Abdomen : Case 11

History :  A 65-year-old female with abdominal pain and vomitting

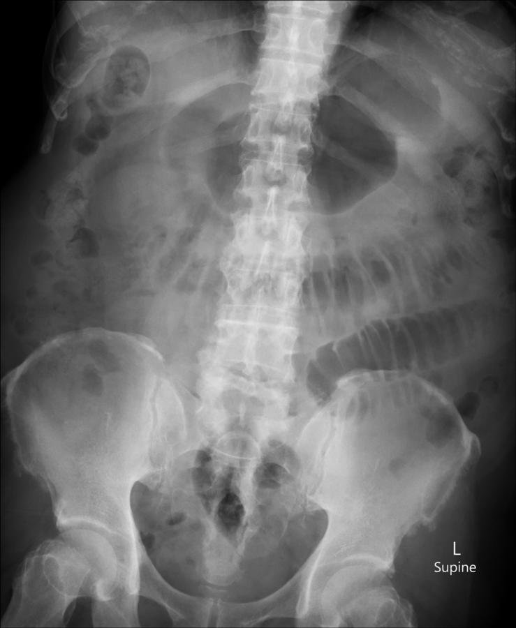
What is the positive finding in the plain abdominal radiograph?

A. Large bowel dilatation

B. Small bowel dilatation

C. Stomach dilatation
D. Negative study

Answer : B. Small bowel dilatation

Plain abdominal radiograph shows :

  • Several dilated loops of gas filled bowel with diameter more than 3 cm
  • Valvulae conniventes are visible - confirming this is small bowel

    -> Small bowel obstruction
Etiology
  • Causes can be divided into congenital and acquired
    • Acquired causes may be extrinsic causing compression, intrinsic or luminal
  • In the developed countries, adhesions are by far the most common cause(75%)
  • In the developing countries incarcerated hernias are much more common(80%)
Extrinsic bowel lesion :
Intrinsic bowel wall lesion :
  • Intussusception
  • Tumor (rare) such as lipoma
  • Strictures such as surgical, irradiation
Luminal occlusion:

Radiographic features : abdominal radiograph

  • Dilated loops of small bowel
  • Three instances of dilatation over 3 cm
  • However high grade mechanical obstruction may present:
    • Gasless abdomen : presented with fluid fill bowel
    • String-of-beads sign: presented in upright position, in case of more fluid-fill in small bowel

Radiographic features : Computer Tomography

  •  CT criteria for SBO are the presence of dilated small bowel loops (diameter >2.5 cm from outer wall to outer wall) proximally to collapsed loops distally

Abdomen Case 11

By Electronic Learning Abdominal Radiology

Abdomen Case 11

  • 1,395