |
| CMMD | 5,202 |
| VinDr-Mammo | 20,000 |
| OPTIMAM | 3,072,878* |
| EMBED | 480,323* |
| OMAMA-DB (Ours) | 231,080 |
Dataset Comparison
Download Stats

Global Usage
- 65% of downloads from USA
- 79% of downloads are 2D
- Used Worldwide
Top users:
- Students
- Researchers
- Universities
Dataset Creation

Dataset Creation

NonCancer
IndexCancer
PreIndexCancer
Laterality : L/R
Dataset Creation

46 x 56 px
512 x 564 px
Dataset Creation

Hologic, lnc
GE Medical Systems
Dataset Creation

Multiple Views
Duplicate Studies
Dataset Creation

Corrupted Dicom Headers
Missing Pixel Data
Dataset Creation



5-BHIST Filtering
VAE Filtering
Outlier Detection (ODM)

Medical Imaging with Deep Learning 2023
Published in :

Dataset Creation

Dataset Creation

{
Patient ID: DHVGGTHM5AB2
View: cranio-caudal
WindowCenter: [2575.0, 2653.0, 2479.0]
WindowWidth: [900.0, 750.0, 1050.0]
WindowCenterWidthExplanation: ["NORMAL", "HARDER", "SOFTER"]
ImagerPixelSpacing: [0.094090909, 0.094090909]
ImageLaterality: "R",
coords: [401, 112, 498, 219]
score: 0.8513884544372559,
label: IndexCancer
}
JSON File :
Deepsight





Study-Level Input (4 Views)
SAME RESULT

Image Level

Medgemma


Synthetic Classifier


mpsych.org/omama

OMAMA-DB
By Avanith Kanamarlapudi
OMAMA-DB
- 213