Abdomen : Case 7

History :  A 60-year-old man. The patient had colonography and polypectomy with abdominal pain

The salient abnormality in this film?

A. Large bowel dilatation
B. Small bowel dilatation
C. Free air
D. All are correct

D. All answers correct:
-
Large and small bowel dilatation due to post colonography
- Free air due to
rupture of the colon

 

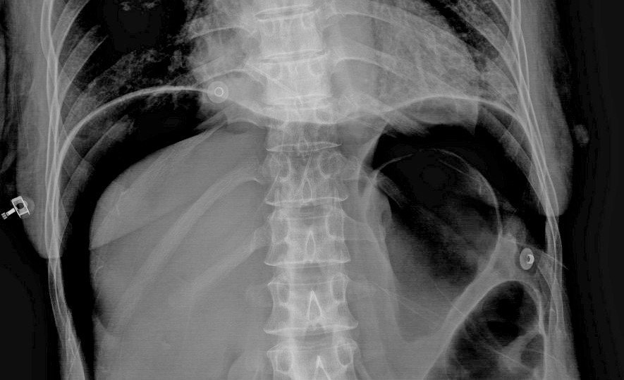
Additional abdominal radiograph : upright view
 

  • Crescentic free air under both dome of the diaphragm, representing subdiaphragmatic free gas

Pneumoperitoneum :

* Gas within the peritoneal cavity

* Most common cause of a pneumoperitoneum is from the disruption of the wall of a hollow viscus

* Cause :

Abdominal Radiograph :

* Free air can be detected on an abdominal radiograph
* Important signs on supine film include:

Rigler's/double wall sign :

  • Normally only the inner wall of the bowel is visible
  • If there is pneumoperitoneum both sides of the bowel wall may be visible

Rigler's/double wall sign :

Football sign :

  • A large volume of free gas has risen to the front of the peritoneal cavity resulting in a large round black area - 'football sign'

Lucent liver sign :

  • Represented by a reduction of hepatic radiodensity on supine radiograph when there is a collection of free intraperitoneal air located anterior to the liver

Normal liver shadow

Subdiaphragmatic free gas:

  • Air under the diaphragm and air in the lungs outline the diaphragmatic contour well
  • As little as 1 ml of free air can be detected but the patient may be needed to be kept in upright position for about 10 minutes for the air to rise

Plain abdominal radiograph :

 

Double wall sign

Lucent liver sign

Lateral umbilical ligament sign (inverted "V" sign)

Abdomen Case 7

By Electronic Learning Abdominal Radiology

Abdomen Case 7

  • 1,950