Abdomen : Case I

History :  A 76-year-old man with abdominal pain and vomitting.  An abdominal x-ray was performed on admission.

What is the abnormality?

A. Dilatation of the cecum
B. Dilatation of the stomach
C. Dilatation of the sigmoid colon
D. Free air

 

C. Dilatation of the sigmoid colon

 

The following signs are included in the abdominal x-ray:

  • Coffee bean sign
  • Frimann Dahl's sign : Three dense lines converge toward the site of obstruction
  • Absent rectal gas
  • A classic inverted U-shaped dilated sigmoid colon directed toward the diaphragm

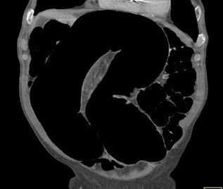
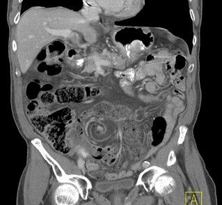
Abdominal CT images

Large gas-filled loop without haustral markings, forming a closed-loop obstruction

Beak sign: Progressive tapering of afferent and efferent limbs leading into twist

Which is the most likely diagnosis based on the radiological data?

A. Large bowel obstruction due to Ogilvie syndrome

B. Cecal Volvulus

C. Sigmoid Volvulus

D. Colonic obstruction due to a tumor

Answer : C. Sigmoid volvulus

Discussion :

Sigmoid volvulus is torsion or twisting of the sigmoid colon around its mesenteric axis, causing an intestinal obstruction. It represents the third most common cause of colonic obstruction.

 

Sigmoid volvulus

Epidemiology :

  • Large-bowel volvulus accounts for approximately 5% of all large-bowel obstructions, with approximately 60% of intestinal volvulus involving the sigmoid colon.
  • More common in the elderly with history of constipation and obtundation. Other factors that facilitate its development have been described in the literature as a diet rich in fiber, severe constipation and/or laxative abuse, previous abdominal surgery, advanced age, pregnancy, diabetes, or neurological and psychiatric diseases such as dementia and schizophrenia.

Clinical presentation :

  • Early and correct diagnosis of this pathology typical of elderly and bedridden patients is essential for appropriate treatment aimed to correct electrolyte and nutritional changes and to restore the intestinal transit, solving the mechanical problem that causes the volvulus.
  • The diagnosis of volvulus is usually set on the basis of clinical, radiological, and endoscopic findings.
  • The clinical presentation of intestinal obstruction with vomiting, bloating, abdominal pain, and decreased expulsion of feces and gases, along with an abdominal x-ray, are the basic pillars of the suspected diagnosis of this pathology.

Differential diagnosis :

  • Large-bowel obstruction due to the presence of a colonic tumor or a stricture secondary to diverticulitis. In those cases, there are gas-filled intestinal loops proximal to obstruction without distal gas, apple-core configuration, and neoplasic clinic in case of tumor and history or recurrent inflammation, and diverticula in case of diverticulitis.
  • Cecal volvulus: Sigmoid volvulus is differentiated from a cecal volvulus by its ahaustral wall and the lower end pointing to pelvis.
  • Colonic pseudo-obstruction: Great constipation without organic cause; Ogilvie syndrome (nonobstructive dilation of colon); postsurgical ileus (dilated large and small bowel with no transition point), post-traumatic injury, ischemia

Abdomen Case 1

By Electronic Learning Abdominal Radiology

Abdomen Case 1

  • 1,682